SKIV2L Antibody - BSA Free
Novus Biologicals, part of Bio-Techne | Catalog # NBP2-47275
Key Product Details
Species Reactivity
Validated:
Human
Predicted:
Mouse (97%), Rat (97%). Backed by our 100% Guarantee.
Applications
Immunohistochemistry, Immunohistochemistry-Paraffin
Label
Unconjugated
Antibody Source
Polyclonal Rabbit IgG
Format
BSA Free
Concentration
Concentrations vary lot to lot. See vial label for concentration. If unlisted please contact technical services.
Product Specifications
Immunogen
This antibody was developed against a recombinant protein corresponding to amino acids: TGNSSKTQGELFLLLDSRGAFHTKGYYAAVEAKKERMSKHAQTFGAKQPTHQGGPAQDRGVYLSLLASLRTRAQLPVVV
Clonality
Polyclonal
Host
Rabbit
Isotype
IgG
Description
Novus Biologicals Rabbit SKIV2L Antibody - BSA Free (NBP2-47275) is a polyclonal antibody validated for use in IHC. All Novus Biologicals antibodies are covered by our 100% guarantee.
Scientific Data Images for SKIV2L Antibody - BSA Free
Immunohistochemistry-Paraffin: SKIV2L Antibody [NBP2-47275]
Immunohistochemistry-Paraffin: SKIV2L Antibody [NBP2-47275] - Staining of human prostate shows moderate cytoplasmic positivity in glandular cells.Immunohistochemistry-Paraffin: SKIV2L Antibody [NBP2-47275]
Immunohistochemistry-Paraffin: SKIV2L Antibody [NBP2-47275] - Staining of human cerebral cortex shows no cytoplasmic positivity in neuronal cells.Immunohistochemistry-Paraffin: SKIV2L Antibody [NBP2-47275]
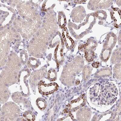
Immunohistochemistry-Paraffin: SKIV2L Antibody [NBP2-47275] - Staining of human kidney shows moderate cytoplasmic positivity in cells in tubules.Applications for SKIV2L Antibody - BSA Free
Application
Recommended Usage
Immunohistochemistry
1:20 - 1:50
Immunohistochemistry-Paraffin
1:20 - 1:50
Application Notes
For IHC-Paraffin, HIER pH 6 retrieval is recommended.
Formulation, Preparation, and Storage
Purification
Affinity purified
Formulation
PBS (pH 7.2) and 40% Glycerol
Format
BSA Free
Preservative
0.02% Sodium Azide
Concentration
Concentrations vary lot to lot. See vial label for concentration. If unlisted please contact technical services.
Shipping
The product is shipped with polar packs. Upon receipt, store it immediately at the temperature recommended below.
Stability & Storage
Store at 4C short term. Aliquot and store at -20C long term. Avoid freeze-thaw cycles.
Background: SKIV2L
Alternate Names
170A, DDX13helicase SKI2W, EC 3.6.1, Helicase-like protein, HLPEC 3.6.4.-, SKI2, SKI2Wsuperkiller viralicidic activity 2 (S. cerevisiae homolog)-like, SKIV2, superkiller viralicidic activity 2-like (S. cerevisiae), W
Gene Symbol
SKIV2L
Additional SKIV2L Products
Product Documents for SKIV2L Antibody - BSA Free
Product Specific Notices for SKIV2L Antibody - BSA Free
This product is for research use only and is not approved for use in humans or in clinical diagnosis. Primary Antibodies are guaranteed for 1 year from date of receipt.
Loading...
Loading...
Loading...
Loading...