Skip to main content

SLC16A4 Antibody - BSA Free

Novus Biologicals, part of Bio-Techne | Catalog # NBP2-13315

Novus Biologicals, part of Bio-Techne
Catalog #
Availability
Size / Price
Qty
Loading...
NBP2-13315-25ul
NBP2-13315

Key Product Details

Species Reactivity

Validated:

Human

Cited:

Human

Applications

Validated:

Immunohistochemistry, Immunohistochemistry-Paraffin, Immunocytochemistry/ Immunofluorescence

Cited:

IF/IHC

Label

Unconjugated

Antibody Source

Polyclonal Rabbit IgG

Format

BSA Free

Concentration

Concentrations vary lot to lot. See vial label for concentration. If unlisted please contact technical services.

Product Specifications

Immunogen

This antibody was developed against a recombinant protein corresponding to the amino acids: LRPIHIKSENNSGIKDKGSSLSAHGPEAHATETHCHETEESTIKDSTTQKAGLPSK

Clonality

Polyclonal

Host

Rabbit

Isotype

IgG

Description

Novus Biologicals Rabbit SLC16A4 Antibody - BSA Free (NBP2-13315) is a polyclonal antibody validated for use in IHC and ICC/IF. Anti-SLC16A4 Antibody: Cited in 1 publication. All Novus Biologicals antibodies are covered by our 100% guarantee.

Scientific Data Images for SLC16A4 Antibody - BSA Free

Immunocytochemistry/ Immunofluorescence: SLC16A4 Antibody [NBP2-13315]

Immunocytochemistry/ Immunofluorescence: SLC16A4 Antibody [NBP2-13315]

Immunocytochemistry/Immunofluorescence: SLC16A4 Antibody [NBP2-13315] - Staining of human cell line BJ shows localization to microtubules. Antibody staining is shown in green.
Immunohistochemistry: SLC16A4 Antibody [NBP2-13315]

Immunohistochemistry: SLC16A4 Antibody [NBP2-13315]

Immunohistochemistry: SLC16A4 Antibody [NBP2-13315] - Staining of human kidney shows strong cytoplasmic and membranous positivity in cells in tubules.
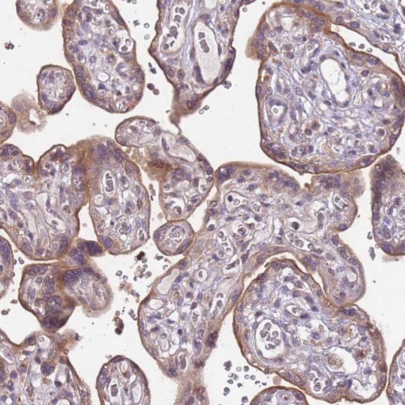
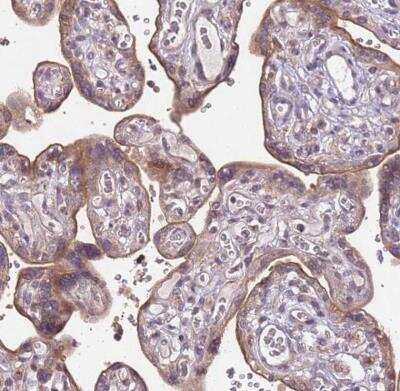
Immunohistochemistry-Paraffin: SLC16A4 Antibody [NBP2-13315]

Immunohistochemistry-Paraffin: SLC16A4 Antibody [NBP2-13315]

Immunohistochemistry-Paraffin: SLC16A4 Antibody [NBP2-13315] - Staining of human placenta shows moderate membranous positivity in trohphoblastic cells.

Applications for SLC16A4 Antibody - BSA Free

Application
Recommended Usage

Immunocytochemistry/ Immunofluorescence

0.25-2 ug/ml

Immunohistochemistry

1:200 - 1:500

Immunohistochemistry-Paraffin

1:200-1:500
Application Notes
For IHC-Paraffin, HIER pH 6 retrieval is recommended. ICC/IF Fixation Permeabilization: Use PFA/Triton X-100.

Formulation, Preparation, and Storage

Purification

Immunogen affinity purified

Formulation

PBS (pH 7.2) and 40% Glycerol

Format

BSA Free

Preservative

0.02% Sodium Azide

Concentration

Concentrations vary lot to lot. See vial label for concentration. If unlisted please contact technical services.

Shipping

The product is shipped with polar packs. Upon receipt, store it immediately at the temperature recommended below.

Stability & Storage

Store at 4C short term. Aliquot and store at -20C long term. Avoid freeze-thaw cycles.

Background: SLC16A4

Proton-linked monocarboxylate transporter. Catalyzes the rapid transport across the plasma membrane of many monocarboxylates such as lactate, pyruvate, branched-chain oxo acids derived from leucine, valine and isoleucine, and the ketone bodies acetoacetate, beta-hydroxybutyrate and acetate.

Long Name

Solute Carrier Family 16 Member 4

Alternate Names

MCT5

Gene Symbol

SLC16A4

Additional SLC16A4 Products

Product Documents for SLC16A4 Antibody - BSA Free

Certificate of Analysis

To download a Certificate of Analysis, please enter a lot number in the search box below.

Product Specific Notices for SLC16A4 Antibody - BSA Free

This product is for research use only and is not approved for use in humans or in clinical diagnosis. Primary Antibodies are guaranteed for 1 year from date of receipt.

Loading...
Loading...
Loading...
Loading...