Skip to main content

SMAC/Diablo Antibody - BSA Free

Novus Biologicals, part of Bio-Techne | Catalog # NB100-56165

Novus Biologicals, part of Bio-Techne
Catalog #
Availability
Size / Price
Qty
Loading...
NB100-56165

Key Product Details

Species Reactivity

Validated:

Human, Mouse, Rat

Cited:

Human

Applications

Immunohistochemistry, Immunohistochemistry-Paraffin, Immunohistochemistry-Frozen, Western Blot, Simple Western, Immunoprecipitation

Label

Unconjugated

Antibody Source

Polyclonal Rabbit IgG

Format

BSA Free

Concentration

This product is unpurified. The exact concentration of antibody is not quantifiable.

Product Specifications

Immunogen

Full-length recombinant human SMAC was used as immunogen.

Reactivity Notes

Cross reacts with Gerbil

Clonality

Polyclonal

Host

Rabbit

Isotype

IgG

Description

Novus Biologicals Rabbit SMAC/Diablo Antibody - BSA Free (NB100-56165) is a polyclonal antibody validated for use in IHC, WB, Simple Western and IP. Anti-SMAC/Diablo Antibody: Cited in 1 publication. All Novus Biologicals antibodies are covered by our 100% guarantee.

Scientific Data Images for SMAC/Diablo Antibody - BSA Free

Western Blot: SMAC/Diablo Antibody [NB100-56165]

Western Blot: SMAC/Diablo Antibody [NB100-56165]

Western Blot: SMAC/Diablo Antibody - Unpurified [NB100-56165] - Analysis of extracts from 293 and HeLa cell lines using this antibody at dilution of 1:1000. Image from verified customer review,
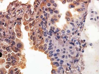
Immunohistochemistry-Paraffin: SMAC/Diablo Antibody [NB100-56165]

Immunohistochemistry-Paraffin: SMAC/Diablo Antibody [NB100-56165]

Immunohistochemistry-Paraffin: SMAC/Diablo Antibody - Unpurified [NB100-56165] - Analysis of paraffin-embedded human lung carcinoma using this antibody at dilution of 1:25. Image from verified customer review.
Western Blot: SMAC/Diablo Antibody [NB100-56165]

Western Blot: SMAC/Diablo Antibody [NB100-56165]

Western Blot: SMAC/Diablo Antibody - Unpurified [NB100-56165] - Analysis of MCF7 (A) and K562 (B) cell lysate using this antibody at 1:500.

Applications for SMAC/Diablo Antibody - BSA Free

Application
Recommended Usage

Immunohistochemistry

1:10-1:500

Immunohistochemistry-Paraffin

1:1000-1:5000

Immunoprecipitation

1:50-1:200

Simple Western

1:400

Western Blot

1:1000-1:2000
Application Notes
Immunohistochemistry-Paraffin IHC (frozen): Users should optimize according to model and immunodetection system used (secondary reagents).

In Simple Western only 10 - 15 uL of the recommended dilution is used per data point.
See Simple Western Antibody Database for Simple Western validation: Tested in MCF-7 lysate 0.5 mg/mL, separated by Size, antibody dilution of 1:400, apparent MW was 28 kDa. Separated by Size-Wes, Sally Sue/Peggy Sue.

Reviewed Applications

Read 2 reviews rated 5 using NB100-56165 in the following applications:

Formulation, Preparation, and Storage

Purification

Unpurified

Formulation

Whole antisera

Format

BSA Free

Preservative

0.05% Sodium Azide

Concentration

This product is unpurified. The exact concentration of antibody is not quantifiable.

Shipping

The product is shipped with polar packs. Upon receipt, store it immediately at the temperature recommended below.

Stability & Storage

Store at 4C short term. Aliquot and store at -20C long term. Avoid freeze-thaw cycles.

Background: SMAC/Diablo

Smac/DIABLO (second mitochondrial-derived activator of caspase/direct IAP binding protein with low pI) is encoded by the nucleus and resides as a precursor within the intermembranous space of the mitochondria (reviewed in Ren et al, 2006; Shiozaki and Shi, 2004). During apoptosis, Smac/DIABLO is proteolytically cleaved and released from the mitochondria into the cytosol where it promotes cell death by interacting with IAPs and inhibiting their anti-apoptotic function. In turn, certain IAPs may degrade Smac/DIABLO and block its cell death function. Smac/DIABLO is expressed in a wide range of normal tissues and some tumor cells lines, and its over-expression in tumor cell lines can trigger both extrinsic and intrinsic apoptosis pathways. However, the expression and role of Smac/DIABLO in primary human tumors remains to be fully elucidated. Several alternatively spliced transcript variants that encode distinct SMAC isoforms have been described, including isoform 1 (approx. 27 kDa), isoform 2 (approx. 22 kDa) and isoform 3 (approx. 21 kDa).

Long Name

Second Mitochondria-derived Activator of Caspase

Alternate Names

Diablo

Entrez Gene IDs

66593 (Mouse); 288753 (Rat)

Gene Symbol

DIABLO

Additional SMAC/Diablo Products

Product Documents for SMAC/Diablo Antibody - BSA Free

Certificate of Analysis

To download a Certificate of Analysis, please enter a lot number in the search box below.

Product Specific Notices for SMAC/Diablo Antibody - BSA Free

This product is for research use only and is not approved for use in humans or in clinical diagnosis. Primary Antibodies are guaranteed for 1 year from date of receipt.

Loading...
Loading...
Loading...
Loading...