Skip to main content

Slug Antibody (OTI2B11)

Novus Biologicals, part of Bio-Techne | Catalog # NBP2-45980

Novus Biologicals, part of Bio-Techne
Catalog #
Availability
Size / Price
Qty
Loading...
NBP2-45980

Key Product Details

Species Reactivity

Human, Mouse, Rat

Applications

Immunohistochemistry, Immunohistochemistry-Paraffin, Western Blot, Flow Cytometry, Immunocytochemistry/ Immunofluorescence

Label

Unconjugated

Antibody Source

Monoclonal Mouse IgG1 Clone # OTI2B11

Concentration

1 mg/ml

Product Specifications

Immunogen

Full length human recombinant protein of human SNAI2 (NP_003059) produced in E.coli.

Reactivity Notes

Please note that this antibody is reactive to Mouse and derived from the same host, Mouse. Mouse-On-Mouse blocking reagent may be needed for IHC and ICC experiments to reduce high background signal. You can find these reagents under catalog numbers PK-2200-NB and MP-2400-NB. Please contact Technical Support if you have any questions.

Clonality

Monoclonal

Host

Mouse

Isotype

IgG1

Theoretical MW

29.8 kDa.
Disclaimer note: The observed molecular weight of the protein may vary from the listed predicted molecular weight due to post translational modifications, post translation cleavages, relative charges, and other experimental factors.

Description

Novus Biologicals Mouse Slug Antibody (OTI2B11) (NBP2-45980) is a monoclonal antibody validated for use in IHC, WB, Flow and ICC/IF. All Novus Biologicals antibodies are covered by our 100% guarantee.

Scientific Data Images for Slug Antibody (OTI2B11)

Western Blot: Slug Antibody (OTI2B11) [NBP2-45980]

Western Blot: Slug Antibody (OTI2B11) [NBP2-45980]

Western Blot: Slug Antibody (OTI2B11) [NBP2-45980] - Analysis of HEK293T cells were transfected with the pCMV6-ENTRY control (Left lane) or pCMV6-ENTRY Slug.
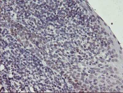
Immunohistochemistry: Slug Antibody (OTI2B11) [NBP2-45980]

Immunohistochemistry: Slug Antibody (OTI2B11) [NBP2-45980]

Immunohistochemistry: Slug Antibody (OTI2B11) [NBP2-45980] - Analysis of Human pancreas tissue.
Flow Cytometry: Slug Antibody (OTI2B11) [NBP2-45980]

Flow Cytometry: Slug Antibody (OTI2B11) [NBP2-45980]

Flow Cytometry: Slug Antibody (OTI2B11) [NBP2-45980] - Analysis of HEK293T cells transfected with either overexpress plasmid(Red) or empty vector control plasmid(Blue) were immunostained by SNAI2 antibody.

Applications for Slug Antibody (OTI2B11)

Application
Recommended Usage

Flow Cytometry

1:100

Immunocytochemistry/ Immunofluorescence

1:100

Immunohistochemistry

1:150

Western Blot

1:2000

Formulation, Preparation, and Storage

Purification

Immunogen affinity purified

Formulation

PBS (pH 7.3), 1.0% BSA and 50% Glycerol

Preservative

0.02% Sodium Azide

Concentration

1 mg/ml

Shipping

The product is shipped with polar packs. Upon receipt, store it immediately at the temperature recommended below.

Stability & Storage

Store at -20C. Avoid freeze-thaw cycles.

Background: Slug

SLUG encodes a member of the Snail family of C2H2-type zinc finger transcription factors. The encoded protein acts as a transcriptional repressor that binds to E-box motifs and is also likely to repress E-cadherin transcription in breast carcinoma. This protein is involved in epithelial-mesenchymal transitions and has antiapoptotic activity. Mutations in this gene may be associated with sporatic cases of neural tube defects.

Alternate Names

SLUGH1, SNAI2, SNAIL2, WS2D

Gene Symbol

SNAI2

Additional Slug Products

Product Documents for Slug Antibody (OTI2B11)

Certificate of Analysis

To download a Certificate of Analysis, please enter a lot number in the search box below.

Product Specific Notices for Slug Antibody (OTI2B11)

This product is for research use only and is not approved for use in humans or in clinical diagnosis. Primary Antibodies are guaranteed for 1 year from date of receipt.

Loading...
Loading...
Loading...
Loading...
Loading...