Skip to main content

Smad1 Antibody (OTI1C5)

Novus Biologicals, part of Bio-Techne | Catalog # NBP2-45869

Novus Biologicals, part of Bio-Techne
Catalog #
Availability
Size / Price
Qty
Loading...
NBP2-45869

Key Product Details

Species Reactivity

Human, Mouse, Rat

Applications

Immunohistochemistry, Immunohistochemistry-Paraffin, Western Blot

Label

Unconjugated

Antibody Source

Monoclonal Mouse IgG2B Clone # OTI1C5

Concentration

1 mg/ml

Product Specifications

Immunogen

Full length human recombinant protein of human SMAD1(NP_001003688) produced in HEK293T cell.

Reactivity Notes

Please note that this antibody is reactive to Mouse and derived from the same host, Mouse. Mouse-On-Mouse blocking reagent may be needed for IHC and ICC experiments to reduce high background signal. You can find these reagents under catalog numbers PK-2200-NB and MP-2400-NB. Please contact Technical Support if you have any questions.

Clonality

Monoclonal

Host

Mouse

Isotype

IgG2B

Theoretical MW

52.1 kDa.
Disclaimer note: The observed molecular weight of the protein may vary from the listed predicted molecular weight due to post translational modifications, post translation cleavages, relative charges, and other experimental factors.

Description

Novus Biologicals Mouse Smad1 Antibody (OTI1C5) (NBP2-45869) is a monoclonal antibody validated for use in IHC and WB. All Novus Biologicals antibodies are covered by our 100% guarantee.

Scientific Data Images for Smad1 Antibody (OTI1C5)

Western Blot: Smad1 Antibody (OTI1C5) [NBP2-45869]

Western Blot: Smad1 Antibody (OTI1C5) [NBP2-45869]

Western Blot: Smad1 Antibody (1C5) [NBP2-45869] - Analysis of HEK293T cells were transfected with the pCMV6-ENTRY control (Left lane) or pCMV6-ENTRY SMAD1.
Immunohistochemistry: Smad1 Antibody (OTI1C5) [NBP2-45869]

Immunohistochemistry: Smad1 Antibody (OTI1C5) [NBP2-45869]

Immunohistochemistry: Smad1 Antibody (1C5) [NBP2-45869] - Analysis of Human pancreas tissue. (Heat-induced epitope retrieval by 1 mM EDTA in 10mM Tris, pH8.5, 120C for 3min)
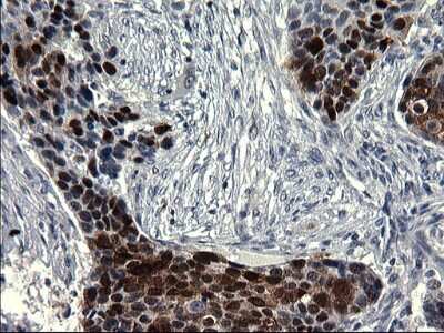
Immunohistochemistry: Smad1 Antibody (OTI1C5) [NBP2-45869]

Immunohistochemistry: Smad1 Antibody (OTI1C5) [NBP2-45869]

Immunohistochemistry: Smad1 Antibody (1C5) [NBP2-45869] - Analysis of Adenocarcinoma of Human colon tissue. (Heat-induced epitope retrieval by 1 mM EDTA in 10mM Tris, pH8.5, 120C for 3min)

Applications for Smad1 Antibody (OTI1C5)

Application
Recommended Usage

Immunohistochemistry

1:150

Western Blot

1:4000

Formulation, Preparation, and Storage

Purification

Immunogen affinity purified

Formulation

PBS (pH 7.3), 1.0% BSA and 50% Glycerol

Preservative

0.02% Sodium Azide

Concentration

1 mg/ml

Shipping

The product is shipped with polar packs. Upon receipt, store it immediately at the temperature recommended below.

Stability & Storage

Store at -20C. Avoid freeze-thaw cycles.

Background: Smad1

Smad1 is encoded by this gene belongs to the SMAD, a family of proteins similar to the gene products of the Drosophila gene 'mothers against decapentaplegic' (Mad) and the C. elegans gene Sma. SMAD proteins are signal transducers and transcriptional modulators that mediate multiple signaling pathways. This protein mediates the signals of the bone morphogenetic proteins (BMPs), which are involved in a range of biological activities including cell growth, apoptosis, morphogenesis, development and immune responses. In response to BMP ligands, this protein can be phosphorylated and activated by the BMP receptor kinase. The phosphorylated form of this protein forms a complex with SMAD4, which is important for its function in the transcription regulation. This protein is a target for SMAD-specific E3 ubiquitin ligases, such as SMURF1 and SMURF2, and undergoes ubiquitination and proteasome-mediated degradation. Alternatively spliced transcript variants encoding the same protein have been observed.

Long Name

Mothers Against DPP Homolog 1

Alternate Names

BSP1, BSP-1, hSMAD1, JV4-1SMAD, mothers against DPP homolog 1 (Drosophila), MAD homolog 1, MADH1JV41, MADR1MAD, mothers against decapentaplegic homolog 1 (Drosophila), Mad-related protein 1, mothers against decapentaplegic homolog 1, Mothers against DPP homolog 1, SMAD family member 1SMAD 1, SMAD, mothers against DPP homolog 1, Smad1, TGF-beta signaling protein 1, transforming growth factor-beta signaling protein 1

Gene Symbol

SMAD1

Additional Smad1 Products

Product Documents for Smad1 Antibody (OTI1C5)

Certificate of Analysis

To download a Certificate of Analysis, please enter a lot number in the search box below.

Product Specific Notices for Smad1 Antibody (OTI1C5)

This product is for research use only and is not approved for use in humans or in clinical diagnosis. Primary Antibodies are guaranteed for 1 year from date of receipt.

Loading...
Loading...
Loading...
Loading...