Skip to main content

SLC38A10 Antibody - BSA Free

Novus Biologicals, part of Bio-Techne | Catalog # NBP1-81194

Novus Biologicals, part of Bio-Techne
Catalog #
Availability
Size / Price
Qty
Loading...
NBP1-81194-25ul
NBP1-81194

Key Product Details

Validated by

Independent Antibodies

Species Reactivity

Human

Applications

Immunohistochemistry, Immunohistochemistry-Paraffin

Label

Unconjugated

Antibody Source

Polyclonal Rabbit IgG

Format

BSA Free

Concentration

Concentrations vary lot to lot. See vial label for concentration. If unlisted please contact technical services.

Product Specifications

Immunogen

This antibody was developed against Recombinant Protein corresponding to amino acids: MKPKQVSRDLGLAADLPGGAEGAAAQPQAVLRQPELRVISDGEQGGQQGHRLDHGGHLEMRKA

Clonality

Polyclonal

Host

Rabbit

Isotype

IgG

Scientific Data Images for SLC38A10 Antibody - BSA Free

Immunohistochemistry-Paraffin: SLC38A10 Antibody [NBP1-81194]

Immunohistochemistry-Paraffin: SLC38A10 Antibody [NBP1-81194]

Immunohistochemistry-Paraffin: SLC38A10 Antibody [NBP1-81194] - Staining of human pancreas shows moderate to strong cytoplasmic positivity in exocrine glandular cells.
Immunohistochemistry-Paraffin: SLC38A10 Antibody [NBP1-81194]

Immunohistochemistry-Paraffin: SLC38A10 Antibody [NBP1-81194]

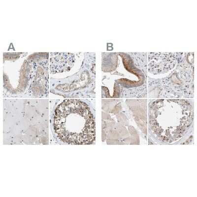
Immunohistochemistry-Paraffin: SLC38A10 Antibody [NBP1-81194] - Staining of human gallbladder, kidney, skeletal muscle and testis using Anti-SLC38A10 antibody NBP1-81194 (A) shows similar protein distribution across tissues to independent antibody NBP1-81193 (B).
Immunohistochemistry-Paraffin: SLC38A10 Antibody [NBP1-81194]

Immunohistochemistry-Paraffin: SLC38A10 Antibody [NBP1-81194]

Immunohistochemistry-Paraffin: SLC38A10 Antibody [NBP1-81194] - Staining of human placenta shows moderate to strong cytoplasmic positivity in trophoblastic cells.

Applications for SLC38A10 Antibody - BSA Free

Application
Recommended Usage

Immunohistochemistry

1:50 - 1:200

Immunohistochemistry-Paraffin

1:50 - 1:200
Application Notes
For IHC-Paraffin, HIER pH 6 retrieval is recommended.

Formulation, Preparation, and Storage

Purification

Affinity purified

Formulation

PBS (pH 7.2) and 40% Glycerol

Format

BSA Free

Preservative

0.02% Sodium Azide

Concentration

Concentrations vary lot to lot. See vial label for concentration. If unlisted please contact technical services.

Shipping

The product is shipped with polar packs. Upon receipt, store it immediately at the temperature recommended below.

Stability & Storage

Store at 4C short term. Aliquot and store at -20C long term. Avoid freeze-thaw cycles.

Background: SLC38A10

Putative sodium-dependent amino acid/proton antiporter

Alternate Names

FLJ35718, FLJ46399, MGC15523, PP1744, putative sodium-coupled neutral amino acid transporter 10, solute carrier family 38, member 10

Entrez Gene IDs

124565 (Human)

Gene Symbol

SLC38A10

Additional SLC38A10 Products

Product Documents for SLC38A10 Antibody - BSA Free

Certificate of Analysis

To download a Certificate of Analysis, please enter a lot number in the search box below.

Product Specific Notices for SLC38A10 Antibody - BSA Free

This product is for research use only and is not approved for use in humans or in clinical diagnosis. Primary Antibodies are guaranteed for 1 year from date of receipt.

Loading...
Loading...
Loading...
Loading...