Skip to main content

SESN2 Antibody - BSA Free

Novus Biologicals, part of Bio-Techne | Catalog # NBP2-41302

Novus Biologicals, part of Bio-Techne

Key Product Details

Species Reactivity

Human, Mouse, Rat

Applications

Immunohistochemistry, Immunohistochemistry-Paraffin, Western Blot, ELISA, Immunocytochemistry/ Immunofluorescence

Label

Unconjugated

Antibody Source

Polyclonal Rabbit IgG

Format

BSA Free

Concentration

1 mg/ml

Product Specifications

Immunogen

Antibody was raised against a 19 amino acid peptide near the center of human SESTRIN2. The immunogen is located within amino acids 220 - 270 of SESTRIN2. Amino Acid Squence: APTPPSEQSSPPSRDPLNN

Specificity

At least two isoforms of SESTRIN2 are known to exist; this antibody will detect both isoforms. SESTRIN2 antibody is predicted to not cross-react with SESTRIN1.

Clonality

Polyclonal

Host

Rabbit

Isotype

IgG

Theoretical MW

53 kDa.
Disclaimer note: The observed molecular weight of the protein may vary from the listed predicted molecular weight due to post translational modifications, post translation cleavages, relative charges, and other experimental factors.

Description

Novus Biologicals Rabbit SESN2 Antibody - BSA Free (NBP2-41302) is a polyclonal antibody validated for use in IHC, WB, ELISA and ICC/IF. All Novus Biologicals antibodies are covered by our 100% guarantee.

Scientific Data Images for SESN2 Antibody - BSA Free

Western Blot: SESN2 AntibodyBSA Free [NBP2-41302]

Western Blot: SESN2 AntibodyBSA Free [NBP2-41302]

Western Blot: SESN2 Antibody [NBP2-41302] - Western blot analysis of SESTRIN2 in mouse kidney tissue lysate with SESTRIN2 antibody at 1 ug/ml in (A) the absence and (B) the presence of blocking peptide.
SESN2 Antibody - BSA Free

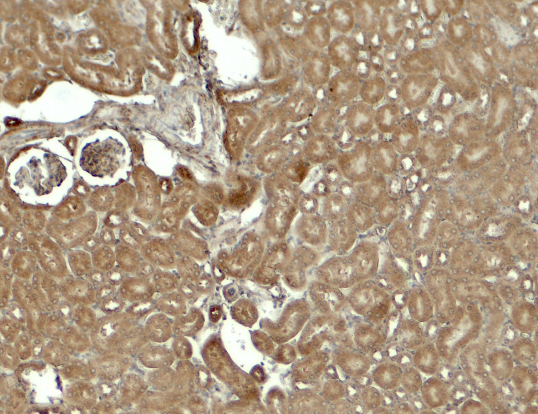
Immunohistochemistry: SESN2 Antibody - BSA Free [NBP2-41302] -

Immunohistochemistry: SESN2 Antibody - BSA Free [NBP2-41302] - Immunohistochemistry of SESN2 in mouse kidney tissue with SESN2 antibody at 5 ug/ml.
SESN2 Antibody - BSA Free

Immunocytochemistry/ Immunofluorescence: SESN2 Antibody - BSA Free [NBP2-41302] -

Immunocytochemistry/ Immunofluorescence: SESN2 Antibody - BSA Free [NBP2-41302] - Immunofluorescence of SESN2 in mouse kidney tissue with SESN2 antibody at 20 ug/ml.

Applications for SESN2 Antibody - BSA Free

Application
Recommended Usage

Immunocytochemistry/ Immunofluorescence

20 ug/ml

Immunohistochemistry

5 ug/ml

Immunohistochemistry-Paraffin

5 ug/ml

Western Blot

1 - 2ug/ml

Formulation, Preparation, and Storage

Purification

Peptide affinity purified

Formulation

PBS

Format

BSA Free

Preservative

0.02% Sodium Azide

Concentration

1 mg/ml

Shipping

The product is shipped with polar packs. Upon receipt, store it immediately at the temperature recommended below.

Stability & Storage

Store at 4C short term. Aliquot and store at -20C long term. Avoid freeze-thaw cycles.

Background: SESN2

SESN2 encodes a member of the sestrin family of PA26-related proteins. The encoded protein may function in the regulation of cell growth and survival. This protein may be involved in cellular response to different stress conditions.

Alternate Names

DKFZp761M0212, DKFZp761M02121, Hi95, HI95sestrin-2, SES2, SEST2hypoxia induced gene 95, sestrin 2

Gene Symbol

SESN2

Additional SESN2 Products

Product Documents for SESN2 Antibody - BSA Free

Certificate of Analysis

To download a Certificate of Analysis, please enter a lot number in the search box below.

Product Specific Notices for SESN2 Antibody - BSA Free

This product is for research use only and is not approved for use in humans or in clinical diagnosis. Primary Antibodies are guaranteed for 1 year from date of receipt.

Loading...
Loading...
Loading...
Loading...