Skip to main content

Skp2 Antibody (2L0K1)

Novus Biologicals, part of Bio-Techne | Catalog # NBP3-16320

Recombinant Monoclonal Antibody
Novus Biologicals, part of Bio-Techne
Catalog #
Availability
Size / Price
Qty
Loading...
NBP3-16320-20ul
NBP3-16320-100ul

Key Product Details

Species Reactivity

Human, Mouse, Rat

Applications

Immunohistochemistry, Immunohistochemistry-Paraffin, Western Blot

Label

Unconjugated

Antibody Source

Recombinant Monoclonal Rabbit IgG Clone # 2L0K1 expressed in HEK293

Concentration

Please see the vial label for concentration. If unlisted please contact technical services.

Product Specifications

Immunogen

A synthetic peptide corresponding to a sequence within amino acids 1-100 of human Skp2 (Q13309). MHRKHLQEIPDLSSNVATSFTWGWDSSKTSELLSGMGVSALEKEEPDSENIPQELLSNLGHPESPPRKRLKSKGSDKDFVIVRRPKLNRENFPGVSWDSL

Clonality

Monoclonal

Host

Rabbit

Isotype

IgG

Description

Novus Biologicals Rabbit Skp2 Antibody (2L0K1) (NBP3-16320) is a recombinant monoclonal antibody validated for use in IHC and WB. All Novus Biologicals antibodies are covered by our 100% guarantee.

Scientific Data Images for Skp2 Antibody (2L0K1)

Western Blot: Skp2 Antibody (2L0K1) [NBP3-16320]

Western Blot: Skp2 Antibody (2L0K1) [NBP3-16320]

Western Blot: Skp2 Antibody (2L0K1) [NBP3-16320] - Western blot analysis of extracts of HeLa cells, using Skp2 Rabbit mAb (NBP3-16320) at 1:1000 dilution. Secondary antibody: HRP Goat Anti-Rabbit IgG (H+L) at 1:10000 dilution. Lysates/proteins: 25ug per lane. Blocking buffer: 3% nonfat dry milk in TBST. Detection: ECL Basic Kit. Exposure time: 3min.
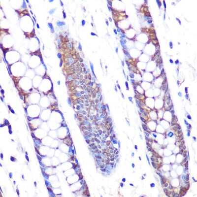
Immunohistochemistry-Paraffin: Skp2 Antibody (2L0K1) [NBP3-16320]

Immunohistochemistry-Paraffin: Skp2 Antibody (2L0K1) [NBP3-16320]

Immunohistochemistry-Paraffin: Skp2 Antibody (2L0K1) [NBP3-16320] - Immunohistochemistry of paraffin-embedded human colon using Skp2 Rabbit mAb (NBP3-16320) at dilution of 1:100 (40x lens).Perform microwave antigen retrieval with 10 mM PBS buffer pH 7.2 before commencing with IHC staining protocol.
Western Blot: Skp2 Antibody (2L0K1) [NBP3-16320]

Western Blot: Skp2 Antibody (2L0K1) [NBP3-16320]

Western Blot: Skp2 Antibody (2L0K1) [NBP3-16320] - Western blot analysis of extracts of various cell lines, using Skp2 Rabbit mAb (NBP3-16320) at 1:1000 dilution. Secondary antibody: HRP Goat Anti-Rabbit IgG (H+L) at 1:10000 dilution. Lysates/proteins: 25ug per lane. Blocking buffer: 3% nonfat dry milk in TBST. Detection: ECL Enhanced Kit. Exposure time: 3min.

Applications for Skp2 Antibody (2L0K1)

Application
Recommended Usage

Immunohistochemistry

1:50 - 1:200

Western Blot

1:500 - 1:1000

Formulation, Preparation, and Storage

Purification

Affinity purified

Formulation

PBS (pH 7.3), 50% glycerol, 0.05% BSA

Preservative

0.02% Sodium Azide

Concentration

Please see the vial label for concentration. If unlisted please contact technical services.

Shipping

The product is shipped with polar packs. Upon receipt, store it immediately at the temperature recommended below.

Stability & Storage

Store at -20C. Avoid freeze-thaw cycles.

Background: Skp2

The critical role that the family of regulatory proteins known as cyclins plays in eukaryotic cell cycle regulation is well established. The best characterized cyclin complex is the mitotic cyclin B/Cdc2 p34 kinase, the active component of MPF (maturation promoting factor). Cyclin A accumulates prior to cyclin B in the cell cycle, appears to be involved in control of S phase and has been shown to associate with cyclin dependent kinase 2 (Cdk2). In addition, cyclin A has been implicated in cell transformation and is found in complexes with E1A, transcription factors DP-1 and E2F, and retinoblastoma protein p110. Two cyclin A-Cdk2 complex binding proteins, Skp1 p19 and Skp2 p45, have been described. Although the Skps (S phase kinase-associated proteins) associate with the active cyclin A-Cdk2 complex, they do not exhibit any regulatory effects on the complex. Abolition of Skp2 p45 function by either microinjection of anti-p45 antibodies or addition of antisense oligonucleotides prevents entry into S phase of both normal and transformed cells.

Long Name

S Phase Kinase-associated Protein 2

Alternate Names

FBL1, FBXL1, p45skp2

Gene Symbol

SKP2

Additional Skp2 Products

Product Documents for Skp2 Antibody (2L0K1)

Certificate of Analysis

To download a Certificate of Analysis, please enter a lot number in the search box below.

Product Specific Notices for Skp2 Antibody (2L0K1)

This product is for research use only and is not approved for use in humans or in clinical diagnosis. Primary Antibodies are guaranteed for 1 year from date of receipt.

Loading...
Loading...
Loading...
Loading...