Skip to main content

SLC29A3 Antibody - BSA Free

Novus Biologicals, part of Bio-Techne | Catalog # NBP2-31589

Novus Biologicals, part of Bio-Techne
Catalog #
Availability
Size / Price
Qty
Loading...
NBP2-31589
NBP2-31589-25ul

Key Product Details

Species Reactivity

Human

Applications

Immunohistochemistry, Immunohistochemistry-Paraffin, Western Blot

Label

Unconjugated

Antibody Source

Polyclonal Rabbit IgG

Format

BSA Free

Concentration

Concentrations vary lot to lot. See vial label for concentration. If unlisted please contact technical services.

Product Specifications

Immunogen

This antibody was developed against a recombinant protein corresponding to amino acids: YARYYMRPVLAAHVFSGEEELPQDSLSAPSVASRFIDSHTPPLRPILKKT

Clonality

Polyclonal

Host

Rabbit

Isotype

IgG

Description

Novus Biologicals Rabbit SLC29A3 Antibody - BSA Free (NBP2-31589) is a polyclonal antibody validated for use in IHC and WB. All Novus Biologicals antibodies are covered by our 100% guarantee.

Scientific Data Images for SLC29A3 Antibody - BSA Free

SLC29A3 Antibody - BSA Free

Immunohistochemistry-Paraffin: SLC29A3 Antibody [NBP2-31589] -

Immunohistochemistry-Paraffin: SLC29A3 Antibody [NBP2-31589] -Staining of human urinary bladder shows strong membranous and cytoplasmic positivity in urothelial cells.
Western Blot: SLC29A3 Antibody [NBP2-31589]

Western Blot: SLC29A3 Antibody [NBP2-31589]

Western Blot: SLC29A3 Antibody [NBP2-31589] - Lane 1: Marker [kDa] 250, 130, 95, 72, 55, 36, 28, 17, 10. Lane 2: Human cell line RT-4. Lane 3: Human cell line U-251MG sp. Lane 4: Human plasma (IgG/HSA depleted)
SLC29A3 Antibody - BSA Free

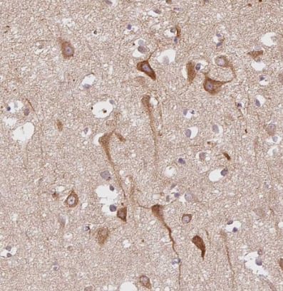
Immunohistochemistry-Paraffin: SLC29A3 Antibody [NBP2-31589] -

Immunohistochemistry-Paraffin: SLC29A3 Antibody [NBP2-31589] -Staining of human cerebral cortex shows moderate cytoplasmic positivity in neurons.

Applications for SLC29A3 Antibody - BSA Free

Application
Recommended Usage

Immunohistochemistry

1:20 - 1:50

Immunohistochemistry-Paraffin

1:20 - 1:50

Western Blot

0.04 - 0.4 ug/ml
Application Notes
For IHC-Paraffin, HIER pH 6 retrieval is recommended.

Formulation, Preparation, and Storage

Purification

Immunogen affinity purified

Formulation

PBS (pH 7.2) and 40% Glycerol

Format

BSA Free

Preservative

0.02% Sodium Azide

Concentration

Concentrations vary lot to lot. See vial label for concentration. If unlisted please contact technical services.

Shipping

The product is shipped with polar packs. Upon receipt, store it immediately at the temperature recommended below.

Stability & Storage

Store at 4C short term. Aliquot and store at -20C long term. Avoid freeze-thaw cycles.

Background: SLC29A3

Nucleoside transporters, such as SLC29A3, mediate uptake of precursors for nucleotide synthesis by salvage pathways. They are also required for uptake of hydrophilic anticancer and antiviral nucleoside drugs (Baldwin et al., 2005 (PubMed 15701636)).(supplied by OMIM)

Long Name

Equilibrative nucleoside transporter 3

Alternate Names

ENT3, hENT3, UNQ717/PRO1380

Gene Symbol

SLC29A3

UniProt

Additional SLC29A3 Products

Product Documents for SLC29A3 Antibody - BSA Free

Certificate of Analysis

To download a Certificate of Analysis, please enter a lot number in the search box below.

Product Specific Notices for SLC29A3 Antibody - BSA Free

This product is for research use only and is not approved for use in humans or in clinical diagnosis. Primary Antibodies are guaranteed for 1 year from date of receipt.

Loading...
Loading...
Loading...
Loading...