Skip to main content

SLC6A3/DAT1 Antibody (mAb16) - BSA Free

Novus Biologicals, part of Bio-Techne | Catalog # NBP2-22164

Novus Biologicals, part of Bio-Techne
Catalog #
Availability
Size / Price
Qty
Loading...
NBP2-22164SS
NBP2-22164

Key Product Details

Species Reactivity

Validated:

Mouse, Rat, Human (Negative)

Cited:

Mouse, Rat

Applications

Validated:

Immunohistochemistry, Immunohistochemistry-Paraffin, Western Blot, ELISA, Immunocytochemistry/ Immunofluorescence, Immunoprecipitation

Cited:

Immunohistochemistry-Paraffin, Western Blot, Immunoprecipitation

Label

Unconjugated

Antibody Source

Monoclonal Mouse IgG1 Clone # mAb16

Format

BSA Free

Concentration

1.0 mg/ml

Product Specifications

Immunogen

Synthetic peptide corresponding to the N-terminus of rat DAT1. [UniProt# P23977]

Epitope

N-terminus

Reactivity Notes

Little to no human reactivity has been observed.

Localization

Membrane; Multi-pass membrane protein.

Clonality

Monoclonal

Host

Mouse

Isotype

IgG1

Description

Novus Biologicals Mouse SLC6A3/DAT1 Antibody (mAb16) - BSA Free (NBP2-22164) is a monoclonal antibody validated for use in IHC, WB, ELISA, ICC/IF and IP. Anti-SLC6A3/DAT1 Antibody: Cited in 13 publications. All Novus Biologicals antibodies are covered by our 100% guarantee.

Scientific Data Images for SLC6A3/DAT1 Antibody (mAb16) - BSA Free

Western Blot: SLC6A3/DAT1 Antibody (mAb16) [NBP2-22164]

Western Blot: SLC6A3/DAT1 Antibody (mAb16) [NBP2-22164]

Western Blot: SLC6A3/DAT1 Antibody (mAb16) [NBP2-22164] - Western blot analysis of DAT protein. Band shown at approx. 75 kDa. Image submitted by verified customer review.
Immunocytochemistry/ Immunofluorescence: SLC6A3/DAT1 Antibody (mAb16) [NBP2-22164]

Immunocytochemistry/ Immunofluorescence: SLC6A3/DAT1 Antibody (mAb16) [NBP2-22164]

Immunocytochemistry/Immunofluorescence: DAT1 Antibody (mAb16) [NBP2-22164] - The DAT1 antibody was tested in PC12 cells at a 1:250 dilution against DyLight 488 (Green). Actin and nuclei were counterstained with Phalloidin-AlexaFluor 568 (Red) and DAPI (Blue), respectively.
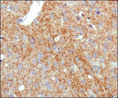
Immunohistochemistry-Paraffin: SLC6A3/DAT1 Antibody (mAb16) [NBP2-22164]

Immunohistochemistry-Paraffin: SLC6A3/DAT1 Antibody (mAb16) [NBP2-22164]

Immunohistochemistry-Paraffin: DAT1 Antibody (mAb16) [NBP2-22164] - IHC analysis of DAT1 in mouse brain using DAB with hematoxylin counterstain.

Applications for SLC6A3/DAT1 Antibody (mAb16) - BSA Free

Application
Recommended Usage

Immunocytochemistry/ Immunofluorescence

1:250

Immunohistochemistry

1:100

Immunohistochemistry-Paraffin

1:100

Immunoprecipitation

reported in scientific literature (PMID 20643191)

Western Blot

1:1000
Application Notes
In WB a band can been seen at ~70-85 kDa.

Reviewed Applications

Read 3 reviews rated 4.7 using NBP2-22164 in the following applications:

Formulation, Preparation, and Storage

Purification

Protein G purified

Formulation

Tris-Glycine and 0.15M NaCl

Format

BSA Free

Preservative

0.05% Sodium Azide

Concentration

1.0 mg/ml

Shipping

The product is shipped with polar packs. Upon receipt, store it immediately at the temperature recommended below.

Stability & Storage

Store at 4C short term. Aliquot and store at -20C long term. Avoid freeze-thaw cycles.

Background: SLC6A3/DAT1

DAT1, also known as SLC6A3 and Sodium-dependent dopamine transporter, is a sodium and chloride-dependent dopamine transporter belonging to the solute carrier family 6. Dopamine transporters are distributed widely across the brain in regions with high dopaminergic activity, such as the striatum and substantia nigra. These transporters effectively provide fast acting clearance of dopamine, adrenalin and noradrenalin from the synaptic cleft, thus terminating the neurotransmitter signal. DATs have been found to interact with PRKCABP, TGFB1I1, SLC18A2 and the N-terminus of SYNGR3. DATs are also the target proteins for psychomotor stimulants such as amphetamines and cocaine. Research has implicated DATs as useful markers in detecting depression, schizophrenia, Parkinson's disease and drug abuse (Kish et al., 2001; Zhu et al., 2000; Zhu et al., 1999).

Long Name

Dopamine Transporter

Alternate Names

DAT1, SLC6A3, VNTR

Entrez Gene IDs

13162 (Mouse); 24898 (Rat)

Gene Symbol

SLC6A3

Additional SLC6A3/DAT1 Products

Product Documents for SLC6A3/DAT1 Antibody (mAb16) - BSA Free

Certificate of Analysis

To download a Certificate of Analysis, please enter a lot number in the search box below.

Product Specific Notices for SLC6A3/DAT1 Antibody (mAb16) - BSA Free

This product is for research use only and is not approved for use in humans or in clinical diagnosis. Primary Antibodies are guaranteed for 1 year from date of receipt.

Loading...
Loading...
Loading...
Loading...
Loading...