Skip to main content

Semaphorin 4C Antibody - BSA Free

Novus Biologicals, part of Bio-Techne | Catalog # NBP1-80769

Novus Biologicals, part of Bio-Techne
Catalog #
Availability
Size / Price
Qty
Loading...
NBP1-80769
NBP1-80769-25ul

Key Product Details

Species Reactivity

Validated:

Human

Cited:

Mouse

Applications

Validated:

Immunohistochemistry, Immunohistochemistry-Paraffin

Cited:

Immunohistochemistry-Paraffin, Immunohistochemistry-Frozen

Label

Unconjugated

Antibody Source

Polyclonal Rabbit IgG

Format

BSA Free

Concentration

Concentrations vary lot to lot. See vial label for concentration. If unlisted please contact technical services.

Product Specifications

Immunogen

This antibody was developed against Recombinant Protein corresponding to amino acids: VDGELYSATLNNFLGTEPIILRNMGPHHSMKTEYLAFWLNEPHFVGSAYVPESVGSFTGDDDKVYFFFRERAVESDCYAEQVVARVARVCKGDMGGARTLQRKWTTFLKARLACSAPNWQLYF

Reactivity Notes

Immunogen displays the following percentage of sequence identity for non-tested species: Mouse (89%), Rat (89%)

Clonality

Polyclonal

Host

Rabbit

Isotype

IgG

Description

Novus Biologicals Rabbit Semaphorin 4C Antibody - BSA Free (NBP1-80769) is a polyclonal antibody validated for use in IHC. Anti-Semaphorin 4C Antibody: Cited in 2 publications. All Novus Biologicals antibodies are covered by our 100% guarantee.

Scientific Data Images for Semaphorin 4C Antibody - BSA Free

Immunohistochemistry-Paraffin: Semaphorin 4C Antibody [NBP1-80769]

Immunohistochemistry-Paraffin: Semaphorin 4C Antibody [NBP1-80769]

Immunohistochemistry-Paraffin: Semaphorin 4C Antibody [NBP1-80769] - Staining of human prostate shows moderate cytoplasmic positivity in smooth muscle cells.
Immunohistochemistry-Paraffin: Semaphorin 4C Antibody [NBP1-80769]

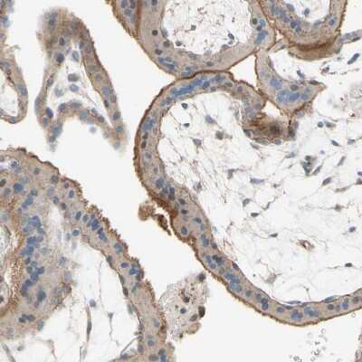
Immunohistochemistry-Paraffin: Semaphorin 4C Antibody [NBP1-80769]

Immunohistochemistry-Paraffin: Semaphorin 4C Antibody [NBP1-80769] - Staining of human placenta shows moderate cytoplasmic positivity in trophoblastic cells.
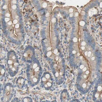
Immunohistochemistry-Paraffin: Semaphorin 4C Antibody [NBP1-80769]

Immunohistochemistry-Paraffin: Semaphorin 4C Antibody [NBP1-80769]

Immunohistochemistry-Paraffin: Semaphorin 4C Antibody [NBP1-80769] - Staining of human duodenum shows moderate positivity in apical membrane in glandular cells.

Applications for Semaphorin 4C Antibody - BSA Free

Application
Recommended Usage

Immunohistochemistry

1:200 - 1:500

Immunohistochemistry-Paraffin

1:200 - 1:500
Application Notes
For IHC-Paraffin, HIER pH 6 retrieval is recommended.

Formulation, Preparation, and Storage

Purification

Affinity purified

Formulation

PBS (pH 7.2) and 40% Glycerol

Format

BSA Free

Preservative

0.02% Sodium Azide

Concentration

Concentrations vary lot to lot. See vial label for concentration. If unlisted please contact technical services.

Shipping

The product is shipped with polar packs. Upon receipt, store it immediately at the temperature recommended below.

Stability & Storage

Store at 4C short term. Aliquot and store at -20C long term. Avoid freeze-thaw cycles.

Background: Semaphorin 4C

SEMA4C - sema domain, immunoglobulin domain (Ig), transmembrane domain (TM) and short cytoplasmic domain, (semaphorin) 4C

Alternate Names

SEMA4C, SEMACL1, Semaf, SEMAI

Entrez Gene IDs

54910 (Human)

Gene Symbol

SEMA4C

UniProt

Additional Semaphorin 4C Products

Product Documents for Semaphorin 4C Antibody - BSA Free

Certificate of Analysis

To download a Certificate of Analysis, please enter a lot number in the search box below.

Product Specific Notices for Semaphorin 4C Antibody - BSA Free

This product is for research use only and is not approved for use in humans or in clinical diagnosis. Primary Antibodies are guaranteed for 1 year from date of receipt.

Loading...
Loading...
Loading...
Loading...