Skip to main content

Serpin A1/alpha 1-Antitrypsin Antibody - BSA Free

Novus Biologicals, part of Bio-Techne | Catalog # NBP1-90308

Novus Biologicals, part of Bio-Techne
Catalog #
Availability
Size / Price
Qty
Loading...
NBP1-90308
NBP1-90308-25ul

Key Product Details

Validated by

Orthogonal Validation, Independent Antibodies

Species Reactivity

Human

Applications

Immunohistochemistry, Immunohistochemistry-Paraffin, Western Blot, Immunocytochemistry/ Immunofluorescence

Label

Unconjugated

Antibody Source

Polyclonal Rabbit IgG

Format

BSA Free

Concentration

Concentrations vary lot to lot. See vial label for concentration. If unlisted please contact technical services.

Product Specifications

Immunogen

This antibody was developed against Recombinant Protein corresponding to amino acids: GMFNIQHCKKLSSWVLLMKYLGNATAIFFLPDEGKLQHLENELTHDIITKFLENEDRRSASLHLPKLSITGTYDLKSVLGQLGITKVFSNGADLSGVTEEAPLKLSKAVHKAVLTIDEKGTEAAGAMFLEAIPMSIPPEVKFNKPFVFLMGAPHR

Reactivity Notes

Reactivity reported in scientific literature (PMID: 23470167)

Clonality

Polyclonal

Host

Rabbit

Isotype

IgG

Description

Novus Biologicals Rabbit Serpin A1/alpha 1-Antitrypsin Antibody - BSA Free (NBP1-90308) is a polyclonal antibody validated for use in IHC, WB and ICC/IF. Anti-Serpin A1/alpha 1-Antitrypsin Antibody: Cited in 1 publication. All Novus Biologicals antibodies are covered by our 100% guarantee.

Scientific Data Images for Serpin A1/alpha 1-Antitrypsin Antibody - BSA Free

Immunocytochemistry/ Immunofluorescence: Serpin A1/alpha 1-Antitrypsin Antibody [NBP1-90308]

Immunocytochemistry/ Immunofluorescence: Serpin A1/alpha 1-Antitrypsin Antibody [NBP1-90308]

Immunocytochemistry/Immunofluorescence: Serpin A1/alpha 1-Antitrypsin Antibody [NBP1-90308] - Staining of human cell line Hep G2 shows localization to vesicles. Antibody staining is shown in green.
Immunohistochemistry-Paraffin: Serpin A1/alpha 1-Antitrypsin Antibody [NBP1-90308]

Immunohistochemistry-Paraffin: Serpin A1/alpha 1-Antitrypsin Antibody [NBP1-90308]

Immunohistochemistry-Paraffin: Serpin A1/alpha 1-Antitrypsin Antibody [NBP1-90308] - Staining of human cerebral cortex, kidney, placenta and testis using Anti-SERPINA1 antibody NBP1-90308 (A) shows similar protein distribution across tissues to independent antibody NBP1-90309 (B).
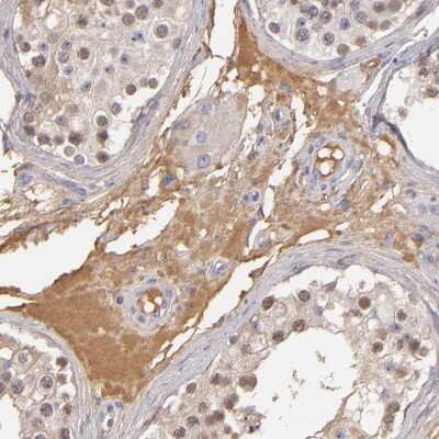
Serpin A1/alpha 1-Antitrypsin Antibody - BSA Free Immunohistochemistry: Serpin A1/alpha 1-Antitrypsin Antibody - BSA Free [NBP1-90308]

Immunohistochemistry: Serpin A1/alpha 1-Antitrypsin Antibody - BSA Free [NBP1-90308]

Analysis in human kidney and cerebral cortex tissues using NBP1-90308 antibody. Corresponding SERPINA1 RNA-seq data are presented for the same tissues.

Applications for Serpin A1/alpha 1-Antitrypsin Antibody - BSA Free

Application
Recommended Usage

Immunocytochemistry/ Immunofluorescence

0.25-2 ug/ml

Immunohistochemistry

1:2500 - 1:5000

Immunohistochemistry-Paraffin

1:2500 - 1:5000

Western Blot

0.04-0.4 ug/ml
Application Notes
For IHC-Paraffin, HIER pH 6 retrieval is recommended. ICC/IF Fixation Permeabilization: Use PFA/Triton X-100.

Formulation, Preparation, and Storage

Purification

Immunogen affinity purified

Formulation

PBS (pH 7.2) and 40% Glycerol

Format

BSA Free

Preservative

0.02% Sodium Azide

Concentration

Concentrations vary lot to lot. See vial label for concentration. If unlisted please contact technical services.

Shipping

The product is shipped with polar packs. Upon receipt, store it immediately at the temperature recommended below.

Stability & Storage

Store at 4C short term. Aliquot and store at -20C long term. Avoid freeze-thaw cycles.

Background: Serpin A1/alpha 1-Antitrypsin

Alpha 1 Antitrypsin, also known as SERPINA1, is a plasma protein synthesised in the liver. It consists of a single polypeptide chain and has a molecular weight of 52 kDa. A serine protease inhibitor, its primary function is the protection of lung tissue from the action of neutrophil elastase. The average level of alpha 1 Antitrypsin in plasma is 1.3 g/l.

Alternate Names

A1AT, alpha 1-Antitrypsin, alpha 1-Proteinase Inhibitor

Gene Symbol

SERPINA1

Additional Serpin A1/alpha 1-Antitrypsin Products

Product Documents for Serpin A1/alpha 1-Antitrypsin Antibody - BSA Free

Certificate of Analysis

To download a Certificate of Analysis, please enter a lot number in the search box below.

Product Specific Notices for Serpin A1/alpha 1-Antitrypsin Antibody - BSA Free

This product is for research use only and is not approved for use in humans or in clinical diagnosis. Primary Antibodies are guaranteed for 1 year from date of receipt.

Loading...
Loading...
Loading...
Loading...