Skip to main content

Skp2 Antibody (6D4) - BSA Free

Novus Biologicals, part of Bio-Techne | Catalog # NBP3-15203

Recombinant monoclonal antibody expressed in HEK293F cells
Novus Biologicals, part of Bio-Techne
Catalog #
Availability
Size / Price
Qty
Loading...
NBP3-15203

Key Product Details

Species Reactivity

Human

Applications

ELISA, Immunocytochemistry/ Immunofluorescence, Immunohistochemistry

Label

Unconjugated

Antibody Source

Recombinant Monoclonal Rabbit IgG Clone # 6D4 expressed in HEK293

Format

BSA Free

Concentration

Please see the vial label for concentration. If unlisted please contact technical services.

Product Specifications

Immunogen

A synthesized peptide derived from human SKP2. UniProt ID (Q13309).

Clonality

Monoclonal

Host

Rabbit

Isotype

IgG

Description

Novus Biologicals Rabbit Skp2 Antibody (6D4) - BSA Free (NBP3-15203) is a recombinant monoclonal antibody validated for use in IHC, ELISA and ICC/IF. All Novus Biologicals antibodies are covered by our 100% guarantee.

Scientific Data Images for Skp2 Antibody (6D4) - BSA Free

Immunocytochemistry/ Immunofluorescence: Skp2 Antibody (6D4) [NBP3-15203]

Immunocytochemistry/ Immunofluorescence: Skp2 Antibody (6D4) [NBP3-15203]

Immunocytochemistry/Immunofluorescence: Skp2 Antibody (6D4) [NBP3-15203] - Immunofluorescence staining of Hela Cells with at Skp2 antibody 1:50, counter-stained with DAPI. The cells were fixed in 4% formaldehyde, permeated by 0.2% TritonX-100, and blocked in 10% normal Goat Serum. The cells were then incubated with the antibody overnight at 4C. Nuclear DNA was labeled in blue with DAPI. The secondary antibody was FITC-conjugated Goat Anti-Rabbit IgG (H+L).
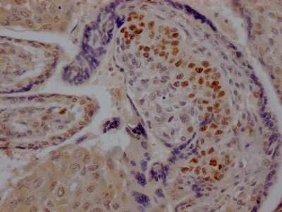
Immunohistochemistry: Skp2 Antibody (6D4) [NBP3-15203]

Immunohistochemistry: Skp2 Antibody (6D4) [NBP3-15203]

Immunohistochemistry: Skp2 Antibody (6D4) [NBP3-15203] - IHC image of Skp2 antibody diluted at 1:100 and staining in paraffin-embedded human placenta tissue. After dewaxing and hydration, antigen retrieval was mediated by high pressure in a citrate buffer (pH 6.0). Section was blocked with 10% normal goat serum 30 minutes at RT. Then primary antibody (1% BSA) was incubated at 4C overnight. The primary is detected by a Goat anti-rabbit IgG polymer labeled by HRP and visualized using 0.05% DAB.

Applications for Skp2 Antibody (6D4) - BSA Free

Application
Recommended Usage

Immunohistochemistry

1:50-1:200

Formulation, Preparation, and Storage

Purification

Affinity purified

Formulation

PBS, pH 7.4, 150mM NaCl, and 50% glycerol

Format

BSA Free

Preservative

0.02% Sodium Azide

Concentration

Please see the vial label for concentration. If unlisted please contact technical services.

Shipping

The product is shipped with polar packs. Upon receipt, store it immediately at the temperature recommended below.

Stability & Storage

Store at -20 to -70C. Avoid freeze-thaw cycles.

Background: Skp2

The critical role that the family of regulatory proteins known as cyclins plays in eukaryotic cell cycle regulation is well established. The best characterized cyclin complex is the mitotic cyclin B/Cdc2 p34 kinase, the active component of MPF (maturation promoting factor). Cyclin A accumulates prior to cyclin B in the cell cycle, appears to be involved in control of S phase and has been shown to associate with cyclin dependent kinase 2 (Cdk2). In addition, cyclin A has been implicated in cell transformation and is found in complexes with E1A, transcription factors DP-1 and E2F, and retinoblastoma protein p110. Two cyclin A-Cdk2 complex binding proteins, Skp1 p19 and Skp2 p45, have been described. Although the Skps (S phase kinase-associated proteins) associate with the active cyclin A-Cdk2 complex, they do not exhibit any regulatory effects on the complex. Abolition of Skp2 p45 function by either microinjection of anti-p45 antibodies or addition of antisense oligonucleotides prevents entry into S phase of both normal and transformed cells.

Long Name

S Phase Kinase-associated Protein 2

Alternate Names

FBL1, FBXL1, p45skp2

Gene Symbol

SKP2

Additional Skp2 Products

Product Documents for Skp2 Antibody (6D4) - BSA Free

Certificate of Analysis

To download a Certificate of Analysis, please enter a lot number in the search box below.

Product Specific Notices for Skp2 Antibody (6D4) - BSA Free

This product is for research use only and is not approved for use in humans or in clinical diagnosis. Primary Antibodies are guaranteed for 1 year from date of receipt.

Loading...
Loading...
Loading...
Loading...