Skip to main content

SLC6A19 Antibody - BSA Free

Novus Biologicals, part of Bio-Techne | Catalog # NBP2-48784

Novus Biologicals, part of Bio-Techne
Catalog #
Availability
Size / Price
Qty
Loading...
NBP2-48784
NBP2-48784-25ul

Key Product Details

Validated by

Orthogonal Validation

Species Reactivity

Human

Applications

Immunocytochemistry/ Immunofluorescence, Immunohistochemistry, Immunohistochemistry-Paraffin

Label

Unconjugated

Antibody Source

Polyclonal Rabbit IgG

Format

BSA Free

Concentration

Concentrations vary lot to lot. See vial label for concentration. If unlisted please contact technical services.

Product Specifications

Immunogen

This antibody was developed against a recombinant protein corresponding to amino acids: MVRLVLPNPGLDARIPSLAELETIEQEEASSRPKWDNK

Reactivity Notes

Mouse (84%), Rat (87%)

Clonality

Polyclonal

Host

Rabbit

Isotype

IgG

Description

Novus Biologicals Rabbit SLC6A19 Antibody - BSA Free (NBP2-48784) is a polyclonal antibody validated for use in IHC and ICC/IF. All Novus Biologicals antibodies are covered by our 100% guarantee.

Scientific Data Images for SLC6A19 Antibody - BSA Free

Immunohistochemistry-Paraffin: SLC6A19 Antibody [NBP2-48784]

Immunohistochemistry-Paraffin: SLC6A19 Antibody [NBP2-48784]

Immunohistochemistry-Paraffin: SLC6A19 Antibody [NBP2-48784] - Analysis in human small intestine and pancreas tissues using NBP2-48784 antibody. Corresponding SLC6A19 RNA-seq data are presented for the same tissues.
Immunocytochemistry/ Immunofluorescence: SLC6A19 Antibody [NBP2-48784]

Immunocytochemistry/ Immunofluorescence: SLC6A19 Antibody [NBP2-48784]

Immunocytochemistry/Immunofluorescence: SLC6A19 Antibody [NBP2-48784] - Staining of human cell line HEL shows localization to nucleoli. Antibody staining is shown in green.
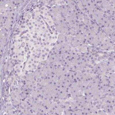
Immunohistochemistry-Paraffin: SLC6A19 Antibody [NBP2-48784]

Immunohistochemistry-Paraffin: SLC6A19 Antibody [NBP2-48784]

Immunohistochemistry-Paraffin: SLC6A19 Antibody [NBP2-48784] - Staining of human pancreas shows no membranous positivity in exocrine glanular cells as expected.

Applications for SLC6A19 Antibody - BSA Free

Application
Recommended Usage

Immunocytochemistry/ Immunofluorescence

0.25-2 ug/ml

Immunohistochemistry

1:2500 - 1:5000

Immunohistochemistry-Paraffin

1:2500 - 1:5000
Application Notes
For IHC-Paraffin, HIER pH 6 retrieval is recommended. ICC/IF, Fixation/Permeabilization: PFA/Triton X-100.

Formulation, Preparation, and Storage

Purification

Immunogen affinity purified

Formulation

PBS (pH 7.2) and 40% Glycerol

Format

BSA Free

Preservative

0.02% Sodium Azide

Concentration

Concentrations vary lot to lot. See vial label for concentration. If unlisted please contact technical services.

Shipping

The product is shipped with polar packs. Upon receipt, store it immediately at the temperature recommended below.

Stability & Storage

Store at 4C short term. Aliquot and store at -20C long term. Avoid freeze-thaw cycles.

Background: SLC6A19

SLC6A19 encodes a system B(0) transmembrane protein that actively transports most neutral amino acids across the apical membrane of epithelial cells. Mutations in this gene result in Hartnup disorder. [provided by RefSeq]

Alternate Names

B0AT1, FLJ20680, FLJ34635, HND, sodium-dependent amino acid transporter system B0, sodium-dependent neutral amino acid transporter B(0)AT1, solute carrier family 6 (neurotransmitter transporter), member 19, solute carrier family 6 (neutral amino acid transporter), member 19, Solute carrier family 6 member 19, System B(0) neutral amino acid transporter AT1, system B0 neutral amino acid transporter

Gene Symbol

SLC6A19

Additional SLC6A19 Products

Product Documents for SLC6A19 Antibody - BSA Free

Certificate of Analysis

To download a Certificate of Analysis, please enter a lot number in the search box below.

Product Specific Notices for SLC6A19 Antibody - BSA Free

This product is for research use only and is not approved for use in humans or in clinical diagnosis. Primary Antibodies are guaranteed for 1 year from date of receipt.

Loading...
Loading...
Loading...
Loading...