Skip to main content

SLC25A31 Antibody - BSA Free

Novus Biologicals, part of Bio-Techne | Catalog # NBP1-89074

Novus Biologicals, part of Bio-Techne
Catalog #
Availability
Size / Price
Qty
Loading...
NBP1-89074-25ul
NBP1-89074

Key Product Details

Species Reactivity

Validated:

Human

Predicted:

Mouse (93%), Rat (93%). Backed by our 100% Guarantee.

Applications

Immunohistochemistry, Immunohistochemistry-Paraffin, Immunocytochemistry/ Immunofluorescence

Label

Unconjugated

Antibody Source

Polyclonal Rabbit IgG

Format

BSA Free

Concentration

Concentrations vary lot to lot. See vial label for concentration. If unlisted please contact technical services.

Product Specifications

Immunogen

This antibody was developed against Recombinant Protein corresponding to amino acids: FARTRLGVDIGKGPEERQFKGLGDCIMKIAKSDGIAGLYQGFGVSVQGIIVYRA

Reactivity Notes

Reactivity reported in scientific literature (PMID: 23435261)

Clonality

Polyclonal

Host

Rabbit

Isotype

IgG

Description

Novus Biologicals Rabbit SLC25A31 Antibody - BSA Free (NBP1-89074) is a polyclonal antibody validated for use in IHC and ICC/IF. Anti-SLC25A31 Antibody: Cited in 1 publication. All Novus Biologicals antibodies are covered by our 100% guarantee.

Scientific Data Images for SLC25A31 Antibody - BSA Free

Immunocytochemistry/ Immunofluorescence: SLC25A31 Antibody [NBP1-89074]

Immunocytochemistry/ Immunofluorescence: SLC25A31 Antibody [NBP1-89074]

Immunocytochemistry/Immunofluorescence: SLC25A31 Antibody [NBP1-89074] - Staining of human cell line U-251 MG shows localization to mitochondria. Antibody staining is shown in green.
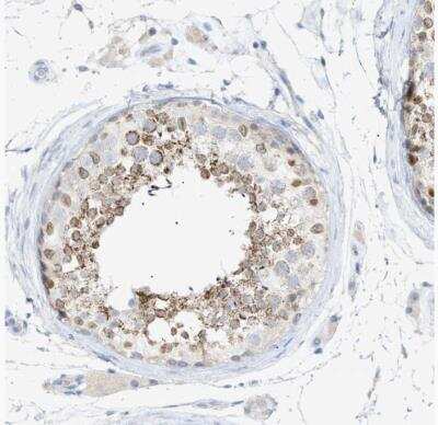
Immunohistochemistry-Paraffin: SLC25A31 Antibody [NBP1-89074]

Immunohistochemistry-Paraffin: SLC25A31 Antibody [NBP1-89074]

Immunohistochemistry-Paraffin: SLC25A31 Antibody [NBP1-89074] - Staining of human testis shows moderate cytoplasmic positivity in seminiferous ducts.

Applications for SLC25A31 Antibody - BSA Free

Application
Recommended Usage

Immunocytochemistry/ Immunofluorescence

0.25-2 ug/ml

Immunohistochemistry

1:200 - 1:500

Immunohistochemistry-Paraffin

1:200 - 1:500
Application Notes
For IHC-Paraffin, HIER pH 6 retrieval is recommended. Immunocytochemistry/Immunofluorescence Fixation Permeabilization: Use PFA/Triton X-100.

Formulation, Preparation, and Storage

Purification

Affinity purified

Formulation

PBS (pH 7.2) and 40% Glycerol

Format

BSA Free

Preservative

0.02% Sodium Azide

Concentration

Concentrations vary lot to lot. See vial label for concentration. If unlisted please contact technical services.

Shipping

The product is shipped with polar packs. Upon receipt, store it immediately at the temperature recommended below.

Stability & Storage

Store at 4C short term. Aliquot and store at -20C long term. Avoid freeze-thaw cycles.

Background: SLC25A31

Mitochondrial ADP/ATP carriers, such as SLC25A31, are nuclear-coded mitochondrial proteins that catalyze the exchangeof ATP generated in mitochondria by ATP synthase (see MIM 108729) against ADP produced in cytosol by mostenergy-consuming reactions (Dolce et al., 2005 (PubMed 15670820)).(supplied by OMIM)

Alternate Names

AAC4DKFZp434N1235, adenine nucleotide translocase 4, Adenine nucleotide translocator 4, ADP, ADP/ATP translocase 4, ANT 4, ANT4DKFZP434N1235, ATP carrier protein 4, SFEC, SFEC35kDa, solute carrier family 25 (mitochondrial carrier; adenine nucleotidetranslocator), member 31, Solute carrier family 25 member 31, Sperm flagellar energy carrier protein

Gene Symbol

SLC25A31

Additional SLC25A31 Products

Product Documents for SLC25A31 Antibody - BSA Free

Certificate of Analysis

To download a Certificate of Analysis, please enter a lot number in the search box below.

Product Specific Notices for SLC25A31 Antibody - BSA Free

This product is for research use only and is not approved for use in humans or in clinical diagnosis. Primary Antibodies are guaranteed for 1 year from date of receipt.

Loading...
Loading...
Loading...
Loading...