Skip to main content

SLC10A6 Antibody - BSA Free

Novus Biologicals, part of Bio-Techne | Catalog # NBP1-80734

Novus Biologicals, part of Bio-Techne
Catalog #
Availability
Size / Price
Qty
Loading...
NBP1-80734
NBP1-80734-25ul

Key Product Details

Validated by

Orthogonal Validation

Species Reactivity

Validated:

Human

Cited:

Mouse, Canine

Applications

Validated:

Immunohistochemistry, Immunohistochemistry-Paraffin

Cited:

Immunohistochemistry-Paraffin, Western Blot

Label

Unconjugated

Antibody Source

Polyclonal Rabbit IgG

Format

BSA Free

Concentration

Concentrations vary lot to lot. See vial label for concentration. If unlisted please contact technical services.

Product Specifications

Immunogen

This antibody was developed against Recombinant Protein corresponding to amino acids: KRRLKNKHGKKNSGCTEVCHTRKSTSSRETNAFLEVNEEGAITPGPPGPMDCHRALEPVGHITSCE

Clonality

Polyclonal

Host

Rabbit

Isotype

IgG

Description

Novus Biologicals Rabbit SLC10A6 Antibody - BSA Free (NBP1-80734) is a polyclonal antibody validated for use in IHC and WB. Anti-SLC10A6 Antibody: Cited in 2 publications. All Novus Biologicals antibodies are covered by our 100% guarantee.

Scientific Data Images for SLC10A6 Antibody - BSA Free

SLC10A6 Antibody

Immunohistochemistry-Paraffin: SLC10A6 Antibody [NBP1-80734] -

Immunohistochemistry-Paraffin: SLC10A6 Antibody [NBP1-80734] - Analysis in human skin and lymph node tissues using NBP1-80734 antibody. Corresponding SLC10A6 RNA-seq data are presented for the same tissues.
SLC10A6 Antibody

Immunohistochemistry-Paraffin: SLC10A6 Antibody [NBP1-80734] -

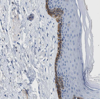
Immunohistochemistry-Paraffin: SLC10A6 Antibody [NBP1-80734] -Staining of human skin shows strong cytoplasmic positivity in epidermal cells.
SLC10A6 Antibody

Immunohistochemistry-Paraffin: SLC10A6 Antibody [NBP1-80734] -

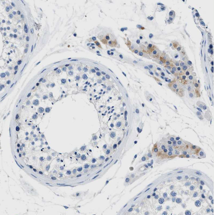
Immunohistochemistry-Paraffin: SLC10A6 Antibody [NBP1-80734] -Staining of human testis shows weak cytoplasmic positivity in Leydig cells.

Applications for SLC10A6 Antibody - BSA Free

Application
Recommended Usage

Immunohistochemistry

1:50 - 1:200

Immunohistochemistry-Paraffin

1:50 - 1:200
Application Notes
For IHC-Paraffin, HIER pH 6 retrieval is recommended.

Formulation, Preparation, and Storage

Purification

Affinity purified

Formulation

PBS (pH 7.2) and 40% Glycerol

Format

BSA Free

Preservative

0.02% Sodium Azide

Concentration

Concentrations vary lot to lot. See vial label for concentration. If unlisted please contact technical services.

Shipping

The product is shipped with polar packs. Upon receipt, store it immediately at the temperature recommended below.

Stability & Storage

Store at 4C short term. Aliquot and store at -20C long term. Avoid freeze-thaw cycles.

Background: SLC10A6

Transports sulfoconjugated steroid hormones, as well as taurolithocholic acid-3-sulfate and sulfoconjugatedpyrenes in a sodium-dependent manner

Alternate Names

MGC129575, MGC129576, SOATSodium-dependent organic anion transporter, solute carrier family 10 (sodium/bile acid cotransporter family), member 6, solute carrier family 10 member 6

Entrez Gene IDs

345274 (Human)

Gene Symbol

SLC10A6

Additional SLC10A6 Products

Product Documents for SLC10A6 Antibody - BSA Free

Certificate of Analysis

To download a Certificate of Analysis, please enter a lot number in the search box below.

Product Specific Notices for SLC10A6 Antibody - BSA Free

This product is for research use only and is not approved for use in humans or in clinical diagnosis. Primary Antibodies are guaranteed for 1 year from date of receipt.

Loading...
Loading...
Loading...
Loading...