Skip to main content

SLPI Antibody - BSA Free

Novus Biologicals, part of Bio-Techne | Catalog # NBP1-76803

Novus Biologicals, part of Bio-Techne

Key Product Details

Species Reactivity

Validated:

Human, Mouse

Cited:

Human, Mouse

Applications

Validated:

Immunohistochemistry, Immunohistochemistry-Paraffin, Western Blot, ELISA, Immunocytochemistry/ Immunofluorescence

Cited:

Immunohistochemistry-Paraffin, Western Blot, Immunocytochemistry/ Immunofluorescence, IF/ICC

Label

Unconjugated

Antibody Source

Polyclonal Rabbit IgG

Format

BSA Free

Concentration

1 mg/ml

Product Specifications

Immunogen

Antibody was raised against a 17 amino acid synthetic peptide from near the center of human SLPI. The immunogen is located within amino acids 60 - 110 of SLPI. Amino Acid Squence: CLDPVDTPNPTRRKPGK

Clonality

Polyclonal

Host

Rabbit

Isotype

IgG

Theoretical MW

19 kDa.
Disclaimer note: The observed molecular weight of the protein may vary from the listed predicted molecular weight due to post translational modifications, post translation cleavages, relative charges, and other experimental factors.

Description

Novus Biologicals Rabbit SLPI Antibody - BSA Free (NBP1-76803) is a polyclonal antibody validated for use in IHC, WB, ELISA and ICC/IF. Anti-SLPI Antibody: Cited in 5 publications. All Novus Biologicals antibodies are covered by our 100% guarantee.

Scientific Data Images for SLPI Antibody - BSA Free

Western Blot: SLPI AntibodyBSA Free [NBP1-76803]

Western Blot: SLPI AntibodyBSA Free [NBP1-76803]

Western Blot: SLPI Antibody [NBP1-76803] - Daudi cell lysate with SLPI antibody at (A) 1 and (B) 2 ug/mL.
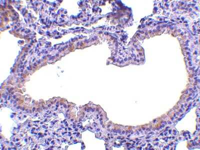
Immunohistochemistry-Paraffin: SLPI Antibody - BSA Free [NBP1-76803]

Immunohistochemistry-Paraffin: SLPI Antibody - BSA Free [NBP1-76803]

Immunohistochemistry-Paraffin: SLPI Antibody [NBP1-76803] - Mouse lung tissue with SLPI antibody at 10 ug/ml.
SLPI Antibody - BSA Free

Immunocytochemistry/ Immunofluorescence: SLPI Antibody - BSA Free [NBP1-76803] -

SLPI is expressed in the bladder epithelium. (A and B) Immunofluorescence staining of SLPI protein expression (green) and DNA using Hoechst stain (blue) in mock-infected (A) and infected (B) bladders from Slpi+/+ mice. Left panels (5× magnification, 200 um scale bars) are merged images of SLPI and DNA shown as smaller panels on the right. (C–E) Mean fluorescence intensity (MFI) of mock and infected bladder epithelium for DNA (C) and SLPI (D) with MFI ratio of SLPI/DNA (E) (Student’s t test). (F) Comparison of supernatant SLPI levels in control (PBS) or infected (UTI89) 5637 bladder epithelial cells represented as percent of starting SLPI in each well. (G) Fold change in Slpi transcription as measured by qRT-PCR in 5637 cells at 2 hpi. For panels F and G, shapes denote separate biological replicate experiments, each point represents the average of 4 or more individual wells (paired Student’s t test). Image collected and cropped by CiteAb from the following open publication (https://pubmed.ncbi.nlm.nih.gov/38270443), licensed under a CC-BY license. Not internally tested by Novus Biologicals.

Applications for SLPI Antibody - BSA Free

Application
Recommended Usage

ELISA

1:100-1:2000

Immunohistochemistry

10 ug/ml

Immunohistochemistry-Paraffin

10 ug/ml

Western Blot

1-2 ug/ml
Application Notes
Use in ICC/IF reported in scientific literature (PMID: 28597116).

Formulation, Preparation, and Storage

Purification

Peptide affinity purified

Formulation

PBS

Format

BSA Free

Preservative

0.02% Sodium Azide

Concentration

1 mg/ml

Shipping

The product is shipped with polar packs. Upon receipt, store it immediately at the temperature recommended below.

Stability & Storage

Store at 4C short term. Aliquot and store at -20C long term. Avoid freeze-thaw cycles.

Background: SLPI

Secretory leukocyte protease inhibitor (SLPI) is produced at mucosal surfaces, primarily the upper respiratory tract and is thought to play an important role in the antiprotease defense mechanism of the lung. SLPI forms inhibitory complexes with numerous proteolytic enzymes such as neutrophil elastase, and has been shown to possess anti-inflammatory, anti-viral, and antibacterial activities. Its expression in oral epithelial cells is stimulated by HIV-1 gp120, suggesting that SLPI is a component of the oral mucosal response to HIV-1. In peripheral blood monocytes, SLPI can inhibit NF-kappaB activation by inhibiting IkappaB degradation in the cytoplasm and competing for NF-kappaB binding sites in the nucleus. This attenuation of the inflammatory response may also act to suppress liver metastases and other cancer cell invasions, but promote blood-borne metastasis via an invasion-independent pathway.

Long Name

Secretory Leukocyte Protease Inhibitor

Alternate Names

ALK1, ALPProtease inhibitor WAP4, antileukoproteinase, BLPISeminal proteinase inhibitor, HUSI, HUSI-I, Mucus proteinase inhibitor, secretory leukocyte peptidase inhibitor, Secretory leukocyte protease inhibitor, secretory leukocyte protease inhibitor (antileukoproteinase), WAP four-disulfide core domain protein 4, WAP4HUSI-1, WFDC4MPI

Gene Symbol

SLPI

Additional SLPI Products

Product Documents for SLPI Antibody - BSA Free

Certificate of Analysis

To download a Certificate of Analysis, please enter a lot number in the search box below.

Product Specific Notices for SLPI Antibody - BSA Free

This product is for research use only and is not approved for use in humans or in clinical diagnosis. Primary Antibodies are guaranteed for 1 year from date of receipt.

Loading...
Loading...
Loading...
Loading...
Loading...