Skip to main content

SH2D7 Antibody - BSA Free

Novus Biologicals, part of Bio-Techne | Catalog # NBP3-21405

Novus Biologicals, part of Bio-Techne
Catalog #
Availability
Size / Price
Qty
Loading...
NBP3-21405-100ul
NBP3-21405-25ul

Key Product Details

Validated by

Orthogonal Validation

Species Reactivity

Human

Applications

Immunohistochemistry, Immunohistochemistry-Paraffin

Label

Unconjugated

Antibody Source

Polyclonal Rabbit IgG

Format

BSA Free

Concentration

Concentrations vary lot to lot. See vial label for concentration. If unlisted please contact technical services.

Product Specifications

Immunogen

This antibody was developed against Recombinant Protein corresponding to amino acids: HHYQEAQLEPFKEMLTAACPRPEDNDLYDAITRGLHQTIVDPENPPATAFLTVVPDKAASPRSSPKPQVSFLHAQKSLDVSPR

Clonality

Polyclonal

Host

Rabbit

Isotype

IgG

Description

Novus Biologicals Rabbit SH2D7 Antibody - BSA Free (NBP3-21405) is a polyclonal antibody validated for use in IHC. All Novus Biologicals antibodies are covered by our 100% guarantee.

Scientific Data Images for SH2D7 Antibody - BSA Free

Immunohistochemistry-Paraffin: SH2D7 Antibody [NBP3-21405] -

Immunohistochemistry-Paraffin: SH2D7 Antibody [NBP3-21405] -

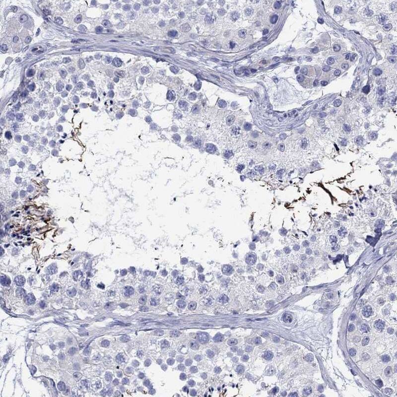
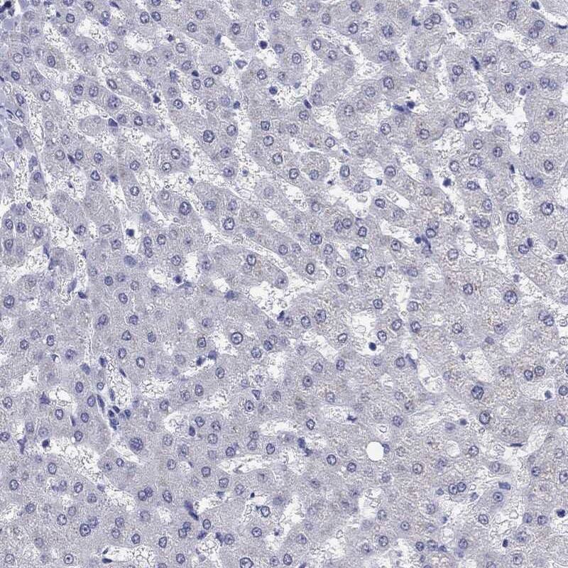
Analysis in human testis and liver tissues using Anti-SH2D7 antibody. Corresponding SH2D7 RNA-seq data are presented for the same tissues.
Immunohistochemistry-Paraffin: SH2D7 Antibody [NBP3-21405] -

Immunohistochemistry-Paraffin: SH2D7 Antibody [NBP3-21405] -

Staining of human liver shows low expression as expected.
Immunohistochemistry-Paraffin: SH2D7 Antibody [NBP3-21405] -

Immunohistochemistry-Paraffin: SH2D7 Antibody [NBP3-21405] -

Staining of human testis shows high expression.

Applications for SH2D7 Antibody - BSA Free

Application
Recommended Usage

Immunohistochemistry

1:200 - 1:500

Immunohistochemistry-Paraffin

1:200 - 1:500
Application Notes
For IHC-Paraffin, HIER pH 6 retrieval is recommended.

Formulation, Preparation, and Storage

Purification

Affinity purified

Formulation

PBS, pH 7.2, 40% glycerol

Format

BSA Free

Preservative

0.02% Sodium Azide

Concentration

Concentrations vary lot to lot. See vial label for concentration. If unlisted please contact technical services.

Shipping

The product is shipped with polar packs. Upon receipt, store it immediately at the temperature recommended below.

Stability & Storage

Store at 4C short term. Aliquot and store at -20C long term. Avoid freeze-thaw cycles.

Background: SH2D7

Alternate Names

SH2D7 SH2 domain containing 7

Gene Symbol

SH2D7

Additional SH2D7 Products

Product Documents for SH2D7 Antibody - BSA Free

Certificate of Analysis

To download a Certificate of Analysis, please enter a lot number in the search box below.

Product Specific Notices for SH2D7 Antibody - BSA Free

This product is for research use only and is not approved for use in humans or in clinical diagnosis. Primary Antibodies are guaranteed for 1 year from date of receipt.

Loading...
Loading...
Loading...
Loading...