Skip to main content

Skp2 Antibody - BSA Free

Novus Biologicals, part of Bio-Techne | Catalog # NBP2-49142

Novus Biologicals, part of Bio-Techne
Catalog #
Availability
Size / Price
Qty
Loading...
NBP2-49142
NBP2-49142-25ul

Key Product Details

Validated by

Knockout/Knockdown

Species Reactivity

Human

Applications

Immunohistochemistry, Immunohistochemistry-Paraffin, Western Blot, Knockdown Validated

Label

Unconjugated

Antibody Source

Polyclonal Rabbit IgG

Format

BSA Free

Concentration

Concentrations vary lot to lot. See vial label for concentration. If unlisted please contact technical services.

Product Specifications

Immunogen

This antibody was developed against a recombinant protein corresponding to amino acids: LASDESLWQTLDLTGKNLHPDVTGRLLSQGVIAFRCPRSFMDQPLAEHFSPFRVQHMDLSNSVIEVSTLHGILSQCSKLQNLS

Reactivity Notes

Mouse (82%), Rat (83%)

Clonality

Polyclonal

Host

Rabbit

Isotype

IgG

Description

Novus Biologicals Rabbit Skp2 Antibody - BSA Free (NBP2-49142) is a polyclonal antibody validated for use in IHC and WB. All Novus Biologicals antibodies are covered by our 100% guarantee.

Scientific Data Images for Skp2 Antibody - BSA Free

Western Blot: Skp2 Antibody [NBP2-49142]

Western Blot: Skp2 Antibody [NBP2-49142]

Western Blot: Skp2 Antibody [NBP2-49142] - Analysis in Rh30 cells transfected with control siRNA, target specific siRNA probe #1 and #2, using Anti-SKP2 antibody. Remaining relative intensity is presented. Loading control: Anti-GAPDH.
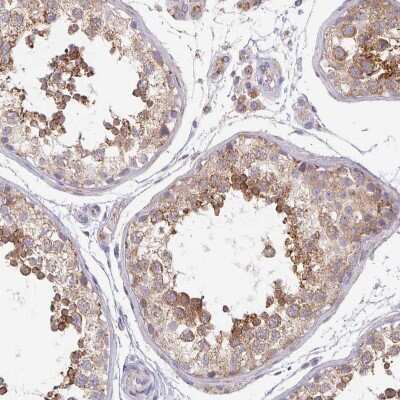
Immunohistochemistry-Paraffin: Skp2 Antibody [NBP2-49142]

Immunohistochemistry-Paraffin: Skp2 Antibody [NBP2-49142]

Immunohistochemistry-Paraffin: Skp2 Antibody [NBP2-49142] - Staining of human testis shows moderate to strong cytoplasmic positivity in cells in seminiferous ducts.
Immunohistochemistry-Paraffin: Skp2 Antibody [NBP2-49142]

Immunohistochemistry-Paraffin: Skp2 Antibody [NBP2-49142]

Immunohistochemistry-Paraffin: Skp2 Antibody [NBP2-49142] - Staining of human cerebral cortex shows moderate to strong cytoplasmic positivity in neurons.

Applications for Skp2 Antibody - BSA Free

Application
Recommended Usage

Immunohistochemistry

1:50 - 1:200

Immunohistochemistry-Paraffin

1:50 - 1:200

Western Blot

0.04-0.4 ug/ml
Application Notes
For IHC-Paraffin, HIER pH 6 retrieval is recommended.

Formulation, Preparation, and Storage

Purification

Immunogen affinity purified

Formulation

PBS (pH 7.2) and 40% Glycerol

Format

BSA Free

Preservative

0.02% Sodium Azide

Concentration

Concentrations vary lot to lot. See vial label for concentration. If unlisted please contact technical services.

Shipping

The product is shipped with polar packs. Upon receipt, store it immediately at the temperature recommended below.

Stability & Storage

Store at 4C short term. Aliquot and store at -20C long term. Avoid freeze-thaw cycles.

Background: Skp2

The critical role that the family of regulatory proteins known as cyclins plays in eukaryotic cell cycle regulation is well established. The best characterized cyclin complex is the mitotic cyclin B/Cdc2 p34 kinase, the active component of MPF (maturation promoting factor). Cyclin A accumulates prior to cyclin B in the cell cycle, appears to be involved in control of S phase and has been shown to associate with cyclin dependent kinase 2 (Cdk2). In addition, cyclin A has been implicated in cell transformation and is found in complexes with E1A, transcription factors DP-1 and E2F, and retinoblastoma protein p110. Two cyclin A-Cdk2 complex binding proteins, Skp1 p19 and Skp2 p45, have been described. Although the Skps (S phase kinase-associated proteins) associate with the active cyclin A-Cdk2 complex, they do not exhibit any regulatory effects on the complex. Abolition of Skp2 p45 function by either microinjection of anti-p45 antibodies or addition of antisense oligonucleotides prevents entry into S phase of both normal and transformed cells.

Long Name

S Phase Kinase-associated Protein 2

Alternate Names

FBL1, FBXL1, p45skp2

Gene Symbol

SKP2

Additional Skp2 Products

Product Documents for Skp2 Antibody - BSA Free

Certificate of Analysis

To download a Certificate of Analysis, please enter a lot number in the search box below.

Product Specific Notices for Skp2 Antibody - BSA Free

This product is for research use only and is not approved for use in humans or in clinical diagnosis. Primary Antibodies are guaranteed for 1 year from date of receipt.

Loading...
Loading...
Loading...
Loading...