SH3RF2 Antibody - BSA Free
Novus Biologicals, part of Bio-Techne | Catalog # NBP2-38841
Key Product Details
Species Reactivity
Human
Applications
Immunohistochemistry, Immunohistochemistry-Paraffin, Immunocytochemistry/ Immunofluorescence
Label
Unconjugated
Antibody Source
Polyclonal Rabbit IgG
Format
BSA Free
Concentration
Concentrations vary lot to lot. See vial label for concentration. If unlisted please contact technical services.
Product Specifications
Immunogen
This antibody was developed against a recombinant protein corresponding to amino acids: QGSLRKGRSSMRKNGSLQRPLQSGIPTLVVGSLRRSPTMVLRPQQFQFYQPQGIPSSPSAVVVEMGSKPALTGEPALTCISRGSE
Clonality
Polyclonal
Host
Rabbit
Isotype
IgG
Description
Novus Biologicals Rabbit SH3RF2 Antibody - BSA Free (NBP2-38841) is a polyclonal antibody validated for use in IHC and ICC/IF. All Novus Biologicals antibodies are covered by our 100% guarantee.
Scientific Data Images for SH3RF2 Antibody - BSA Free
Immunocytochemistry/ Immunofluorescence: SH3RF2 Antibody [NBP2-38841]
Immunocytochemistry/Immunofluorescence: SH3RF2 Antibody [NBP2-38841] - Staining of human cell line CACO-2 shows localization to nucleoplasm. Antibody staining is shown in green.Immunohistochemistry-Paraffin: SH3RF2 Antibody [NBP2-38841]
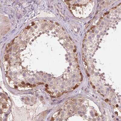
Immunohistochemistry-Paraffin: SH3RF2 Antibody [NBP2-38841] - Staining of human testis shows strong cytoplasmic positivity in a subset of cells in seminiferous ducts.Applications for SH3RF2 Antibody - BSA Free
Application
Recommended Usage
Immunocytochemistry/ Immunofluorescence
0.25-2 ug/ml
Immunohistochemistry
1:500 - 1:1000
Immunohistochemistry-Paraffin
1:500 - 1:1000
Application Notes
For IHC-Paraffin, HIER pH 6 retrieval is recommended. ICC/IF Fixation Permeabilization: Use PFA/Triton X-100.
Formulation, Preparation, and Storage
Purification
Affinity purified
Formulation
PBS (pH 7.2) and 40% Glycerol
Format
BSA Free
Preservative
0.02% Sodium Azide
Concentration
Concentrations vary lot to lot. See vial label for concentration. If unlisted please contact technical services.
Shipping
The product is shipped with polar packs. Upon receipt, store it immediately at the temperature recommended below.
Stability & Storage
Store at 4C short term. Aliquot and store at -20C long term. Avoid freeze-thaw cycles.
Background: SH3RF2
Alternate Names
EC 6.3.2, EC 6.3.2.-, Heart protein phosphatase 1-binding protein, HEPP1FLJ23654, MGC149788, MGC149789, putative E3 ubiquitin-protein ligase SH3RF2, RING finger protein 158, RNF158MGC90410, SH3 domain containing ring finger 2, SH3 domain-containing RING finger protein 2
Gene Symbol
SH3RF2
UniProt
Additional SH3RF2 Products
Product Documents for SH3RF2 Antibody - BSA Free
Product Specific Notices for SH3RF2 Antibody - BSA Free
This product is for research use only and is not approved for use in humans or in clinical diagnosis. Primary Antibodies are guaranteed for 1 year from date of receipt.
Loading...
Loading...
Loading...
Loading...