Skip to main content

SH3BP4 Antibody - BSA Free

Novus Biologicals, part of Bio-Techne | Catalog # NBP1-77031

Novus Biologicals, part of Bio-Techne

Key Product Details

Species Reactivity

Validated:

Human, Mouse, Rat

Cited:

Mouse

Applications

Validated:

Immunohistochemistry, Immunohistochemistry-Paraffin, Western Blot, ELISA

Cited:

Western Blot

Label

Unconjugated

Antibody Source

Polyclonal Rabbit IgG

Format

BSA Free

Concentration

1 mg/ml

Product Specifications

Immunogen

Antibody was raised against an 18 amino acid synthetic peptide from near the carboxy terminus of human SH3BP4. The immunogen is located within amino acids 860 - 910 of SH3BP4. Amino Acid Squence: MDAYESPHRDRNGVVDSE

Clonality

Polyclonal

Host

Rabbit

Isotype

IgG

Description

Novus Biologicals Rabbit SH3BP4 Antibody - BSA Free (NBP1-77031) is a polyclonal antibody validated for use in IHC, WB and ELISA. Anti-SH3BP4 Antibody: Cited in 1 publication. All Novus Biologicals antibodies are covered by our 100% guarantee.

Scientific Data Images for SH3BP4 Antibody - BSA Free

Western Blot: SH3BP4 AntibodyBSA Free [NBP1-77031]

Western Blot: SH3BP4 AntibodyBSA Free [NBP1-77031]

Western Blot: SH3BP4 Antibody [NBP1-77031] - Rat lung tissue lysate with SH3BP4 antibody at (A) 1 and (B) 2 ug/mL.
SH3BP4 Antibody - BSA Free

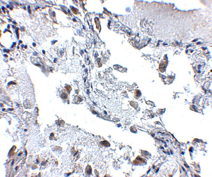
Immunohistochemistry: SH3BP4 Antibody - BSA Free [NBP1-77031] -

Immunohistochemistry: SH3BP4 Antibody - BSA Free [NBP1-77031] - Immunohistochemistry of SH3BP4 in human lung tissue with SH3BP4 antibody at 5 ug/mL.

Applications for SH3BP4 Antibody - BSA Free

Application
Recommended Usage

ELISA

1:100-1:2000

Immunohistochemistry

5 ug/ml

Immunohistochemistry-Paraffin

5 ug/ml

Western Blot

1-2 ug/ml

Formulation, Preparation, and Storage

Purification

Peptide affinity purified

Formulation

PBS

Format

BSA Free

Preservative

0.02% Sodium Azide

Concentration

1 mg/ml

Shipping

The product is shipped with polar packs. Upon receipt, store it immediately at the temperature recommended below.

Stability & Storage

Store at 4C short term. Aliquot and store at -20C long term. Avoid freeze-thaw cycles.

Background: SH3BP4

SH3BP4 was initially isolated as a novel cDNA using differential display analysis using cultured human corneal fibroblasts. The protein contains three Asn-Pro-Phe (NPF) motifs, an SH3 domain, a PXXP motif, a bipartite nuclear targeting signal, and a tyrosine phosphorylation site. SH3BP4 has been shown to interact with specific endocytic proteins such as clathrin, dynamin, and the transferrin receptor (TfR) and localizes to TfR-containing coated pits and vesicles. It is thought to be involved in cargo-specific control of clathrin-mediated endocytosis, specifically controlling the internalization of TfR. At least two isoforms of SH3BP4 are known to exist.

Alternate Names

BOG25SH3 domain-binding protein 4, EHB10, EH-binding protein 10, SH3-domain binding protein 4, transferrin receptor trafficking protein, Transferrin receptor-trafficking protein, TTP

Gene Symbol

SH3BP4

Additional SH3BP4 Products

Product Documents for SH3BP4 Antibody - BSA Free

Certificate of Analysis

To download a Certificate of Analysis, please enter a lot number in the search box below.

Product Specific Notices for SH3BP4 Antibody - BSA Free

This product is for research use only and is not approved for use in humans or in clinical diagnosis. Primary Antibodies are guaranteed for 1 year from date of receipt.

Loading...
Loading...
Loading...
Loading...