Skip to main content

Siglec-6/CD327 Antibody - BSA Free

Novus Biologicals, part of Bio-Techne | Catalog # NBP1-85757

Novus Biologicals, part of Bio-Techne
Catalog #
Availability
Size / Price
Qty
Loading...
NBP1-85757
NBP1-85757-25ul

Key Product Details

Validated by

Orthogonal Validation, Independent Antibodies

Species Reactivity

Human

Applications

Immunohistochemistry, Immunohistochemistry-Paraffin, Western Blot

Label

Unconjugated

Antibody Source

Polyclonal Rabbit IgG

Format

BSA Free

Concentration

Concentrations vary lot to lot. See vial label for concentration. If unlisted please contact technical services.

Product Specifications

Immunogen

This antibody was developed against Recombinant Protein corresponding to amino acids: RVKTRRKKAAQPVQNTDDVNPVMVSGSRGHQHQFQTGIVSDHPAEAGPISEDEQELHYAVLHFHKVQPQEPKVTDTEYSEIKIHK

Clonality

Polyclonal

Host

Rabbit

Isotype

IgG

Scientific Data Images for Siglec-6/CD327 Antibody - BSA Free

Immunohistochemistry-Paraffin: Siglec-6/CD327 Antibody [NBP1-85757]

Immunohistochemistry-Paraffin: Siglec-6/CD327 Antibody [NBP1-85757]

Immunohistochemistry-Paraffin: Siglec-6/CD327 Antibody [NBP1-85757] - Analysis in human placenta and liver tissues. Corresponding Siglec-6/CD327 RNA-seq data are presented for the same tissues.
Immunohistochemistry-Paraffin: Siglec-6/CD327 Antibody [NBP1-85757]

Immunohistochemistry-Paraffin: Siglec-6/CD327 Antibody [NBP1-85757]

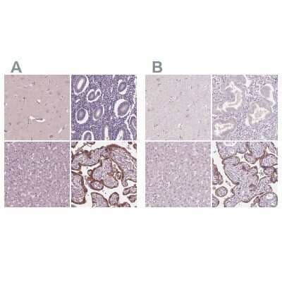
Immunohistochemistry-Paraffin: Siglec-6/CD327 Antibody [NBP1-85757] - Staining of human cerebral cortex, endometrium, liver and placenta using Anti-Siglec-6/CD327 antibody NBP1-85757 (A) shows similar protein distribution across tissues to independent antibody NBP1-85756 (B).
Immunohistochemistry-Paraffin: Siglec-6/CD327 Antibody [NBP1-85757]

Immunohistochemistry-Paraffin: Siglec-6/CD327 Antibody [NBP1-85757]

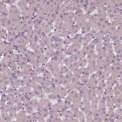
Immunohistochemistry-Paraffin: Siglec-6/CD327 Antibody [NBP1-85757] - Staining of human liver shows no positivity in hepatocytes as expected.

Applications for Siglec-6/CD327 Antibody - BSA Free

Application
Recommended Usage

Immunohistochemistry

1:500 - 1:1000

Immunohistochemistry-Paraffin

1:500 - 1:1000

Western Blot

0.04-0.4 ug/ml
Application Notes
For IHC-Paraffin, HIER pH 6 retrieval is recommended.

Formulation, Preparation, and Storage

Purification

Affinity purified

Formulation

PBS (pH 7.2) and 40% Glycerol

Format

BSA Free

Preservative

0.02% Sodium Azide

Concentration

Concentrations vary lot to lot. See vial label for concentration. If unlisted please contact technical services.

Shipping

The product is shipped with polar packs. Upon receipt, store it immediately at the temperature recommended below.

Stability & Storage

Store at 4C short term. Aliquot and store at -20C long term. Avoid freeze-thaw cycles.

Background: Siglec-6/CD327

Putative adhesion molecule that mediates sialic-acid dependent binding to cells. Binds to alpha-2,6-linkedsialic acid. The sialic acid recognition site may be masked by cis interactions with sialic acids on the same cellsurface

Long Name

Sialic Acid Binding Ig-like Lectin 6

Alternate Names

CD327, CD33L1, OB-BP1, Siglec6

Gene Symbol

SIGLEC6

Additional Siglec-6/CD327 Products

Product Documents for Siglec-6/CD327 Antibody - BSA Free

Certificate of Analysis

To download a Certificate of Analysis, please enter a lot number in the search box below.

Product Specific Notices for Siglec-6/CD327 Antibody - BSA Free

This product is for research use only and is not approved for use in humans or in clinical diagnosis. Primary Antibodies are guaranteed for 1 year from date of receipt.

Loading...
Loading...
Loading...
Loading...