Skip to main content

SFRS9 Antibody (OTI5G7)

Novus Biologicals, part of Bio-Techne | Catalog # NBP2-45429

Novus Biologicals, part of Bio-Techne
Catalog #
Availability
Size / Price
Qty
Loading...
NBP2-45429

Key Product Details

Species Reactivity

Human, Mouse, Rat

Applications

Immunohistochemistry, Immunohistochemistry-Paraffin, Western Blot

Label

Unconjugated

Antibody Source

Monoclonal Mouse IgG2B Clone # OTI5G7

Concentration

1 mg/ml

Product Specifications

Immunogen

Full length human recombinant protein of human SRSF9 (NP_003760) produced in E.coli.

Reactivity Notes

Please note that this antibody is reactive to Mouse and derived from the same host, Mouse. Mouse-On-Mouse blocking reagent may be needed for IHC and ICC experiments to reduce high background signal. You can find these reagents under catalog numbers PK-2200-NB and MP-2400-NB. Please contact Technical Support if you have any questions.

Clonality

Monoclonal

Host

Mouse

Isotype

IgG2B

Theoretical MW

25.4 kDa.
Disclaimer note: The observed molecular weight of the protein may vary from the listed predicted molecular weight due to post translational modifications, post translation cleavages, relative charges, and other experimental factors.

Description

Novus Biologicals Mouse SFRS9 Antibody (OTI5G7) (NBP2-45429) is a monoclonal antibody validated for use in IHC and WB. All Novus Biologicals antibodies are covered by our 100% guarantee.

Scientific Data Images for SFRS9 Antibody (OTI5G7)

Western Blot: SFRS9 Antibody (OTI5G7) [NBP2-45429]

Western Blot: SFRS9 Antibody (OTI5G7) [NBP2-45429]

Western Blot: SFRS9 Antibody (5G7) [NBP2-45429] - Analysis of HEK293T cells were transfected with the pCMV6-ENTRY control (Left lane) or pCMV6-ENTRY SRSF9.
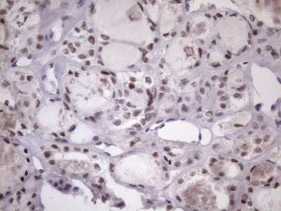
Immunohistochemistry: SFRS9 Antibody (OTI5G7) [NBP2-45429]

Immunohistochemistry: SFRS9 Antibody (OTI5G7) [NBP2-45429]

Immunohistochemistry: SFRS9 Antibody (5G7) [NBP2-45429] - Analysis of Human lymph node tissue. (Heat-induced epitope retrieval by Tris-EDTA, pH8.0)
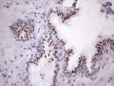
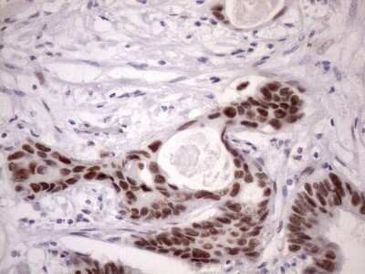
Immunohistochemistry: SFRS9 Antibody (OTI5G7) [NBP2-45429]

Immunohistochemistry: SFRS9 Antibody (OTI5G7) [NBP2-45429]

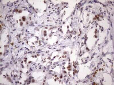
Immunohistochemistry: SFRS9 Antibody (5G7) [NBP2-45429] - Analysis of Adenocarcinoma of Human breast tissue. (Heat-induced epitope retrieval by Tris-EDTA, pH8.0)

Applications for SFRS9 Antibody (OTI5G7)

Application
Recommended Usage

Immunohistochemistry

1:150

Immunohistochemistry-Paraffin

1:150

Western Blot

1:2000

Formulation, Preparation, and Storage

Purification

Immunogen affinity purified

Formulation

PBS (pH 7.3), 1.0% BSA and 50% Glycerol

Preservative

0.02% Sodium Azide

Concentration

1 mg/ml

Shipping

The product is shipped with polar packs. Upon receipt, store it immediately at the temperature recommended below.

Stability & Storage

Store at -20C. Avoid freeze-thaw cycles.

Background: SFRS9

SFRS9 plays a role in constitutive splicing and can modulate the selection of alternative splice sites

Alternate Names

Pre-mRNA-splicing factor SRp30C, serine/arginine-rich splicing factor 9, SFRS9, Splicing factor, arginine/serine-rich 9SR splicing factor 9, SRP30C

Gene Symbol

SRSF9

Additional SFRS9 Products

Product Documents for SFRS9 Antibody (OTI5G7)

Certificate of Analysis

To download a Certificate of Analysis, please enter a lot number in the search box below.

Product Specific Notices for SFRS9 Antibody (OTI5G7)

This product is for research use only and is not approved for use in humans or in clinical diagnosis. Primary Antibodies are guaranteed for 1 year from date of receipt.

Loading...
Loading...
Loading...
Loading...