Skip to main content

SLC35F6 Antibody - BSA Free

Novus Biologicals, part of Bio-Techne | Catalog # NBP1-93972

Novus Biologicals, part of Bio-Techne
Catalog #
Availability
Size / Price
Qty
Loading...
NBP1-93972
NBP1-93972-25ul

Key Product Details

Species Reactivity

Human

Applications

Immunohistochemistry, Immunohistochemistry-Paraffin, Western Blot

Label

Unconjugated

Antibody Source

Polyclonal Rabbit IgG

Format

BSA Free

Concentration

Concentrations vary lot to lot. See vial label for concentration. If unlisted please contact technical services.

Product Specifications

Immunogen

This antibody was developed against Recombinant Protein corresponding to amino acids: GLHRPLLGRLSRGRPLAEESEQERLLGGTRTPINDAS

Clonality

Polyclonal

Host

Rabbit

Isotype

IgG

Description

Novus Biologicals Rabbit SLC35F6 Antibody - BSA Free (NBP1-93972) is a polyclonal antibody validated for use in IHC and WB. Anti-SLC35F6 Antibody: Cited in 1 publication. All Novus Biologicals antibodies are covered by our 100% guarantee.

Scientific Data Images for SLC35F6 Antibody - BSA Free

SLC35F6 Antibody - BSA Free Immunohistochemistry: SLC35F6 Antibody - BSA Free [NBP1-93972]

Immunohistochemistry: SLC35F6 Antibody - BSA Free [NBP1-93972]

Staining of human liver shows no positivity in hepatocytes as expected.
SLC35F6 Antibody - BSA Free Immunohistochemistry: SLC35F6 Antibody - BSA Free [NBP1-93972]

Immunohistochemistry: SLC35F6 Antibody - BSA Free [NBP1-93972]

Staining of human cerebral cortex shows strong granular cytoplasmic positivity in neurons.
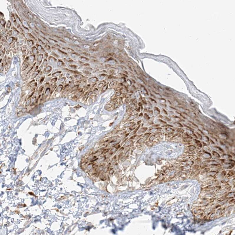
SLC35F6 Antibody - BSA Free Immunohistochemistry: SLC35F6 Antibody - BSA Free [NBP1-93972]

Immunohistochemistry: SLC35F6 Antibody - BSA Free [NBP1-93972]

Staining of human skin shows strong granular cytoplasmic positivity in squamous epithelial cells.

Applications for SLC35F6 Antibody - BSA Free

Application
Recommended Usage

Immunohistochemistry

1:200 - 1:500

Immunohistochemistry-Paraffin

1:200 - 1:500

Western Blot

0.04 - 0.4 ug/ml
Application Notes
For IHC-Paraffin, HIER pH 6 retrieval is recommended.

Formulation, Preparation, and Storage

Purification

Affinity purified

Formulation

PBS (pH 7.2) and 40% Glycerol

Format

BSA Free

Preservative

0.02% Sodium Azide

Concentration

Concentrations vary lot to lot. See vial label for concentration. If unlisted please contact technical services.

Shipping

The product is shipped with polar packs. Upon receipt, store it immediately at the temperature recommended below.

Stability & Storage

Store at 4C short term. Aliquot and store at -20C long term. Avoid freeze-thaw cycles.

Background: SLC35F6

Alternate Names

ANT2BP, chromosome 2 open reading frame 18

Gene Symbol

SLC35F6

Additional SLC35F6 Products

Product Documents for SLC35F6 Antibody - BSA Free

Certificate of Analysis

To download a Certificate of Analysis, please enter a lot number in the search box below.

Product Specific Notices for SLC35F6 Antibody - BSA Free

This product is for research use only and is not approved for use in humans or in clinical diagnosis. Primary Antibodies are guaranteed for 1 year from date of receipt.

Loading...
Loading...
Loading...
Loading...