Skip to main content

SIAE Antibody - BSA Free

Novus Biologicals, part of Bio-Techne | Catalog # NBP1-84371

Novus Biologicals, part of Bio-Techne
Catalog #
Availability
Size / Price
Qty
Loading...
NBP1-84371
NBP1-84371-25ul

Key Product Details

Validated by

Independent Antibodies

Species Reactivity

Human

Applications

Immunohistochemistry, Immunohistochemistry-Paraffin, Western Blot

Label

Unconjugated

Antibody Source

Polyclonal Rabbit IgG

Format

BSA Free

Concentration

Concentrations vary lot to lot. See vial label for concentration. If unlisted please contact technical services.

Product Specifications

Immunogen

This antibody was developed against Recombinant Protein corresponding to amino acids: ACGVPKQGSIPYDSVTGPSKHSVLWNAMIHPLCNMTLKGVVWYQGESNINYNTDLYNCTFPALIEDWRETFHRGSQGQTERFFPFGLVQLSSDLS

Clonality

Polyclonal

Host

Rabbit

Isotype

IgG

Scientific Data Images for SIAE Antibody - BSA Free

SIAE Antibody - BSA Free Immunohistochemistry-Paraffin: SIAE Antibody - BSA Free [NBP1-84371]

Immunohistochemistry-Paraffin: SIAE Antibody - BSA Free [NBP1-84371]

Staining of human cerebellum shows strong cytoplasmic positivity in Purkinje cells.
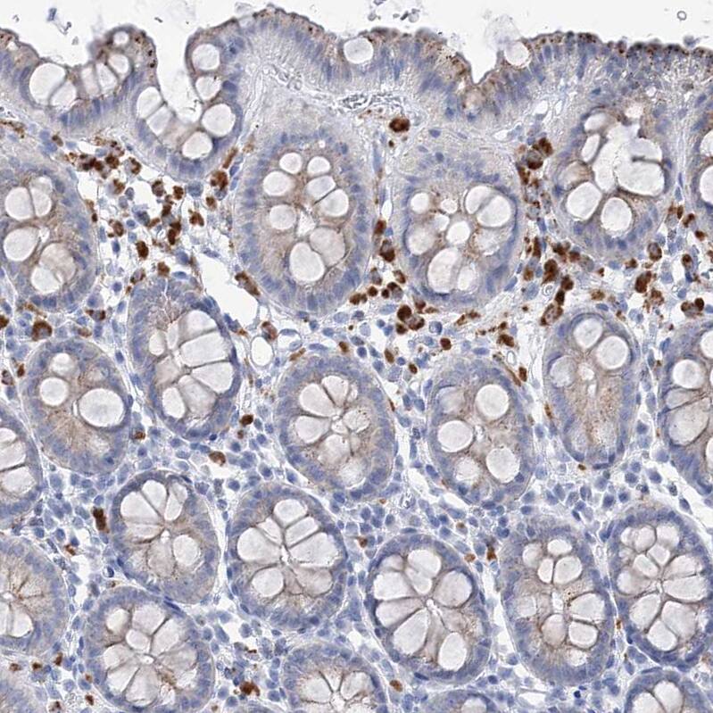
SIAE Antibody - BSA Free Immunohistochemistry-Paraffin: SIAE Antibody - BSA Free [NBP1-84371]

Immunohistochemistry-Paraffin: SIAE Antibody - BSA Free [NBP1-84371]

Staining of human colon shows strong cytoplasmic positivity in lymphoid cells.
SIAE Antibody - BSA Free Immunohistochemistry-Paraffin: SIAE Antibody - BSA Free [NBP1-84371]

Immunohistochemistry-Paraffin: SIAE Antibody - BSA Free [NBP1-84371]

Staining of human lymph node shows no positivity in non-germinal center cells as expected.

Applications for SIAE Antibody - BSA Free

Application
Recommended Usage

Immunohistochemistry

1:200 - 1:500

Immunohistochemistry-Paraffin

1:200 - 1:500

Western Blot

0.04-0.4 ug/ml
Application Notes
For IHC-Paraffin, HIER pH 6 retrieval is recommended.

Formulation, Preparation, and Storage

Purification

Affinity purified

Formulation

PBS (pH 7.2) and 40% Glycerol

Format

BSA Free

Preservative

0.02% Sodium Azide

Concentration

Concentrations vary lot to lot. See vial label for concentration. If unlisted please contact technical services.

Shipping

The product is shipped with polar packs. Upon receipt, store it immediately at the temperature recommended below.

Stability & Storage

Store at 4C short term. Aliquot and store at -20C long term. Avoid freeze-thaw cycles.

Background: SIAE

Sialic acids are acidic 9-carbon sugars typically found at the nonreducing end of sugar chains. They are frequently modified by 9-O-acetylation, and this modification is removed by sialic acid acetylesterases. SIAE appears to encode both lysosomal and cytosolic sialic acid acetylesterase isoforms (LSE and CSE, respectively) (Takematsu et al., 1999 [PubMed 10464298]).[supplied by OMIM]

Long Name

Sialic Acid Acetylesterase

Alternate Names

AIS6, CSE-C, CSEC, EC 3.1.1.53, LSE, MGC87009, Sialate O-Acetylesterase, YSG2

Gene Symbol

SIAE

Additional SIAE Products

Product Documents for SIAE Antibody - BSA Free

Certificate of Analysis

To download a Certificate of Analysis, please enter a lot number in the search box below.

Product Specific Notices for SIAE Antibody - BSA Free

This product is for research use only and is not approved for use in humans or in clinical diagnosis. Primary Antibodies are guaranteed for 1 year from date of receipt.

Loading...
Loading...
Loading...
Loading...