Skip to main content

Serum Response Factor SRF Antibody (PCRP-SRF-1F7)

Novus Biologicals, part of Bio-Techne | Catalog # NBP3-13785

Novus Biologicals, part of Bio-Techne
Catalog #
Availability
Size / Price
Qty
Loading...
NBP3-13785-20ug
NBP3-13785-100ug

Key Product Details

Species Reactivity

Human

Applications

ELISA, Flow Cytometry, Immunocytochemistry/ Immunofluorescence, Immunohistochemistry-Paraffin, Immunoprecipitation, Protein Array, Western Blot

Label

Unconjugated

Antibody Source

Monoclonal Mouse IgG2B Clone # PCRP-SRF-1F7

Concentration

0.2 mg/ml

Product Specifications

Immunogen

Recombinant full-length human Serum Response Factor SRF protein (Uniprot: P11831)

Localization

Nucleus, Nucleoplasm

Clonality

Monoclonal

Host

Mouse

Isotype

IgG2B

Description

200ug/ml of antibody purified from Bioreactor Concentrate by Protein A or G. Prepared in 10 mM PBS with 0.05% BSA & 0.05% azide. Also available WITHOUT BSA & azide at 1.0 mg/ml. (NBP3-14188)

Antibody with azide - store at 2 to 8C. Antibody without azide - store at -20 to -80 C. Non-hazardous.

Theoretical molecular weight: 40-67kDa

Scientific Data Images for Serum Response Factor SRF Antibody (PCRP-SRF-1F7)

Immunocytochemistry/ Immunofluorescence: Serum Response Factor SRF Antibody (PCRP-SRF-1F7) [NBP3-13785]

Immunocytochemistry/ Immunofluorescence: Serum Response Factor SRF Antibody (PCRP-SRF-1F7) [NBP3-13785]

Immunocytochemistry/Immunofluorescence: Serum Response Factor SRF Antibody (PCRP-SRF-1F7) [NBP3-13785] - Immunofluorescence Analysis of PFA-fixed HeLa cells stained using Serum Response Factor SRF Antibody (PCRP-SRF-1F7) followed by goat anti-mouse IgG-CF488 (green). CF640R phalloidin (red).
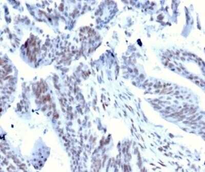
Immunohistochemistry-Paraffin: Serum Response Factor SRF Antibody (PCRP-SRF-1F7) [NBP3-13785]

Immunohistochemistry-Paraffin: Serum Response Factor SRF Antibody (PCRP-SRF-1F7) [NBP3-13785]

Immunohistochemistry-Paraffin: Serum Response Factor SRF Antibody (PCRP-SRF-1F7) [NBP3-13785] - IHC analysis of formalin-fixed, paraffin-embedded human colon. Strong nuclear staining using Serum Response Factor SRF antibody (PCRP-SRF-1F7) at 2ug/ml in PBS for 30min RT. HIER: Tris/EDTA, pH9.0, 45min. HRP-polymer, 30min. DAB, 5min.
Flow Cytometry: Serum Response Factor SRF Antibody (PCRP-SRF-1F7) [NBP3-13785]

Flow Cytometry: Serum Response Factor SRF Antibody (PCRP-SRF-1F7) [NBP3-13785]

Flow Cytometry: Serum Response Factor SRF Antibody (PCRP-SRF-1F7) [NBP3-13785] - Flow cytometric analysis of PFA-fixed HeLa cells. Serum Response Factor SRF antibody (PCRP-SRF-1F7) followed by goat anti-mouse IgG-CF488 (blue); isotype control (red).

Applications for Serum Response Factor SRF Antibody (PCRP-SRF-1F7)

Application
Recommended Usage

Flow Cytometry

1-2 ug/million cells

Immunocytochemistry/ Immunofluorescence

1-2 ug/ml

Immunohistochemistry-Paraffin

1-2 ug/ml

Immunoprecipitation

1-2 ug/100-500 ug protein

Western Blot

1-2 ug/ml
Application Notes
ELISA: For coating, order antibody without BSA

Immunohistochemistry (Formalin-fixed): 1-2ug/ml for 30 minutes at RT. Staining of formalin-fixed tissues requires heating tissue sections in 10mM Tris with 1mM EDTA, pH 9.0, for 45 min at 95C followed by cooling at RT for 20 minutes

Immunoprecipitation: 1-2ug per 100-500ug of total protein (1ml of cell lysate)

Formulation, Preparation, and Storage

Purification

Protein A or G purified

Formulation

10 mM PBS with 0.05% BSA

Preservative

0.05% Sodium Azide

Concentration

0.2 mg/ml

Shipping

The product is shipped with polar packs. Upon receipt, store it immediately at the temperature recommended below.

Stability & Storage

Store at 4C.

Background: Serum Response Factor SRF

Serum response factor (SRF) is a transcription factor that binds the serum response element (SRE), a sequence that mediates the transient response of many cellular genes to growth stimulation. SRF is a cardiac-enriched transcription factor that is required for the appearance of beating sarcomeres in the heart. In addition, SRF may also direct the expression of microRNAs that inhibit the expression of cardiac regulatory factors. SRF binding sites are also constitutive promotor elements in many muscle specific promoters. At the c-Fos SRE, formation of a ternary complex containing SRF and its accessory protein p62TCF appears to be important for signal transduction. Two related Ets domain proteins, Elk 1 and SRF accessory protein 1 (SAP 1) have DNA binding properties identical to that of p62TCF

Long Name

Serum response factor

Alternate Names

SRF

Gene Symbol

SRF

UniProt

Additional Serum Response Factor SRF Products

Product Documents for Serum Response Factor SRF Antibody (PCRP-SRF-1F7)

Certificate of Analysis

To download a Certificate of Analysis, please enter a lot number in the search box below.

Product Specific Notices for Serum Response Factor SRF Antibody (PCRP-SRF-1F7)

This product is for research use only and is not approved for use in humans or in clinical diagnosis. Primary Antibodies are guaranteed for 1 year from date of receipt.

Loading...
Loading...
Loading...
Loading...
Loading...