Skip to main content

SIN3B Antibody - BSA Free

Novus Biologicals, part of Bio-Techne | Catalog # NBP2-13309

Novus Biologicals, part of Bio-Techne
Catalog #
Availability
Size / Price
Qty
Loading...
NBP2-13309-25ul
NBP2-13309

Key Product Details

Species Reactivity

Human

Applications

Validated:

Immunohistochemistry, Immunohistochemistry-Paraffin, Western Blot, Immunocytochemistry/ Immunofluorescence

Cited:

Western Blot

Label

Unconjugated

Antibody Source

Polyclonal Rabbit IgG

Format

BSA Free

Concentration

Concentrations vary lot to lot. See vial label for concentration. If unlisted please contact technical services.

Product Specifications

Immunogen

This antibody was developed against a recombinant protein corresponding to the amino acids: LISYYVKRQPAIQKEDQGTIHQLLHQFVPSLFFSQQLDLGASEESADEDRDSPQGQTTDPSERKKPAPGPHSSPPEEKGAFGDAPATEQPP

Clonality

Polyclonal

Host

Rabbit

Isotype

IgG

Description

Novus Biologicals Rabbit SIN3B Antibody - BSA Free (NBP2-13309) is a polyclonal antibody validated for use in IHC, WB and ICC/IF. Anti-SIN3B Antibody: Cited in 1 publication. All Novus Biologicals antibodies are covered by our 100% guarantee.

Scientific Data Images for SIN3B Antibody - BSA Free

Immunocytochemistry/ Immunofluorescence: SIN3B Antibody [NBP2-13309]

Immunocytochemistry/ Immunofluorescence: SIN3B Antibody [NBP2-13309]

Immunocytochemistry/Immunofluorescence: SIN3B Antibody [NBP2-13309] - Immunofluorescent staining of human cell line U-251 MG shows localization to nucleoplasm & plasma membrane.
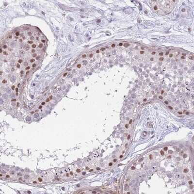
Immunohistochemistry-Paraffin: SIN3B Antibody [NBP2-13309]

Immunohistochemistry-Paraffin: SIN3B Antibody [NBP2-13309]

Immunohistochemistry-Paraffin: SIN3B Antibody [NBP2-13309] - Staining of human testis shows moderate nuclear positivity in cells in seminiferus ducts.

Applications for SIN3B Antibody - BSA Free

Application
Recommended Usage

Immunocytochemistry/ Immunofluorescence

0.25-2 ug/ml

Immunohistochemistry

1:200 - 1:500

Immunohistochemistry-Paraffin

1:200 - 1:500

Western Blot

Reported in scientific literature (PMID: 28857552)
Application Notes
For IHC-Paraffin, HIER pH 6 retrieval is recommended. ICCIF/ Fixation Permeabilization: Use PFA/Triton X-100.

Formulation, Preparation, and Storage

Purification

Affinity purified

Formulation

PBS (pH 7.2) and 40% Glycerol

Format

BSA Free

Preservative

0.02% Sodium Azide

Concentration

Concentrations vary lot to lot. See vial label for concentration. If unlisted please contact technical services.

Shipping

The product is shipped with polar packs. Upon receipt, store it immediately at the temperature recommended below.

Stability & Storage

Store at 4C short term. Aliquot and store at -20C long term. Avoid freeze-thaw cycles.

Background: SIN3B

SIN3B acts as a transcriptional repressor. Interacts with MXI1 to repress MYC responsive genes and antagonize MYC oncogenic activities. Interacts with MAD-MAX heterodimers by binding to MAD. The heterodimer then represses transcription by tethering SIN3B to DNA

Alternate Names

Histone deacetylase complex subunit Sin3b, KIAA0700paired amphipathic helix protein Sin3b, SIN3 homolog B, transcription regulator (yeast), SIN3 homolog B, transcriptional regulator, SIN3 homolog B, transcriptional regulator (yeast), Transcriptional corepressor Sin3b

Gene Symbol

SIN3B

Additional SIN3B Products

Product Documents for SIN3B Antibody - BSA Free

Certificate of Analysis

To download a Certificate of Analysis, please enter a lot number in the search box below.

Product Specific Notices for SIN3B Antibody - BSA Free

This product is for research use only and is not approved for use in humans or in clinical diagnosis. Primary Antibodies are guaranteed for 1 year from date of receipt.

Loading...
Loading...
Loading...
Loading...