Skip to main content

Siglec-5/CD170 Antibody - BSA Free

Novus Biologicals, part of Bio-Techne | Catalog # NBP1-91149

Novus Biologicals, part of Bio-Techne
Catalog #
Availability
Size / Price
Qty
Loading...
NBP1-91149-25ul
NBP1-91149

Key Product Details

Species Reactivity

Human

Applications

Immunohistochemistry, Immunohistochemistry-Paraffin

Label

Unconjugated

Antibody Source

Polyclonal Rabbit IgG

Format

BSA Free

Concentration

Concentrations vary lot to lot. See vial label for concentration. If unlisted please contact technical services.

Product Specifications

Immunogen

This antibody was developed against Recombinant Protein corresponding to amino acids: KARRKQAAGRPEKMDDEDPIMGTITSGSRKKPWPDSAGDQASPPGDAPPLEEQKELHYASLSFSEMKSREPKDQEAPSTTEYSEIKTSK

Clonality

Polyclonal

Host

Rabbit

Isotype

IgG

Scientific Data Images for Siglec-5/CD170 Antibody - BSA Free

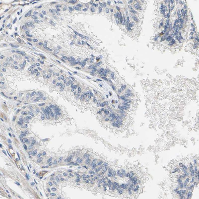
Immunohistochemistry-Paraffin: Siglec-5/CD170 Antibody [NBP1-91149]

Immunohistochemistry-Paraffin: Siglec-5/CD170 Antibody [NBP1-91149]

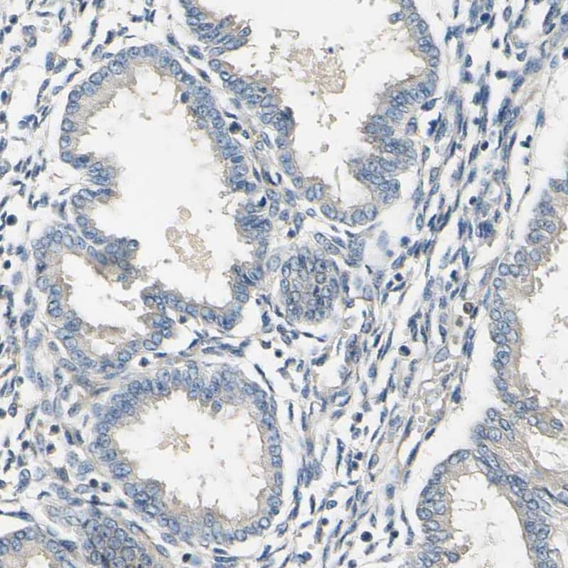
Immunohistochemistry-Paraffin: Siglec-5/CD170 Antibody [NBP1-91149] - Staining of human stomach shows no cytoplasmic positivity in glandular cells as expected.
Immunohistochemistry-Paraffin: Siglec-5/CD170 Antibody [NBP1-91149]

Immunohistochemistry-Paraffin: Siglec-5/CD170 Antibody [NBP1-91149]

Immunohistochemistry-Paraffin: Siglec-5/CD170 Antibody [NBP1-91149] - Staining of human bone marrow shows strong cytoplasm granular positivity in hematopoietic cells.
Immunohistochemistry-Paraffin: Siglec-5/CD170 Antibody [NBP1-91149]

Immunohistochemistry-Paraffin: Siglec-5/CD170 Antibody [NBP1-91149]

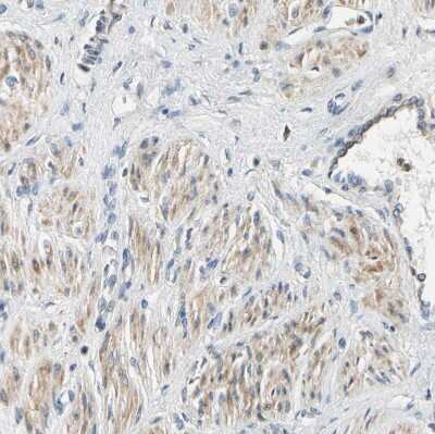
Immunohistochemistry-Paraffin: Siglec-5/CD170 Antibody [NBP1-91149] - Staining of human smooth muscle shows weak cytoplasmic positivity in smooth muscle cells.

Applications for Siglec-5/CD170 Antibody - BSA Free

Application
Recommended Usage

Immunohistochemistry

1:20 - 1:50

Immunohistochemistry-Paraffin

1:20 - 1:50
Application Notes
For IHC-Paraffin, HIER pH 6 retrieval is recommended.

Formulation, Preparation, and Storage

Purification

Affinity purified

Formulation

PBS (pH 7.2) and 40% Glycerol

Format

BSA Free

Preservative

0.02% Sodium Azide

Concentration

Concentrations vary lot to lot. See vial label for concentration. If unlisted please contact technical services.

Shipping

The product is shipped with polar packs. Upon receipt, store it immediately at the temperature recommended below.

Stability & Storage

Store at 4C short term. Aliquot and store at -20C long term. Avoid freeze-thaw cycles.

Background: Siglec-5/CD170

SIGLEC5 - sialic acid binding Ig-like lectin 5

Long Name

Sialic Acid Binding Ig-like Lectin 5

Alternate Names

CD170, CD33L2, OBBP2, Siglec5

Gene Symbol

SIGLEC5

Additional Siglec-5/CD170 Products

Product Documents for Siglec-5/CD170 Antibody - BSA Free

Certificate of Analysis

To download a Certificate of Analysis, please enter a lot number in the search box below.

Product Specific Notices for Siglec-5/CD170 Antibody - BSA Free

This product is for research use only and is not approved for use in humans or in clinical diagnosis. Primary Antibodies are guaranteed for 1 year from date of receipt.

Loading...
Loading...
Loading...
Loading...