Skip to main content

Slap Antibody - BSA Free

Novus Biologicals, part of Bio-Techne | Catalog # NBP3-47460

Novus Biologicals, part of Bio-Techne
Catalog #
Availability
Size / Price
Qty
Loading...
NBP3-47460

Key Product Details

Species Reactivity

Human, Mouse, Rat

Applications

Immunohistochemistry, Western Blot, ELISA

Label

Unconjugated

Antibody Source

Polyclonal Rabbit IgG

Format

BSA Free

Concentration

Please see the vial label for concentration. If unlisted please contact technical services.

Product Specifications

Immunogen

Src-like-adapter. (Uniprot# Q13239)

Clonality

Polyclonal

Host

Rabbit

Isotype

IgG

Description

Novus Biologicals Rabbit Slap Antibody - BSA Free (NBP3-47460) is a polyclonal antibody validated for use in IHC, WB and ELISA. All Novus Biologicals antibodies are covered by our 100% guarantee.

Scientific Data Images for Slap Antibody - BSA Free

Slap Antibody - BSA Free

Western Blot: Slap Antibody - BSA Free [NBP3-47460] -

Western Blot: Slap Antibody - BSA Free [NBP3-47460] - 293T cells were subjected to SDS PAGE followed by western blot with (Slap antibody) at dilution of 1:1000
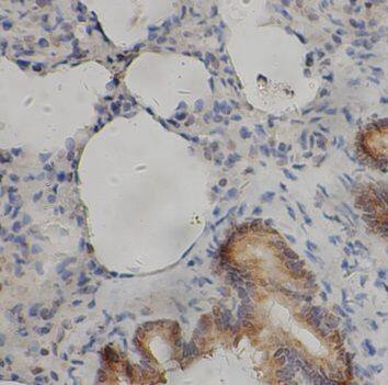
Slap Antibody - BSA Free

Immunohistochemistry: Slap Antibody - BSA Free [NBP3-47460] -

Immunohistochemistry: Slap Antibody - BSA Free [NBP3-47460] - Immunohistochemistry of paraffin-embedded Rat lung tissue slide using (Slap antibody) at dilution of 1:200

Applications for Slap Antibody - BSA Free

Application
Recommended Usage

Immunohistochemistry

1:50-1:200

Western Blot

1:200-1:2000
Application Notes
Theoretical Molecular Weight is 40 kDa, 50 kDa

Formulation, Preparation, and Storage

Purification

Immunogen affinity purified

Formulation

PBS, 50% Glycerol, pH (7.3)

Format

BSA Free

Preservative

0.02% Sodium Azide

Concentration

Please see the vial label for concentration. If unlisted please contact technical services.

Shipping

The product is shipped with polar packs. Upon receipt, store it immediately at the temperature recommended below.

Stability & Storage

Store at -20C. Avoid freeze-thaw cycles.

Background: Slap

Adapter protein, which negatively regulates T-cell receptor (TCR) signaling. Inhibits T-cell antigen-receptor induced activation of nuclear factor of activated T-cells. Involved in the negative regulation of positive selection and mitosis of T-cells. May act by linking signaling proteins such as ZAP70 with CBL, leading to a CBL dependent degradation of signaling proteins

Alternate Names

hSLAP, SLA1, SLAP, SLAP1, SLAP-1, src-like-adapter, Src-like-adapter protein 1, Src-like-adaptor

Gene Symbol

SLA

Additional Slap Products

Product Documents for Slap Antibody - BSA Free

Certificate of Analysis

To download a Certificate of Analysis, please enter a lot number in the search box below.

Product Specific Notices for Slap Antibody - BSA Free

This product is for research use only and is not approved for use in humans or in clinical diagnosis. Primary Antibodies are guaranteed for 1 year from date of receipt.

Loading...
Loading...
Loading...
Loading...