Skip to main content

Semaphorin 4D/CD100 Antibody (5H6E3) - BSA Free

Novus Biologicals, part of Bio-Techne | Catalog # NBP2-61663

Novus Biologicals, part of Bio-Techne
Catalog #
Availability
Size / Price
Qty
Loading...
NBP2-61663
NBP2-61663-0.025ml

Key Product Details

Species Reactivity

Human

Applications

Immunohistochemistry, Immunohistochemistry-Paraffin, Western Blot, ELISA, Flow Cytometry

Label

Unconjugated

Antibody Source

Monoclonal Mouse IgG1 Clone # 5H6E3

Format

BSA Free

Concentration

1 mg/ml

Product Specifications

Immunogen

Purified recombinant fragment of human Semaphorin 4D/CD100 (AA: extra 590-734) expressed in E. Coli.

Clonality

Monoclonal

Host

Mouse

Isotype

IgG1

Theoretical MW

96.2 kDa.
Disclaimer note: The observed molecular weight of the protein may vary from the listed predicted molecular weight due to post translational modifications, post translation cleavages, relative charges, and other experimental factors.

Description

Novus Biologicals Mouse Semaphorin 4D/CD100 Antibody (5H6E3) - BSA Free (NBP2-61663) is a monoclonal antibody validated for use in IHC, WB, ELISA and Flow. All Novus Biologicals antibodies are covered by our 100% guarantee.

Scientific Data Images for Semaphorin 4D/CD100 Antibody (5H6E3) - BSA Free

Western Blot: Semaphorin 4D/CD100 Antibody (5H6E3)BSA Free [NBP2-61663]

Western Blot: Semaphorin 4D/CD100 Antibody (5H6E3)BSA Free [NBP2-61663]

Western Blot: Semaphorin 4D/CD100 Antibody (5H6E3) [NBP2-61663] - Analysis using CD100 mAb against human CD100 (AA: extra 590-734) recombinant protein. (Expected MW is 43.2 kDa)
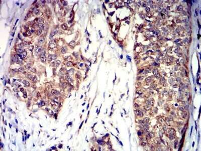
Immunohistochemistry: Semaphorin 4D/CD100 Antibody (5H6E3) - BSA Free [NBP2-61663]

Immunohistochemistry: Semaphorin 4D/CD100 Antibody (5H6E3) - BSA Free [NBP2-61663]

Immunohistochemistry: Semaphorin 4D/CD100 Antibody (5H6E3) [NBP2-61663] - Analysis of paraffin-embedded bladder cancer tissues using CD100 mouse mAb with DAB staining.
Flow Cytometry: Semaphorin 4D/CD100 Antibody (5H6E3) - BSA Free [NBP2-61663]

Flow Cytometry: Semaphorin 4D/CD100 Antibody (5H6E3) - BSA Free [NBP2-61663]

Flow Cytometry: Semaphorin 4D/CD100 Antibody (5H6E3) [NBP2-61663] - Analysis of Ramos cells using CD100 mouse mAb (green) and negative control (red).

Applications for Semaphorin 4D/CD100 Antibody (5H6E3) - BSA Free

Application
Recommended Usage

ELISA

1:100-1:2000

Flow Cytometry

1:10-1:1000

Immunohistochemistry

1:10-1:1000

Immunohistochemistry-Paraffin

1:200 - 1:1000

Western Blot

1:100-1:2000

Formulation, Preparation, and Storage

Purification

Protein G purified

Formulation

PBS

Format

BSA Free

Preservative

0.05% Sodium Azide

Concentration

1 mg/ml

Shipping

The product is shipped with polar packs. Upon receipt, store it immediately at the temperature recommended below.

Stability & Storage

Store at 4C short term. Aliquot and store at -20C long term. Avoid freeze-thaw cycles.

Background: Semaphorin 4D/CD100

SEMA4D (Semaphorin 4D) is a Protein Coding gene. Diseases associated with SEMA4D include Hemorrhagic Fever With Renal Syndrome. Among its related pathways are Guidance Cues and Growth Cone Motility and Developmental Biology. GO annotations related to this gene include receptor binding and transmembrane signaling receptor activity. An important paralog of this gene is SEMA4B.

Alternate Names

A8, BB18, CD100, COLL-4, M-sema-G, SEMA4D, SEMAJ

Gene Symbol

SEMA4D

Additional Semaphorin 4D/CD100 Products

Product Documents for Semaphorin 4D/CD100 Antibody (5H6E3) - BSA Free

Certificate of Analysis

To download a Certificate of Analysis, please enter a lot number in the search box below.

Product Specific Notices for Semaphorin 4D/CD100 Antibody (5H6E3) - BSA Free

This product is for research use only and is not approved for use in humans or in clinical diagnosis. Primary Antibodies are guaranteed for 1 year from date of receipt.

Loading...
Loading...
Loading...
Loading...
Loading...