Skip to main content

SERCA2 ATPase Antibody - BSA Free

Novus Biologicals, part of Bio-Techne | Catalog # NBP3-35064

Novus Biologicals, part of Bio-Techne
Catalog #
Availability
Size / Price
Qty
Loading...
NBP3-35064-20ul
NBP3-35064-100ul

Key Product Details

Species Reactivity

Mouse, Rat

Applications

Immunohistochemistry, Immunohistochemistry-Paraffin, Western Blot, ELISA

Label

Unconjugated

Antibody Source

Polyclonal Rabbit IgG

Format

BSA Free

Concentration

Please see the vial label for concentration. If unlisted please contact technical services.

Product Specifications

Immunogen

Recombinant fusion protein containing a sequence corresponding to amino acids 111-253 of human SERCA2 ATPase (NP_733765.1).

Sequence:
NAENAIEALKEYEPEMGKVYRQDRKSVQRIKAKDIVPGDIVEIAVGDKVPADIRLTSIKSTTLRVDQSILTGESVSVIKHTDPVPDPRAVNQDKKNMLFSGTNIAAGKAMGVVVATGVNTEIGKIRDEMVATEQERTPLQQKL

Clonality

Polyclonal

Host

Rabbit

Isotype

IgG

Theoretical MW

115 kDa.
Disclaimer note: The observed molecular weight of the protein may vary from the listed predicted molecular weight due to post translational modifications, post translation cleavages, relative charges, and other experimental factors.

Description

Novus Biologicals Rabbit SERCA2 ATPase Antibody - BSA Free (NBP3-35064) is a polyclonal antibody validated for use in IHC, WB and ELISA. All Novus Biologicals antibodies are covered by our 100% guarantee.

Scientific Data Images for SERCA2 ATPase Antibody - BSA Free

SERCA2 ATPase Antibody

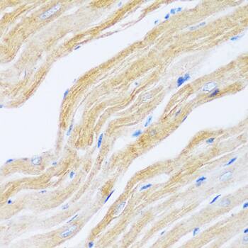
Immunohistochemistry: SERCA2 ATPase Antibody [NBP3-35064] -

Immunohistochemistry: SERCA2 ATPase Antibody [NBP3-35064] - Immunohistochemistry analysis of paraffin-embedded Rat heart using SERCA2 ATPase Rabbit pAb at dilution of 1:100 (40x lens). Microwave antigen retrieval performed with 0.01M PBS Buffer (pH 7.2) prior to IHC staining.
SERCA2 ATPase Antibody

Immunohistochemistry: SERCA2 ATPase Antibody [NBP3-35064] -

Immunohistochemistry: SERCA2 ATPase Antibody [NBP3-35064] - Immunohistochemistry analysis of paraffin-embedded Mouse heart using SERCA2 ATPase Rabbit pAb at dilution of 1:100 (40x lens). Microwave antigen retrieval performed with 0.01M PBS Buffer (pH 7.2) prior to IHC staining.
SERCA2 ATPase Antibody

Immunohistochemistry: SERCA2 ATPase Antibody [NBP3-35064] -

Immunohistochemistry: SERCA2 ATPase Antibody [NBP3-35064] - Immunohistochemistry analysis of paraffin-embedded Mouse lung using SERCA2 ATPase Rabbit pAb at dilution of 1:100 (40x lens). Microwave antigen retrieval performed with 0.01M PBS Buffer (pH 7.2) prior to IHC staining.

Applications for SERCA2 ATPase Antibody - BSA Free

Application
Recommended Usage

Immunohistochemistry-Paraffin

1:50 - 1:100

Western Blot

1:500 - 1:2000

Formulation, Preparation, and Storage

Purification

Affinity purified

Formulation

PBS (pH 7.3), 50% glycerol

Format

BSA Free

Preservative

0.01% Thimerosal

Concentration

Please see the vial label for concentration. If unlisted please contact technical services.

Shipping

The product is shipped with polar packs. Upon receipt, store it immediately at the temperature recommended below.

Stability & Storage

Store at -20C. Avoid freeze-thaw cycles.

Background: SERCA2 ATPase

Sarcoplasmic/endoplasmic reticulum Calcium-ATPase 2 (SERCA2) is a magnesium-dependent pump that catalyzes the hydrolysis of ATP and translocates calcium from the cytosol to the sarcoplasmic reticulum lumen. There are 2 SERCA2 isoforms that differ in the 3' UTR. The SERCA2A isoform is highly expressed in heart and slow twitch skeletal muscle and is important to the regulation of the contraction and relaxation cycle, while the SERCA2B isoform is expressed in smooth muscle and adult epidermis. SERCA2 is also known as ATP2A2, ATP2B, DAR, DD, and MGC45367.

Long Name

Sarcoplasmic/endoplasmic reticulum calcium ATPase 2

Alternate Names

ATP2A2, ATP2B, Calcium pump 2, SERCA2, SR Ca(2+)-ATPase 2

Gene Symbol

ATP2A2

Additional SERCA2 ATPase Products

Product Documents for SERCA2 ATPase Antibody - BSA Free

Certificate of Analysis

To download a Certificate of Analysis, please enter a lot number in the search box below.

Product Specific Notices for SERCA2 ATPase Antibody - BSA Free

This product is for research use only and is not approved for use in humans or in clinical diagnosis. Primary Antibodies are guaranteed for 1 year from date of receipt.

Loading...
Loading...
Loading...
Loading...