Skip to main content

Septin-1 Antibody - BSA Free

Novus Biologicals, part of Bio-Techne | Catalog # NBP3-35749

Novus Biologicals, part of Bio-Techne
Catalog #
Availability
Size / Price
Qty
Loading...
NBP3-35749-100ul
NBP3-35749-20ul

Key Product Details

Species Reactivity

Human, Mouse, Rat

Applications

Immunohistochemistry, Immunohistochemistry-Paraffin, Western Blot, ELISA

Label

Unconjugated

Antibody Source

Polyclonal Rabbit IgG

Format

BSA Free

Concentration

Please see the vial label for concentration. If unlisted please contact technical services.

Product Specifications

Immunogen

Recombinant fusion protein containing a sequence corresponding to amino acids 270-370 of human Septin-1 (NP_443070.5).

Sequence:
IPFAVVGSCEVVRDGGNRPVRGRRYSWGTVEVENPHHCDFLNLRRMLVQTHLQDLKEVTHDLLYEGYRARCLQSLARPGARDRASRSKLSRQSATEIPLPM

Clonality

Polyclonal

Host

Rabbit

Isotype

IgG

Theoretical MW

42 kDa.
Disclaimer note: The observed molecular weight of the protein may vary from the listed predicted molecular weight due to post translational modifications, post translation cleavages, relative charges, and other experimental factors.

Description

Novus Biologicals Rabbit Septin-1 Antibody - BSA Free (NBP3-35749) is a polyclonal antibody validated for use in IHC, WB and ELISA. All Novus Biologicals antibodies are covered by our 100% guarantee.

Scientific Data Images for Septin-1 Antibody - BSA Free

Septin-1 Antibody

Western Blot: Septin-1 Antibody [NBP3-35749] -

Western Blot: Septin-1 Antibody [NBP3-35749] - Western blot analysis of various lysates, using Septin-1 Rabbit pAb at 1:1000 dilution.
Secondary antibody: HRP-conjugated Goat anti-Rabbit IgG (H+L) at 1:10000 dilution.
Lysates/proteins: 25ug per lane.
Blocking buffer: 3% nonfat dry milk in TBST.
Detection: ECL Basic Kit.
Exposure time: 20s.
Septin-1 Antibody

Western Blot: Septin-1 Antibody [NBP3-35749] -

Western Blot: Septin-1 Antibody [NBP3-35749] - Western blot analysis of lysates from Rat spleen, using Septin-1 Rabbit pAb at 1:1000 dilution.
Secondary antibody: HRP-conjugated Goat anti-Rabbit IgG (H+L) at 1:10000 dilution.
Lysates/proteins: 25ug per lane.
Blocking buffer: 3% nonfat dry milk in TBST.
Detection: ECL Basic Kit.
Exposure time: 180s.
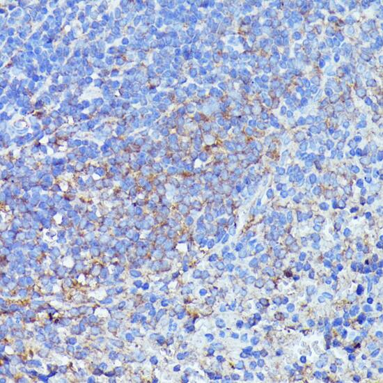
Septin-1 Antibody

Immunohistochemistry: Septin-1 Antibody [NBP3-35749] -

Immunohistochemistry: Septin-1 Antibody [NBP3-35749] - Immunohistochemistry analysis of paraffin-embedded Rat spleen using Septin-1 Rabbit pAb at dilution of 1:100 (40x lens). Microwave antigen retrieval performed with 0.01M PBS Buffer (pH 7.2) prior to IHC staining.

Applications for Septin-1 Antibody - BSA Free

Application
Recommended Usage

Immunohistochemistry-Paraffin

1:50 - 1:100

Western Blot

1:500 - 1:1000

Formulation, Preparation, and Storage

Purification

Affinity purified

Formulation

PBS (pH 7.3), 50% glycerol

Format

BSA Free

Preservative

0.01% Thimerosal

Concentration

Please see the vial label for concentration. If unlisted please contact technical services.

Shipping

The product is shipped with polar packs. Upon receipt, store it immediately at the temperature recommended below.

Stability & Storage

Store at -20C. Avoid freeze-thaw cycles.

Background: Septin-1

This gene is a member of the septin family of GTPases. Members of this family are required for cytokinesis. This gene encodes a protein associated with the tau-based paired helical filament core, and may contribute to the formation of neurofibrillary tangles in Alzheimer's disease.

Alternate Names

DIFF6SEP1, differentiation 6 (deoxyguanosine triphosphate triphosphohydrolase), LARP, Peanut-like protein 3, PNUTL3MGC20394, septin 1, septin-1, Serologically defined breast cancer antigen NY-BR-24

Gene Symbol

SEPTIN1

Additional Septin-1 Products

Product Documents for Septin-1 Antibody - BSA Free

Certificate of Analysis

To download a Certificate of Analysis, please enter a lot number in the search box below.

Product Specific Notices for Septin-1 Antibody - BSA Free

This product is for research use only and is not approved for use in humans or in clinical diagnosis. Primary Antibodies are guaranteed for 1 year from date of receipt.

Loading...
Loading...
Loading...
Loading...