SLC25A12 Antibody (JE65-52)
Novus Biologicals, part of Bio-Techne | Catalog # NBP3-32952
Recombinant Monoclonal Antibody
Key Product Details
Species Reactivity
Human, Mouse, Rat
Applications
Immunohistochemistry, Immunohistochemistry-Paraffin, Western Blot
Label
Unconjugated
Antibody Source
Recombinant Monoclonal Rabbit IgG Clone # JE65-52 expressed in HEK293
Concentration
1 mg/ml
Product Specifications
Immunogen
Synthetic peptide within human SLC25A12 aa 601-650/678. (Uniprot: O75746)
Localization
Mitochondrion inner membrane.
Clonality
Monoclonal
Host
Rabbit
Isotype
IgG
Theoretical MW
75 kDa.
Disclaimer note: The observed molecular weight of the protein may vary from the listed predicted molecular weight due to post translational modifications, post translation cleavages, relative charges, and other experimental factors.
Disclaimer note: The observed molecular weight of the protein may vary from the listed predicted molecular weight due to post translational modifications, post translation cleavages, relative charges, and other experimental factors.
Description
Novus Biologicals Rabbit SLC25A12 Antibody (JE65-52) (NBP3-32952) is a recombinant monoclonal antibody validated for use in IHC and WB. All Novus Biologicals antibodies are covered by our 100% guarantee.
Scientific Data Images for SLC25A12 Antibody (JE65-52)
Western Blot: SLC25A12 Antibody (JE65-52) [NBP3-32952]
Western Blot: SLC25A12 Antibody (JE65-52) [NBP3-32952] - Western blot analysis of SLC25A12 on different lysates with Rabbit anti-SLC25A12 antibody (NBP3-32952) at 1/500 dilution.Lane 1: Hela cell lysate
Lane 2: Raji cell lysate
Lane 3: RAW264.7 cell lysate
Lane 4: Rat kidney tissue lysate (20 ug/Lane)
Lysates/proteins at 10 ug/Lane.
Predicted band size: 75 kDa
Observed band size: 70 kDa
Exposure time: 2 minutes;
8% SDS-PAGE gel.
Proteins were transferred to a PVDF membrane and blocked with 5% NFDM/TBST for 1 hour at room temperature. The primary antibody (NBP3-32952) at 1/500 dilution was used in 5% NFDM/TBST at room temperature for 2 hours. Goat Anti-Rabbit IgG - HRP Secondary Antibody at 1:300,000 dilution was used for 1 hour at room temperature.
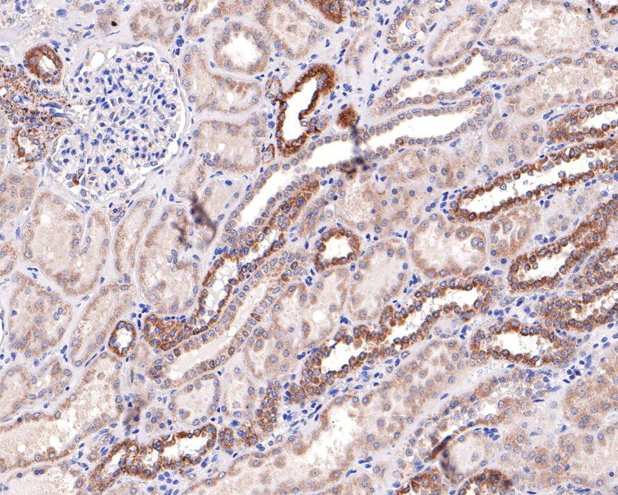
Immunohistochemistry: SLC25A12 Antibody (JE65-52) [NBP3-32952]
Immunohistochemistry: SLC25A12 Antibody (JE65-52) [NBP3-32952] - Immunohistochemical analysis of paraffin-embedded human kidney tissue with Rabbit anti-SLC25A12 antibody (NBP3-32952) at 1/100 dilution.The section was pre-treated using heat mediated antigen retrieval with Tris-EDTA buffer (pH 9.0) for 20 minutes. The tissues were blocked in 1% BSA for 20 minutes at room temperature, washed with ddH2O and PBS, and then probed with the primary antibody (NBP3-32952) at 1/100 dilution for 1 hour at room temperature. The detection was performed using an HRP conjugated compact polymer system. DAB was used as the chromogen. Tissues were counterstained with hematoxylin and mounted with DPX.
Applications for SLC25A12 Antibody (JE65-52)
Application
Recommended Usage
Immunohistochemistry-Paraffin
1:100
Western Blot
1:500
Formulation, Preparation, and Storage
Purification
Protein A purified
Formulation
1*TBS (pH7.4), 0.05% BSA and 40% Glycerol
Preservative
0.05% Sodium Azide
Concentration
1 mg/ml
Shipping
The product is shipped with polar packs. Upon receipt, store it immediately at the temperature recommended below.
Stability & Storage
Store at 4C short term. Aliquot and store at -20C long term. Avoid freeze-thaw cycles.
Background: SLC25A12
Alternate Names
AGC1, araceli hiperlarga, ARALAR, ARALAR1, calcium binding mitochondrial carrier superfamily member Aralar1, calcium-binding mitochondrial carrier protein Aralar1, Mitochondrial aspartate glutamate carrier 1, solute carrier family 25 (mitochondrial carrier, Aralar), member 12, Solute carrier family 25 member 12
Gene Symbol
SLC25A12
Additional SLC25A12 Products
Product Documents for SLC25A12 Antibody (JE65-52)
Product Specific Notices for SLC25A12 Antibody (JE65-52)
This product is for research use only and is not approved for use in humans or in clinical diagnosis. Primary Antibodies are guaranteed for 1 year from date of receipt.
Loading...
Loading...
Loading...
Loading...