Skip to main content

SLC35A5 Antibody - BSA Free

Novus Biologicals, part of Bio-Techne | Catalog # NBP1-83636

Novus Biologicals, part of Bio-Techne
Catalog #
Availability
Size / Price
Qty
Loading...
NBP1-83636
NBP1-83636-25ul

Key Product Details

Species Reactivity

Human

Applications

Immunohistochemistry, Immunohistochemistry-Paraffin, Western Blot

Label

Unconjugated

Antibody Source

Polyclonal Rabbit IgG

Format

BSA Free

Concentration

Concentrations vary lot to lot. See vial label for concentration. If unlisted please contact technical services.

Product Specifications

Immunogen

This antibody was developed against Recombinant Protein corresponding to amino acids: TLQHNLAGRGFHHDAFFSPSNSCLLFRSECPRKDNCTAKEWTFPEAKWNTTARV

Clonality

Polyclonal

Host

Rabbit

Isotype

IgG

Scientific Data Images for SLC35A5 Antibody - BSA Free

Western Blot: SLC35A5 Antibody [NBP1-83636]

Western Blot: SLC35A5 Antibody [NBP1-83636]

Western Blot: SLC35A5 Antibody [NBP1-83636] - Lane 1: Marker [kDa] 230, 130, 95, 72, 56, 36, 28, 17, 11. Lane 2: Human cell line RT-534
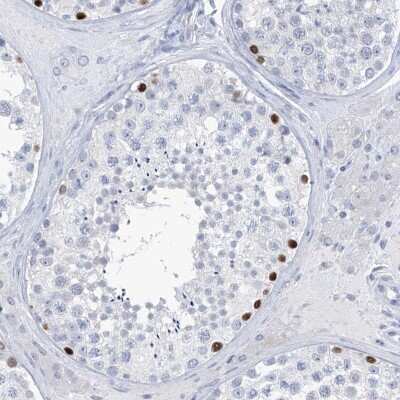
Immunohistochemistry-Paraffin: SLC35A5 Antibody [NBP1-83636]

Immunohistochemistry-Paraffin: SLC35A5 Antibody [NBP1-83636]

Immunohistochemistry-Paraffin: SLC35A5 Antibody [NBP1-83636] - Staining of human testis shows strong nuclear positivity in cells in seminiferous ducts.

Applications for SLC35A5 Antibody - BSA Free

Application
Recommended Usage

Immunohistochemistry

1:50 - 1:200

Immunohistochemistry-Paraffin

1:50 - 1:200

Western Blot

0.04-0.4 ug/ml
Application Notes
For IHC-Paraffin, HIER pH 6 retrieval is recommended.

Formulation, Preparation, and Storage

Purification

Affinity purified

Formulation

PBS (pH 7.2) and 40% Glycerol

Format

BSA Free

Preservative

0.02% Sodium Azide

Concentration

Concentrations vary lot to lot. See vial label for concentration. If unlisted please contact technical services.

Shipping

The product is shipped with polar packs. Upon receipt, store it immediately at the temperature recommended below.

Stability & Storage

Store at 4C short term. Aliquot and store at -20C long term. Avoid freeze-thaw cycles.

Background: SLC35A5

Alternate Names

DKFZp434E102, FLJ11130, FLJ20730, FLJ25973, probable UDP-sugar transporter protein SLC35A5, Solute carrier family 35 member A5, solute carrier family 35, member A5

Gene Symbol

SLC35A5

Additional SLC35A5 Products

Product Documents for SLC35A5 Antibody - BSA Free

Certificate of Analysis

To download a Certificate of Analysis, please enter a lot number in the search box below.

Product Specific Notices for SLC35A5 Antibody - BSA Free

This product is for research use only and is not approved for use in humans or in clinical diagnosis. Primary Antibodies are guaranteed for 1 year from date of receipt.

Loading...
Loading...
Loading...
Loading...