Serpin A6/Cortisol Binding Globulin Antibody (C7) - BSA Free
Novus Biologicals, part of Bio-Techne | Catalog # NBP3-41410
Key Product Details
Species Reactivity
Rat
Applications
Immunohistochemistry, Immunohistochemistry-Paraffin, Western Blot
Label
Unconjugated
Antibody Source
Monoclonal Mouse IgG2b Kappa Clone # C7
Format
BSA Free
Concentration
1 mg/ml
Product Specifications
Immunogen
Immunized with recombinant Rat Serpin A6/Cortisol Binding Globulin (Uniprot#: P31211; Lys173-Leu344 (Uniprot#: P31211)
Clonality
Monoclonal
Host
Mouse
Isotype
IgG2b Kappa
Description
Novus Biologicals Mouse Serpin A6/Cortisol Binding Globulin Antibody (C7) - BSA Free (NBP3-41410) is a monoclonal antibody validated for use in IHC and WB. All Novus Biologicals antibodies are covered by our 100% guarantee.
Scientific Data Images for Serpin A6/Cortisol Binding Globulin Antibody (C7) - BSA Free
Western Blot: Serpin A6/Cortisol Binding Globulin Antibody (C7) [NBP3-41410] -
Western Blot: Serpin A6/Cortisol Binding Globulin Antibody (C7) [NBP3-41410] - Sample: Recombinant Serpin A6/Cortisol Binding Globulin, Rat.Immunohistochemistry-Paraffin: Serpin A6/Cortisol Binding Globulin Antibody (C7) [NBP3-41410] -
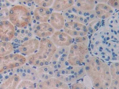
Immunohistochemistry-Paraffin: Serpin A6/Cortisol Binding Globulin Antibody (C7) [NBP3-41410] - DAB staining on IHC-P; Samples: Rat Kidney Tissue; Primary Ab: 40ug/ml NBP3-41410Immunohistochemistry-Paraffin: Serpin A6/Cortisol Binding Globulin Antibody (C7) [NBP3-41410] -
Immunohistochemistry-Paraffin: Serpin A6/Cortisol Binding Globulin Antibody (C7) [NBP3-41410] - DAB staining on IHC-P; Samples: Rat Heart TissueApplications for Serpin A6/Cortisol Binding Globulin Antibody (C7) - BSA Free
Application
Recommended Usage
Immunohistochemistry
5-20ug/mL
Immunohistochemistry-Paraffin
5-20ug/mL
Western Blot
0.01-2ug/mL
Formulation, Preparation, and Storage
Purification
Protein A or G purified
Formulation
0.01M PBS, pH7.4, 50% glycerol
Format
BSA Free
Preservative
0.05% Proclin 300
Concentration
1 mg/ml
Shipping
The product is shipped with polar packs. Upon receipt, store it immediately at the temperature recommended below.
Stability & Storage
Store at 4C short term. Aliquot and store at -20C long term. Avoid freeze-thaw cycles.
Background: Serpin A6
Alternate Names
CBG
Gene Symbol
SERPINA6
Additional Serpin A6 Products
Product Documents for Serpin A6/Cortisol Binding Globulin Antibody (C7) - BSA Free
Product Specific Notices for Serpin A6/Cortisol Binding Globulin Antibody (C7) - BSA Free
This product is for research use only and is not approved for use in humans or in clinical diagnosis. Primary Antibodies are guaranteed for 1 year from date of receipt.
Loading...
Loading...
Loading...
Loading...