Skip to main content

Serpin A1/alpha 1-Antitrypsin Antibody (5D1D2) - BSA Free

Novus Biologicals, part of Bio-Techne | Catalog # NBP2-52557

Novus Biologicals, part of Bio-Techne
Catalog #
Availability
Size / Price
Qty
Loading...
NBP2-52557-0.025mg
NBP2-52557

Key Product Details

Species Reactivity

Validated:

Human

Cited:

Human

Applications

Validated:

Immunohistochemistry, Immunohistochemistry-Paraffin, Western Blot, ELISA, Flow Cytometry, Immunocytochemistry/ Immunofluorescence, CyTOF-ready

Cited:

Western Blot

Label

Unconjugated

Antibody Source

Monoclonal Mouse IgG1 Clone # 5D1D2

Format

BSA Free

Concentration

1 mg/ml

Product Specifications

Immunogen

Purified recombinant fragment of human Serpin A1/alpha 1-Antitrypsin (AA: 23-237) expressed in E. Coli.

Clonality

Monoclonal

Host

Mouse

Isotype

IgG1

Theoretical MW

46.7 kDa.
Disclaimer note: The observed molecular weight of the protein may vary from the listed predicted molecular weight due to post translational modifications, post translation cleavages, relative charges, and other experimental factors.

Description

Novus Biologicals Mouse Serpin A1/alpha 1-Antitrypsin Antibody (5D1D2) - BSA Free (NBP2-52557) is a monoclonal antibody validated for use in IHC, WB, ELISA, Flow and ICC/IF. Anti-Serpin A1/alpha 1-Antitrypsin Antibody: Cited in 1 publication. All Novus Biologicals antibodies are covered by our 100% guarantee.

Scientific Data Images for Serpin A1/alpha 1-Antitrypsin Antibody (5D1D2) - BSA Free

Western Blot: Serpin A1/alpha 1-Antitrypsin Antibody (5D1D2)BSA Free [NBP2-52557]

Western Blot: Serpin A1/alpha 1-Antitrypsin Antibody (5D1D2)BSA Free [NBP2-52557]

Western Blot: Serpin A1/alpha 1-Antitrypsin Antibody (5D1D2) [NBP2-52557] - Analysis using SERPINA1 mAb against HEK293 (1) and SERPINA1 (AA: 23-237)-hIgGFc transfected HEK293 (2) cell lysate.
Immunocytochemistry/ Immunofluorescence: Serpin A1/alpha 1-Antitrypsin Antibody (5D1D2) - BSA Free [NBP2-52557]

Immunocytochemistry/ Immunofluorescence: Serpin A1/alpha 1-Antitrypsin Antibody (5D1D2) - BSA Free [NBP2-52557]

Immunocytochemistry/Immunofluorescence: Serpin A1/alpha 1-Antitrypsin Antibody (5D1D2) [NBP2-52557] - Immunofluorescence analysis of GC-7901 cells using SERPINA1 mouse mAb (green). Blue: DRAQ5 fluorescent DNA dye. Red: Actin filaments have been labeled with Alexa Fluor- 555 phalloidin.
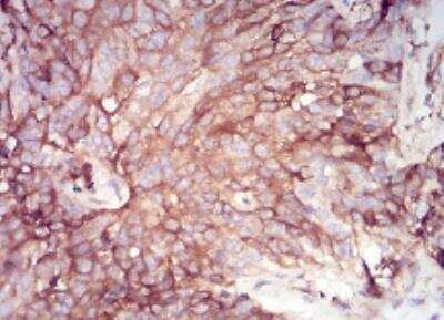
Immunohistochemistry-Paraffin: Serpin A1/alpha 1-Antitrypsin Antibody (5D1D2) - BSA Free [NBP2-52557]

Immunohistochemistry-Paraffin: Serpin A1/alpha 1-Antitrypsin Antibody (5D1D2) - BSA Free [NBP2-52557]

Immunohistochemistry-Paraffin: Serpin A1/alpha 1-Antitrypsin Antibody (5D1D2) [NBP2-52557] - Analysis of paraffin-embedded bladder cancer tissues using SERPINA1 mouse mAb with DAB staining.

Applications for Serpin A1/alpha 1-Antitrypsin Antibody (5D1D2) - BSA Free

Application
Recommended Usage

ELISA

1:10000

Flow Cytometry

1:200-1:400

Immunocytochemistry/ Immunofluorescence

1:200-1:1000

Immunohistochemistry

1:200-1:1000

Immunohistochemistry-Paraffin

1:200-1:1000

Western Blot

1:500-1:2000
Application Notes
This antibody is Cytof ready.

Formulation, Preparation, and Storage

Purification

Protein G purified

Formulation

PBS

Format

BSA Free

Preservative

0.05% Sodium Azide

Concentration

1 mg/ml

Shipping

The product is shipped with polar packs. Upon receipt, store it immediately at the temperature recommended below.

Stability & Storage

Store at 4C short term. Aliquot and store at -20C long term. Avoid freeze-thaw cycles.

Background: Serpin A1/alpha 1-Antitrypsin

Alpha 1 Antitrypsin, also known as SERPINA1, is a plasma protein synthesised in the liver. It consists of a single polypeptide chain and has a molecular weight of 52 kDa. A serine protease inhibitor, its primary function is the protection of lung tissue from the action of neutrophil elastase. The average level of alpha 1 Antitrypsin in plasma is 1.3 g/l.

Alternate Names

A1AT, alpha 1-Antitrypsin, alpha 1-Proteinase Inhibitor

Gene Symbol

SERPINA1

Additional Serpin A1/alpha 1-Antitrypsin Products

Product Documents for Serpin A1/alpha 1-Antitrypsin Antibody (5D1D2) - BSA Free

Certificate of Analysis

To download a Certificate of Analysis, please enter a lot number in the search box below.

Product Specific Notices for Serpin A1/alpha 1-Antitrypsin Antibody (5D1D2) - BSA Free

This product is for research use only and is not approved for use in humans or in clinical diagnosis. Primary Antibodies are guaranteed for 1 year from date of receipt.

Loading...
Loading...
Loading...
Loading...
Loading...