Skip to main content

SGOL2 Antibody - BSA Free

Novus Biologicals, part of Bio-Techne | Catalog # NBP1-83567

Novus Biologicals, part of Bio-Techne
Catalog #
Availability
Size / Price
Qty
Loading...
NBP1-83567-25ul
NBP1-83567

Key Product Details

Validated by

Orthogonal Validation

Species Reactivity

Validated:

Human

Cited:

Human

Applications

Validated:

Immunohistochemistry, Immunohistochemistry-Paraffin, Immunocytochemistry/ Immunofluorescence

Cited:

Immunohistochemistry-Paraffin, Western Blot, Immunocytochemistry/ Immunofluorescence

Label

Unconjugated

Antibody Source

Polyclonal Rabbit IgG

Format

BSA Free

Concentration

Concentrations vary lot to lot. See vial label for concentration. If unlisted please contact technical services.

Product Specifications

Immunogen

This antibody was developed against Recombinant Protein corresponding to amino acids: ESHSHSDQSSKTSLMSEMRNAQSIGRRWEKPSPSNVTERKKRGSSWESNNLSADTPCATVLDKQHISSPELNCNNEINGHTNETNTEMQRN

Clonality

Polyclonal

Host

Rabbit

Isotype

IgG

Scientific Data Images for SGOL2 Antibody - BSA Free

Immunohistochemistry-Paraffin: SGOL2 Antibody [NBP1-83567]

Immunohistochemistry-Paraffin: SGOL2 Antibody [NBP1-83567]

Immunohistochemistry-Paraffin: SGOL2 Antibody [NBP1-83567] - Staining in human testis and skeletal muscle tissues.. Corresponding SGO2 RNA-seq data are presented for the same tissues.
Immunohistochemistry-Paraffin: SGOL2 Antibody [NBP1-83567]

Immunohistochemistry-Paraffin: SGOL2 Antibody [NBP1-83567]

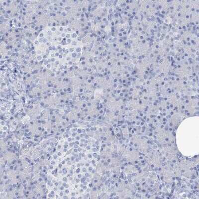
Immunohistochemistry-Paraffin: SGOL2 Antibody [NBP1-83567] - Staining of human pancreas shows no positivity in exocrine glandular cells as expected.
Immunohistochemistry-Paraffin: SGOL2 Antibody [NBP1-83567]

Immunohistochemistry-Paraffin: SGOL2 Antibody [NBP1-83567]

Immunohistochemistry-Paraffin: SGOL2 Antibody [NBP1-83567] - Staining of human skeletal muscle shows no positivity in myocytes as expected.

Applications for SGOL2 Antibody - BSA Free

Application
Recommended Usage

Immunocytochemistry/ Immunofluorescence

0.25-2 ug/ml

Immunohistochemistry

1:500 - 1:1000

Immunohistochemistry-Paraffin

1:500 - 1:1000
Application Notes
For IHC-Paraffin, HIER pH 6 retrieval is recommended. ICC/IF, Fixation Permeabilization: Use PFA/Triton X-100.

Formulation, Preparation, and Storage

Purification

Affinity purified

Formulation

PBS (pH 7.2) and 40% Glycerol

Format

BSA Free

Preservative

0.02% Sodium Azide

Concentration

Concentrations vary lot to lot. See vial label for concentration. If unlisted please contact technical services.

Shipping

The product is shipped with polar packs. Upon receipt, store it immediately at the temperature recommended below.

Stability & Storage

Store at 4C short term. Aliquot and store at -20C long term. Avoid freeze-thaw cycles.

Background: SGOL2

Shugoshin-like 2 (SGO2) is a member of the shugoshin (SGO) family of proteins which plays a role in preventing premature release of the cohesin complex from centromeres during prophase and mitosis. The SGO family of proteins is evolutionarily conserved across eukaryotes and is central to the maintenance of genomic stability.

Alternate Names

FLJ25211, MGC129665, Sgo2, Shugoshin-2, shugoshin-like 2 (S. pombe), Tripin, TRIPINshugoshin-like 2

Gene Symbol

SGOL2

Additional SGOL2 Products

Product Documents for SGOL2 Antibody - BSA Free

Certificate of Analysis

To download a Certificate of Analysis, please enter a lot number in the search box below.

Product Specific Notices for SGOL2 Antibody - BSA Free

This product is for research use only and is not approved for use in humans or in clinical diagnosis. Primary Antibodies are guaranteed for 1 year from date of receipt.

Loading...
Loading...
Loading...
Loading...