Skip to main content

SerpinB2 Antibody (OTI1G3) - Azide and BSA Free

Novus Biologicals, part of Bio-Techne | Catalog # NBP2-74131

Novus Biologicals, part of Bio-Techne
Catalog #
Availability
Size / Price
Qty
Loading...
NBP2-74131

Key Product Details

Species Reactivity

Human

Applications

Immunohistochemistry, Immunohistochemistry-Paraffin, Western Blot, Flow Cytometry, CyTOF-ready

Label

Unconjugated

Antibody Source

Monoclonal Mouse IgG1 Clone # OTI1G3

Format

Azide and BSA Free

Concentration

LYOPH mg/ml

Product Specifications

Immunogen

Full length human recombinant protein of human SERPINB2(NP_002566) produced in HEK293T cell.

Clonality

Monoclonal

Host

Mouse

Isotype

IgG1

Theoretical MW

46.4 kDa.
Disclaimer note: The observed molecular weight of the protein may vary from the listed predicted molecular weight due to post translational modifications, post translation cleavages, relative charges, and other experimental factors.

Description

Novus Biologicals Mouse SerpinB2 Antibody (OTI1G3) - Azide and BSA Free (NBP2-01492) is a monoclonal antibody validated for use in IHC, WB and Flow. All Novus Biologicals antibodies are covered by our 100% guarantee.

Scientific Data Images for SerpinB2 Antibody (OTI1G3) - Azide and BSA Free

Western Blot: SerpinB2 Antibody (OTI1G3)Azide and BSA Free [NBP2-74131]

Western Blot: SerpinB2 Antibody (OTI1G3)Azide and BSA Free [NBP2-74131]

Western Blot: SerpinB2 Antibody (OTI1G3) - Azide and BSA Free [NBP2-74131] - HEK293T cells were transfected with the pCMV6-ENTRY control (Left lane) or pCMV6-ENTRY SerpinB2 (Right lane) cDNA for 48 hrs and lysed. Equivalent amounts of cell lysates (5 ug per lane) were separated by SDS-PAGE and immunoblotted with anti-SerpinB2.
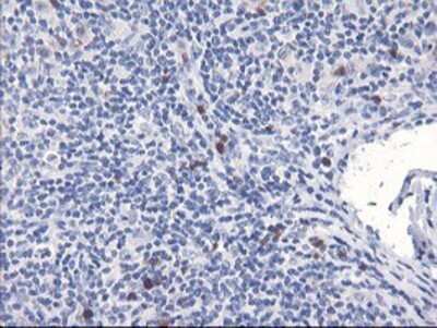
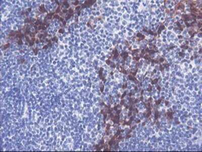
Immunohistochemistry: SerpinB2 Antibody (OTI1G3) - Azide and BSA Free [NBP2-74131]

Immunohistochemistry: SerpinB2 Antibody (OTI1G3) - Azide and BSA Free [NBP2-74131]

Immunohistochemistry: SerpinB2 Antibody (OTI1G3) - Azide and BSA Free [NBP2-74131] - Staining of paraffin-embedded Human lymphoma tissue using anti-SerpinB2 mouse monoclonal antibody.
Flow Cytometry: SerpinB2 Antibody (OTI1G3) - Azide and BSA Free [NBP2-74131]

Flow Cytometry: SerpinB2 Antibody (OTI1G3) - Azide and BSA Free [NBP2-74131]

Flow Cytometry: SerpinB2 Antibody (OTI1G3) - Azide and BSA Free [NBP2-74131] - HEK293T cells transfected with either overexpression plasmid (Red) or empty vector control plasmid (Blue) were immunostaining by anti-SerpinB2 antibody, and then analyzed by flow cytometry.

Applications for SerpinB2 Antibody (OTI1G3) - Azide and BSA Free

Application
Recommended Usage

Flow Cytometry

1:100

Immunohistochemistry

1:150

Western Blot

1:500

Formulation, Preparation, and Storage

Purification

Immunogen affinity purified

Reconstitution

we recommend adding 100uL distilled water to a final antibody concentration of about 1 mg/mL. To use this carrier-free antibody for conjugation experiment, we strongly recommend performing another round of desalting process.

Formulation

Lyophilized from PBS (pH 7.3) with 8% Trehalose

Format

Azide and BSA Free

Preservative

No Preservative

Concentration

LYOPH mg/ml

Shipping

The product is shipped with polar packs. Upon receipt, store it immediately at the temperature recommended below.

Stability & Storage

Store at -20C. Avoid freeze-thaw cycles.

Background: Serpin B2

Inhibits urokinase-type plasminogen activator. The monocyte derived PAI-2 is distinct from the endothelial cell-derived PAI-1

Alternate Names

PAI2, PLANH2, Urokinase Inhibitor

Gene Symbol

SERPINB2

Additional Serpin B2 Products

Product Documents for SerpinB2 Antibody (OTI1G3) - Azide and BSA Free

Certificate of Analysis

To download a Certificate of Analysis, please enter a lot number in the search box below.

Product Specific Notices for SerpinB2 Antibody (OTI1G3) - Azide and BSA Free

This product is for research use only and is not approved for use in humans or in clinical diagnosis. Primary Antibodies are guaranteed for 1 year from date of receipt.

Loading...
Loading...
Loading...
Loading...
Loading...
Loading...