Skip to main content

SETD1A Antibody (BLR024E)

Novus Biologicals, part of Bio-Techne | Catalog # NBP2-76401

Recombinant Monoclonal Antibody
Novus Biologicals, part of Bio-Techne
Catalog #
Availability
Size / Price
Qty
Loading...
NBP2-76401

Key Product Details

Validated by

Independent Antibodies

Species Reactivity

Human, Mouse

Applications

Immunohistochemistry, Immunohistochemistry-Paraffin, Western Blot, Immunocytochemistry/ Immunofluorescence, Immunoprecipitation

Label

Unconjugated

Antibody Source

Recombinant Monoclonal Rabbit IgG Clone # BLR024E

Concentration

Please see the vial label for concentration. If unlisted please contact technical services.

Product Specifications

Immunogen

Immunogen sequence between amino acids 1200 and 1250

Clonality

Monoclonal

Host

Rabbit

Isotype

IgG

Description

Novus Biologicals Rabbit SETD1A Antibody (BLR024E) (NBP2-76401) is a recombinant monoclonal antibody validated for use in IHC, WB, ICC/IF and IP. All Novus Biologicals antibodies are covered by our 100% guarantee.

Scientific Data Images for SETD1A Antibody (BLR024E)

Western Blot: SETD1A Antibody (BLR024E) [NBP2-76401]

Western Blot: SETD1A Antibody (BLR024E) [NBP2-76401]

Western Blot: SETD1A Antibody (BLR024E) [NBP2-76401] - Detection of human and mouse hSET1 by WB of HeLa, HEK293T, Jurkat, and TCMK-1 lysate. Antibody: Rabbit anti-hSET1 recombinant monoclonal [BLR024E] (NBP2-76401). Secondary: HRP-conjugated goat anti-rabbit IgG.
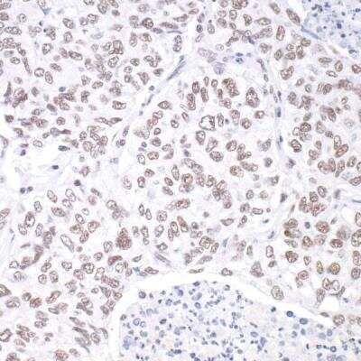
Immunohistochemistry-Paraffin: SETD1A Antibody (BLR024E) [NBP2-76401]

Immunohistochemistry-Paraffin: SETD1A Antibody (BLR024E) [NBP2-76401]

Immunohistochemistry-Paraffin: SETD1A Antibody (BLR024E) [NBP2-76401] - Section of human lung carcinoma. Antibody: Rabbit anti-hSET1 recombinant monoclonal antibody [BLR024E] used at 1:25. Secondary: HRPconjugated goat anti-rabbit IgG. (Substrate: DAB).
Immunofluorescence: SETD1A Antibody (BLR024E) [NBP2-76401]

Immunofluorescence: SETD1A Antibody (BLR024E) [NBP2-76401]

Immunofluorescence: SETD1A Antibody (BLR024E) [NBP2-76401] - Detection of human hSET1 (red) in FFPE ovarian carcinoma by IHC-IF. Antibody: Rabbit anti-hSET1 recombinant monoclonal [BLR024E] (NBP2-76401). Secondary:DyLight 594-conjugated goat anti-rabbit IgG. Counterstain: DAPI (blue).

Applications for SETD1A Antibody (BLR024E)

Application
Recommended Usage

Immunocytochemistry/ Immunofluorescence

1:25-1:250

Immunohistochemistry

1:25 - 1:250

Immunoprecipitation

20 ul/mg lysate

Western Blot

1:1000
Application Notes
Epitope retrieval with citrate buffer pH 6.0 is recommended for FFPE tissue sections.

Formulation, Preparation, and Storage

Purification

Antigen Affinity-purified

Formulation

Borate Buffered Saline (BBS) pH 8.2 with 0.1% BSA

Preservative

0.09% Sodium Azide

Concentration

Please see the vial label for concentration. If unlisted please contact technical services.

Shipping

The product is shipped with polar packs. Upon receipt, store it immediately at the temperature recommended below.

Stability & Storage

Store at 2 - 8 C / 1 year from date of receipt

Background: SETD1A

hSET1 is a subunit of a human Set1-like histone methyltransferase (HMT) complex. The Set-1 like complexes are responsible for mono-, di-, and tri-methylation of histone H3 K4. The Set class of proteins takes its name from the 130-140 aa motif SET domain identified in drosophila proteins. hSET1 associates with a multitude of proteins in a Set1-like complex which includes hSet1, Ash2L, RBBP5,WDR5, hDPY-30, hSwd2, CXXC1, and HCF1.

Alternate Names

histone-lysine N-methyltransferase SETD1A, hSET1A, KIAA0339EC 2.1.1.43, KMT2FSET1, Lysine N-methyltransferase 2F, SET domain containing 1A, SET domain-containing protein 1A, Set1, Set1/Ash2 histone methyltransferase complex subunit SET1, SET1A

Gene Symbol

SETD1A

Additional SETD1A Products

Product Documents for SETD1A Antibody (BLR024E)

Certificate of Analysis

To download a Certificate of Analysis, please enter a lot number in the search box below.

Product Specific Notices for SETD1A Antibody (BLR024E)

This Product sold under License from Bethyl Laboratories, Inc.

This product is for research use only and is not approved for use in humans or in clinical diagnosis. Primary Antibodies are guaranteed for 1 year from date of receipt.

Loading...
Loading...
Loading...
Loading...