Skip to main content

SH3BP5 Antibody - BSA Free

Novus Biologicals, part of Bio-Techne | Catalog # NBP3-45363

Novus Biologicals, part of Bio-Techne
Catalog #
Availability
Size / Price
Qty
Loading...
NBP3-45363

Key Product Details

Species Reactivity

Human, Mouse, Rat

Applications

ELISA, Immunohistochemistry, Western Blot

Label

Unconjugated

Antibody Source

Polyclonal Rabbit IgG

Format

BSA Free

Concentration

Please see the vial label for concentration. If unlisted please contact technical services.

Product Specifications

Immunogen

SH3-domain binding protein 5(BTK-associated). (Uniprot# O60239)

Clonality

Polyclonal

Host

Rabbit

Isotype

IgG

Theoretical MW

47 kDa.
Disclaimer note: The observed molecular weight of the protein may vary from the listed predicted molecular weight due to post translational modifications, post translation cleavages, relative charges, and other experimental factors.

Description

Novus Biologicals Rabbit SH3BP5 Antibody - BSA Free (NBP3-45363) is a polyclonal antibody validated for use in IHC, WB and ELISA. All Novus Biologicals antibodies are covered by our 100% guarantee.

Scientific Data Images for SH3BP5 Antibody - BSA Free

SH3BP5 Antibody - BSA Free

Western Blot: SH3BP5 Antibody - BSA Free [NBP3-45363] -

Western Blot: SH3BP5 Antibody - BSA Free [NBP3-45363] - Raji cells were subjected to SDS PAGE followed by western blot with (SH3BP5 antibody) at dilution of 1:200
SH3BP5 Antibody - BSA Free

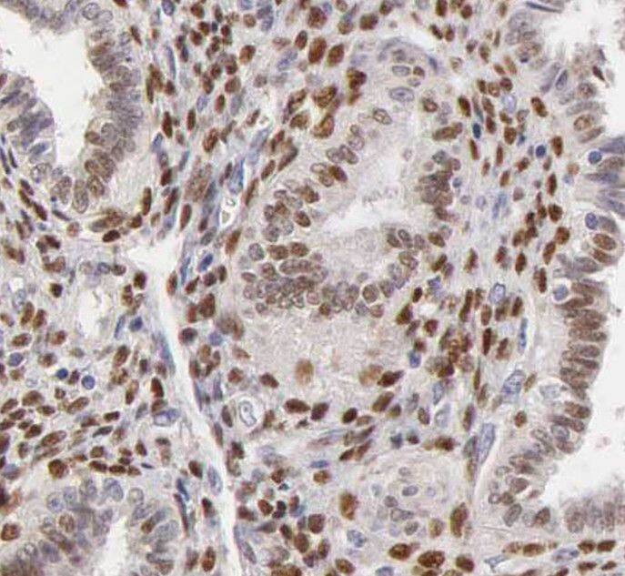
Immunohistochemistry: SH3BP5 Antibody - BSA Free [NBP3-45363] -

Immunohistochemistry: SH3BP5 Antibody - BSA Free [NBP3-45363] - Immunohistochemistry of paraffin-embedded human ovary tumor using (SH3BP5 antibody) at dilution of 1:50

Applications for SH3BP5 Antibody - BSA Free

Application
Recommended Usage

Immunohistochemistry

1:20-1:200

Western Blot

1:500-1:2000

Formulation, Preparation, and Storage

Purification

Immunogen affinity purified

Formulation

PBS, 50% Glycerol, pH (7.3)

Format

BSA Free

Preservative

0.02% Sodium Azide

Concentration

Please see the vial label for concentration. If unlisted please contact technical services.

Shipping

The product is shipped with polar packs. Upon receipt, store it immediately at the temperature recommended below.

Stability & Storage

Store at -20C. Avoid freeze-thaw cycles.

Background: SH3BP5

SH3BP5 (SH3 domain binding protein 5) binds to the SH3 domain of Bruton tyrosine kinase (BTK), a cytoplasmic tyrosine kinase crucial for the maturation of B-lineage cells. It inhibits the auto- and transphosphorylation activity of BTK and negatively regulates BTK-related cytoplasmic signaling in B-cells. SH3BP5 also interacts with JNK. The interaction with JNK occurs through a mitogen-activated protein KIM (kinase interaction motif) in a region distinct from the Bruton's tyrosine kinase-binding domain.

Alternate Names

Sab, SABSH3BP-5, SH3 binding protein, SH3 domain-binding protein 5, SH3 domain-binding protein that preferentially associates with BTK, SH3-domain binding protein 5 (BTK-associated)

Gene Symbol

SH3BP5

Additional SH3BP5 Products

Product Documents for SH3BP5 Antibody - BSA Free

Certificate of Analysis

To download a Certificate of Analysis, please enter a lot number in the search box below.

Product Specific Notices for SH3BP5 Antibody - BSA Free

This product is for research use only and is not approved for use in humans or in clinical diagnosis. Primary Antibodies are guaranteed for 1 year from date of receipt.

Loading...
Loading...
Loading...
Loading...