Skip to main content

Semenogelin I Antibody - BSA Free

Novus Biologicals, part of Bio-Techne | Catalog # NBP3-45400

Novus Biologicals, part of Bio-Techne
Catalog #
Availability
Size / Price
Qty
Loading...
NBP3-45400

Key Product Details

Species Reactivity

Human, Mouse, Rat

Applications

ELISA, Immunohistochemistry, Western Blot

Label

Unconjugated

Antibody Source

Polyclonal Rabbit IgG

Format

BSA Free

Concentration

Please see the vial label for concentration. If unlisted please contact technical services.

Product Specifications

Immunogen

semenogelin I. (Uniprot# P04279)

Clonality

Polyclonal

Host

Rabbit

Isotype

IgG

Theoretical MW

60 kDa.
Disclaimer note: The observed molecular weight of the protein may vary from the listed predicted molecular weight due to post translational modifications, post translation cleavages, relative charges, and other experimental factors.

Description

Novus Biologicals Rabbit Semenogelin I Antibody - BSA Free (NBP3-45400) is a polyclonal antibody validated for use in IHC, WB and ELISA. All Novus Biologicals antibodies are covered by our 100% guarantee.

Scientific Data Images for Semenogelin I Antibody - BSA Free

Semenogelin I Antibody - BSA Free

Western Blot: Semenogelin I Antibody - BSA Free [NBP3-45400] -

Western Blot: Semenogelin I Antibody - BSA Free [NBP3-45400] - Transfected HEK-293 cells were subjected to SDS PAGE followed by western blot with (Semenogelin I Antibody) at dilution of 1:1000
Semenogelin I Antibody - BSA Free

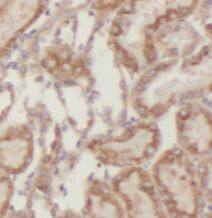
Immunohistochemistry: Semenogelin I Antibody - BSA Free [NBP3-45400] -

Immunohistochemistry: Semenogelin I Antibody - BSA Free [NBP3-45400] - Immunohistochemistry of paraffin-embedded human kidney using (Semenogelin I antibody) at dilution of 1:100

Applications for Semenogelin I Antibody - BSA Free

Application
Recommended Usage

Immunohistochemistry

1:20-1:200

Western Blot

1:500-1:2000

Formulation, Preparation, and Storage

Purification

Immunogen affinity purified

Formulation

PBS, 50% Glycerol, pH (7.3)

Format

BSA Free

Preservative

0.02% Sodium Azide

Concentration

Please see the vial label for concentration. If unlisted please contact technical services.

Shipping

The product is shipped with polar packs. Upon receipt, store it immediately at the temperature recommended below.

Stability & Storage

Store at -20C. Avoid freeze-thaw cycles.

Background: Semenogelin I

Semenogelin I (SgI) and Semenogelin II (SgII) are the major seminal vesicle secreted proteins in human semen (reviewed in Lundwall, 2002 and Bonilha et al, 2006). SgI and SgII, in semen both originate from the glandular epithelium of the seminal vesicles which secrete them at high concentrations. SgII is also secreted by the epididymis at lower concentrations. SgI and SgII interact both non-covalently and covalently by disulphide bridges to instantly form a gel-like coagulum upon ejaculation. Fibronectin is also a key component of the coagulum. The gel structure dissolves spontaneously within minutes after ejaculation as a result of proteolytic degradation of SgI/SgII by prostatic serine protease (PSA) and other proteases which cleave SgI/SgII into fragments. The high concentration of SgI/SgII in human semen led to the concept of SgI/SgII as a potentially useful marker for semen identification (reviewed in Pang and Cheung, 2006). Whereas SgI/SgII were originally identified as the major components present in seminal vesicle secretion, they are now known to be expressed in a number of tissues. The list includes seminal vesicles, epididymis, vas deferens, prostate, skeletal muscle, kidney, colon, trachea, lung, breast and retina as well as in several malignant tissues and cell lines (reviewed in Lundwall, 2002 and Bonilha et al, 2006). The non-genital expression of SgI/SgII suggests that these proteins also have functions that are unrelated to sperm. Human Sg1 is a non-glycosylated protein of 439 amino acids with a molecular weight of approx. 50 kDa. A few percent of the worlds population also carry an allele that gives rise to a truncated SgI molecule with a molecular mass of 43 kDa. Human SgII is a 559 amino acid protein with a molecular weight of approx. 63 kDa. SgII has a potential site for N-linked glycosylation and approximately half of the molecules in human semen are glycosylated yielding two SgII species with a different of 5 kDa. SgI has a single Cys residue and SgII has two Cys residues, and the molecules can exist as covalent homo- and heteromultimers.

Alternate Names

CT103, dJ172H20.2, FLJ78262, semen coagulating protein, semenogelin IMGC14719, semenogelin-1, SEMGcancer/testis antigen 103, SGI

Gene Symbol

SEMG1

Additional Semenogelin I Products

Product Documents for Semenogelin I Antibody - BSA Free

Certificate of Analysis

To download a Certificate of Analysis, please enter a lot number in the search box below.

Product Specific Notices for Semenogelin I Antibody - BSA Free

This product is for research use only and is not approved for use in humans or in clinical diagnosis. Primary Antibodies are guaranteed for 1 year from date of receipt.

Loading...
Loading...
Loading...
Loading...