Skip to main content

Septin-3 Antibody

Novus Biologicals, part of Bio-Techne | Catalog # NB100-1023

Novus Biologicals, part of Bio-Techne
Catalog #
Availability
Size / Price
Qty
Loading...
NB100-1023

Key Product Details

Species Reactivity

Validated:

Human, Mouse, Rat

Predicted:

Bovine (100%), Canine (100%), Porcine (100%). Backed by our 100% Guarantee.

Applications

Immunohistochemistry, Immunohistochemistry-Paraffin, Western Blot, Peptide ELISA

Label

Unconjugated

Antibody Source

Polyclonal Goat IgG

Concentration

0.5 mg/ml

Product Specifications

Immunogen

Peptide with sequence SELVPEPRPKPA-C corresponding to N-Terminus according to NP_663786.2, NP_061979.3.

Specificity

This antibody is expected to recognize both reported isoforms according to NP_663786.2 and NP_061979.3.

Clonality

Polyclonal

Host

Goat

Isotype

IgG

Description

Novus Biologicals Goat Septin-3 Antibody (NB100-1023) is a polyclonal antibody validated for use in IHC, WB and ELISA. Anti-Septin-3 Antibody: Cited in 1 publication. All Novus Biologicals antibodies are covered by our 100% guarantee.

Scientific Data Images for Septin-3 Antibody

Western Blot: Septin-3 Antibody [NB100-1023]

Western Blot: Septin-3 Antibody [NB100-1023]

Western Blot: Septin-3 Antibody [NB100-1023] - NB100-1023 (0.5ug/ml) staining of Human Cerebellum (A), (0.1ug/ml) Mouse (B) and (0.03ug/ml) Rat (C) Brain lysate (35ug protein in RIPA buffer).. Detected by chemiluminescence.
Immunohistochemistry-Paraffin: Septin-3 Antibody [NB100-1023]

Immunohistochemistry-Paraffin: Septin-3 Antibody [NB100-1023]

Immunohistochemistry-Paraffin: Septin-3 Antibody [NB100-1023] - staining of paraffin embedded Human Cortex. Steamed antigen retrieval with citrate buffer pH 6, AP-staining.
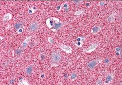
Immunohistochemistry-Paraffin: Septin-3 Antibody [NB100-1023]

Immunohistochemistry-Paraffin: Septin-3 Antibody [NB100-1023]

Immunohistochemistry-Paraffin: Septin-3 Antibody [NB100-1023] - staining of paraffin embedded Human Cerebellum. Steamed antigen retrieval with citrate buffer pH 6, AP-staining.

Applications for Septin-3 Antibody

Application
Recommended Usage

Immunohistochemistry-Paraffin

3.75 ug/ml

Peptide ELISA

Detection limit 1:32000

Western Blot

0.03 - 0.5 ug/ml
Application Notes
WB: Approx. 40 kDa band observed in Human Cerebellum and in Mouse and Rat Brain lysates (calculated MW of 40.7kDa according to NP_663786.2 and NP_062248.2, and 40.6kDa according to NP_001345765.1)

Formulation, Preparation, and Storage

Purification

Immunogen affinity purified

Formulation

Tris saline (20 mM Tris pH 7.3, 150 mM NaCl), 0.5% BSA

Preservative

0.02% Sodium Azide

Concentration

0.5 mg/ml

Shipping

The product is shipped with polar packs. Upon receipt, store it immediately at the temperature recommended below.

Stability & Storage

Store at -20C. Avoid freeze-thaw cycles.

Background: Septin-3

This gene belongs to the septin family of GTPases. Members of this family are required for cytokinesis. Expression is upregulated by retinoic acid in a human teratocarcinoma cell line. The specific function of this gene has not been determined. Alternative splicing of this gene results in two transcript variants encoding different isoforms.

Alternate Names

bK250D10.3, MGC133218, neuronal-specific septin-3, SEP3neuronal-specific septin 3, septin 3

Entrez Gene IDs

55964 (Human); 24050 (Mouse)

Gene Symbol

SEPTIN3

Additional Septin-3 Products

Product Documents for Septin-3 Antibody

Certificate of Analysis

To download a Certificate of Analysis, please enter a lot number in the search box below.

Product Specific Notices for Septin-3 Antibody

This product is for research use only and is not approved for use in humans or in clinical diagnosis. Primary Antibodies are guaranteed for 1 year from date of receipt.

Loading...
Loading...
Loading...
Loading...