SLC38A10 Antibody - BSA Free
Novus Biologicals, part of Bio-Techne | Catalog # NBP1-81193
Key Product Details
Validated by
Orthogonal Validation, Independent Antibodies
Species Reactivity
Human
Applications
Immunohistochemistry, Immunohistochemistry-Paraffin, Immunocytochemistry/ Immunofluorescence, Simple Western
Label
Unconjugated
Antibody Source
Polyclonal Rabbit IgG
Format
BSA Free
Concentration
Concentrations vary lot to lot. See vial label for concentration. If unlisted please contact technical services.
Product Specifications
Immunogen
This antibody was developed against Recombinant Protein corresponding to amino acids: PEDLAGEAPGGRLGEAEGLMKVEAARLSAQDPVVAVAEDGREKPKLPKEREELEQAQIKGPVDVPGREDGKEAPEEAQLDRPGQGIAVPV
Clonality
Polyclonal
Host
Rabbit
Isotype
IgG
Scientific Data Images for SLC38A10 Antibody - BSA Free
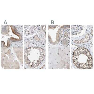
Immunohistochemistry-Paraffin: SLC38A10 Antibody [NBP1-81193]
Immunohistochemistry-Paraffin: SLC38A10 Antibody [NBP1-81193] - Staining of human gallbladder, kidney, skeletal muscle and testis using Anti-SLC38A10 antibody NBP1-81193 (A) shows similar protein distribution across tissues to independent antibody NBP1-81194 (B).Immunocytochemistry/ Immunofluorescence: SLC38A10 Antibody [NBP1-81193]
Immunocytochemistry/Immunofluorescence: SLC38A10 Antibody [NBP1-81193] - Staining of human cell line U-2 OS shows localization to the Golgi apparatus. Antibody staining is shown in green.Applications for SLC38A10 Antibody - BSA Free
Application
Recommended Usage
Immunocytochemistry/ Immunofluorescence
0.25-2 ug/ml
Immunohistochemistry
1:50 - 1:200
Immunohistochemistry-Paraffin
1:50 - 1:200
Simple Western
1:40
Application Notes
For IHC-Paraffin, HIER pH 6 retrieval is recommended. ICC/IF Fixation Permeabilization: Use PFA/Triton X-100.
In Simple Western only 10 - 15 uL of the recommended dilution is used per data point.
See Simple Western Antibody Database for Simple Western validation: Tested in RT-4 and U-2OS, separated by Size, antibody dilution of 1:40, apparent MW was 169 kDa. Separated by Size-Wes, Sally Sue/Peggy Sue.
In Simple Western only 10 - 15 uL of the recommended dilution is used per data point.
See Simple Western Antibody Database for Simple Western validation: Tested in RT-4 and U-2OS, separated by Size, antibody dilution of 1:40, apparent MW was 169 kDa. Separated by Size-Wes, Sally Sue/Peggy Sue.
Formulation, Preparation, and Storage
Purification
Affinity purified
Formulation
PBS (pH 7.2) and 40% Glycerol
Format
BSA Free
Preservative
0.02% Sodium Azide
Concentration
Concentrations vary lot to lot. See vial label for concentration. If unlisted please contact technical services.
Shipping
The product is shipped with polar packs. Upon receipt, store it immediately at the temperature recommended below.
Stability & Storage
Store at 4C short term. Aliquot and store at -20C long term. Avoid freeze-thaw cycles.
Background: SLC38A10
Alternate Names
FLJ35718, FLJ46399, MGC15523, PP1744, putative sodium-coupled neutral amino acid transporter 10, solute carrier family 38, member 10
Entrez Gene IDs
124565 (Human)
Gene Symbol
SLC38A10
Additional SLC38A10 Products
Product Documents for SLC38A10 Antibody - BSA Free
Product Specific Notices for SLC38A10 Antibody - BSA Free
This product is for research use only and is not approved for use in humans or in clinical diagnosis. Primary Antibodies are guaranteed for 1 year from date of receipt.
Loading...
Loading...
Loading...
Loading...