Skip to main content

Separase Antibody (6H6) - Azide and BSA Free

Novus Biologicals, part of Bio-Techne | Catalog # H00009700-M01

Novus Biologicals, part of Bio-Techne
Catalog #
Availability
Size / Price
Qty
Loading...
H00009700-M01

Key Product Details

Species Reactivity

Validated:

Human, Mouse

Cited:

Human

Applications

Validated:

Immunohistochemistry, Immunohistochemistry-Paraffin, Western Blot, ELISA, Immunocytochemistry/ Immunofluorescence

Cited:

Immunohistochemistry-Paraffin, Immunocytochemistry/ Immunofluorescence, IF/IHC

Label

Unconjugated

Antibody Source

Monoclonal Mouse IgG2a Kappa Clone # 6H6

Format

Azide and BSA Free

Concentration

Concentrations vary lot to lot. See vial label for concentration. If unlisted please contact technical services.

Product Specifications

Immunogen

ESPL1 (NP_036423, 586 a.a. ~ 701 a.a) partial recombinant protein with GST tag. MW of the GST tag alone is 26 KDa. REELQAYKAVRADTGQERFNIICDLLELSPEETPAGAWARATHLVELAQVLCYHDFTQQTNCSALDAIREALQLLDSVRPEAQARDQLLDDKAQALLWLYICTLEAKIQEGIERDR

Reactivity Notes

Other species not tested.

Specificity

ESPL1 - extra spindle poles like 1 (S. cerevisiae)

Clonality

Monoclonal

Host

Mouse

Isotype

IgG2a Kappa

Description

Novus Biologicals Mouse Separase Antibody (6H6) - Azide and BSA Free (H00009700-M01) is a monoclonal antibody validated for use in IHC, WB, ELISA and ICC/IF. Anti-Separase Antibody: Cited in 13 publications. All Novus Biologicals antibodies are covered by our 100% guarantee.

Scientific Data Images for Separase Antibody (6H6) - Azide and BSA Free

Western Blot: Separase Antibody (6H6) [H00009700-M01]

Western Blot: Separase Antibody (6H6) [H00009700-M01]

Western Blot: Separase Antibody (6H6) [H00009700-M01] - ESPL1 monoclonal antibody (M01), clone 6H6 Analysis of ESPL1 expression in Hela S3 NE.
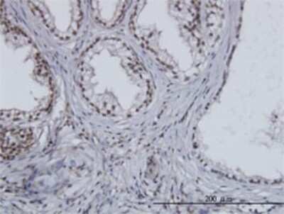
Immunohistochemistry-Paraffin: Separase Antibody (6H6) [H00009700-M01]

Immunohistochemistry-Paraffin: Separase Antibody (6H6) [H00009700-M01]

Immunohistochemistry-Paraffin: Separase Antibody (6H6) [H00009700-M01] - Analysis of monoclonal antibody to ESPL1 on formalin-fixed paraffin-embedded human prostate. Antibody concentration 3 ug/ml.

Applications for Separase Antibody (6H6) - Azide and BSA Free

Application
Recommended Usage

ELISA

1:100-1:2000

Immunohistochemistry

1:10-1:500

Immunohistochemistry-Paraffin

1:10-1:500

Western Blot

1:500
Application Notes
Antibody reactive against cell lysate and recombinant protein for Western Blot. Has also been used for immunohistochemistry (paraffin) and ELISA. Use in Immunocytochemistry/immunofluorescence reported in scientific literature (PMID: 28859055).

Formulation, Preparation, and Storage

Purification

IgG purified

Formulation

In 1x PBS, pH 7.4

Format

Azide and BSA Free

Preservative

No Preservative

Concentration

Concentrations vary lot to lot. See vial label for concentration. If unlisted please contact technical services.

Shipping

The product is shipped with polar packs. Upon receipt, store it immediately at the temperature recommended below.

Stability & Storage

Aliquot and store at -20C or -80C. Avoid freeze-thaw cycles.

Background: Separase

Separase is a cysteine protease that is essential for mitotic progression by separating sister chromatids. Each cell must receive one chromatid of every chromosome during mitosis. Cohesin plays an important role in cohering sister chromatids during the prophase through anaphase stages of mitosis, making certain that genomic information is replicated accurately. As the cellular division process continues, separase destroys cohesin by means of cleavage, allowing the chromatids to separate and divide with the cell. Separase activity is highly regulated. It not only cleaves cohesin at the onset of anaphase, but also cleaves itself, promoting downregulation of separase after anaphase. Should a human cell become an aneuploid (one too many or too few chromatids), the embryo most likely will not survive. Should the embryo survive, it will most likely develop severe birth defects or later develop malignant cancers. Separase antibodies can be used as a specific marker for centrosomes of mitotic cells. The staining of separase in centrosomes can be detected from prophase of mitosis up until anaphase.

Alternate Names

ESPL1, PRCE

Entrez Gene IDs

9700 (Human)

Gene Symbol

ESPL1

OMIM

604143 (Human)

Additional Separase Products

Product Documents for Separase Antibody (6H6) - Azide and BSA Free

Certificate of Analysis

To download a Certificate of Analysis, please enter a lot number in the search box below.

Product Specific Notices for Separase Antibody (6H6) - Azide and BSA Free

This product is produced by and distributed for Abnova, a company based in Taiwan.

This product is for research use only and is not approved for use in humans or in clinical diagnosis. Primary Antibodies are guaranteed for 1 year from date of receipt.

Loading...
Loading...
Loading...
Loading...