Skip to main content

Septin-4 Antibody

Novus Biologicals, part of Bio-Techne | Catalog # NBP1-52095

Novus Biologicals, part of Bio-Techne
Catalog #
Availability
Size / Price
Qty
Loading...
NBP1-52095

Key Product Details

Species Reactivity

Human

Applications

Immunohistochemistry, Immunohistochemistry-Paraffin, Western Blot, Peptide ELISA, Flow Cytometry

Label

Unconjugated

Antibody Source

Polyclonal Goat IgG

Concentration

0.5 mg/ml

Product Specifications

Immunogen

Peptide with sequence C-RNKLTRESGTD corresponding to internal region according to NP_004565.1, NP_536341.1, NP_001185642.1.

Epitope

C-RNKLTRESGTD

Specificity

This antibody is expected to recognize isoform 1 (NP_004565.1), 3 (NP_536341.1) and 4 (NP_001185642.1). Amino acid numbering in name refers to NP_004565.1 sequence.

Clonality

Polyclonal

Host

Goat

Isotype

IgG

Description

Novus Biologicals Goat Septin-4 Antibody (NBP1-52095) is a polyclonal antibody validated for use in IHC, WB, ELISA and Flow. Anti-Septin-4 Antibody: Cited in 1 publication. All Novus Biologicals antibodies are covered by our 100% guarantee.

Scientific Data Images for Septin-4 Antibody

Western Blot: Septin-4 Antibody [NBP1-52095]

Western Blot: Septin-4 Antibody [NBP1-52095]

Western Blot: Septin-4 Antibody [NBP1-52095] - Staining of Human Heart lysate (35 ug protein in RIPA buffer). Antibody at 1 ug/mL. Primary incubation was 1 hour. Detected by chemiluminescence.
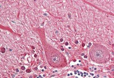
Immunohistochemistry-Paraffin: Septin-4 Antibody [NBP1-52095]

Immunohistochemistry-Paraffin: Septin-4 Antibody [NBP1-52095]

Immunohistochemistry-Paraffin: Septin-4 Antibody [NBP1-52095] - Staining of paraffin embedded Human Cerebellum. Antibody at 3.75 ug/mL. Steamed antigen retrieval with citrate buffer pH 6, AP-staining.
Flow Cytometry: Septin-4 Antibody [NBP1-52095]

Flow Cytometry: Septin-4 Antibody [NBP1-52095]

Flow Cytometry: Septin-4 Antibody [NBP1-52095] - Staining of paraffin embedded Human Cerebellum with antibody at 3.75 ug/mL. Steamed antigen retrieval with citrate buffer pH 6, AP-staining.

Applications for Septin-4 Antibody

Application
Recommended Usage

Flow Cytometry

10 ug/mL

Immunohistochemistry

3.75 ug/mL

Immunohistochemistry-Paraffin

3.75 ug/mL

Peptide ELISA

Detection limit 1:64000

Western Blot

1 - 3 ug/mL

Formulation, Preparation, and Storage

Purification

Immunogen affinity purified

Formulation

Tris saline (20 mM Tris pH 7.3, 150 mM NaCl), 0.5% BSA

Preservative

0.02% Sodium Azide

Concentration

0.5 mg/ml

Shipping

The product is shipped with polar packs. Upon receipt, store it immediately at the temperature recommended below.

Stability & Storage

Store at -20C. Avoid freeze-thaw cycles.

Background: Septin-4

This gene is a member of the septin gene family of nucleotide binding proteins, originally described in yeast as cell division cycle regulatory proteins. Septins are highly conserved in yeast, Drosophila, and mouse and appear to regulate cytoskeletal organization. The protein encoded by this gene is thought to be part of a complex involved in cytokinesis. Alternatively spliced variants which encode different protein isoforms have been described; however, not all variants have been fully characterized.

Alternate Names

Apoptosis-related protein in the TGF-beta signaling pathway, ARTSPeanut-like protein 2, BRADEION, Bradeion beta, Brain protein H5, CE5B3, Cell division control-related protein 2, Cerebral protein 7, H5, hCDCREL-2SEP4, hucep-7, MART, peanut-like 2, peanut-like 2 (Drosophila), PNUTL2CE5B3 beta, septin 4, septin-4, septin-M

Entrez Gene IDs

5414 (Human); 18952 (Mouse)

Gene Symbol

SEPTIN4

Additional Septin-4 Products

Product Documents for Septin-4 Antibody

Certificate of Analysis

To download a Certificate of Analysis, please enter a lot number in the search box below.

Product Specific Notices for Septin-4 Antibody

This product is for research use only and is not approved for use in humans or in clinical diagnosis. Primary Antibodies are guaranteed for 1 year from date of receipt.

Loading...
Loading...
Loading...
Loading...
Loading...