Skip to main content

Seladin 1 Antibody - BSA Free

Novus Biologicals, part of Bio-Techne | Catalog # NBP1-32247

Novus Biologicals, part of Bio-Techne
Catalog #
Availability
Size / Price
Qty
Loading...
NBP1-32247

Key Product Details

Validated by

Orthogonal Validation

Species Reactivity

Validated:

Human, Mouse, Rat

Cited:

Human

Predicted:

Bovine (96%), Porcine (95%). Backed by our 100% Guarantee.

Applications

Validated:

Immunohistochemistry, Immunohistochemistry-Paraffin, Western Blot, Immunocytochemistry/ Immunofluorescence, Simple Western

Cited:

Simple Western

Label

Unconjugated

Antibody Source

Polyclonal Rabbit IgG

Format

BSA Free

Concentration

Concentrations vary lot to lot. See vial label for concentration. If unlisted please contact technical services.

Product Specifications

Immunogen

Recombinant protein encompassing a sequence within the center region of human Seladin 1. The exact sequence is proprietary.

Reactivity Notes

Zebrafish (82%), Xenopus laevis (81%), Chicken (80%).

Localization

Endoplasmic reticulum membrane, Golgi apparatus membrane

Clonality

Polyclonal

Host

Rabbit

Isotype

IgG

Theoretical MW

60 kDa.
Disclaimer note: The observed molecular weight of the protein may vary from the listed predicted molecular weight due to post translational modifications, post translation cleavages, relative charges, and other experimental factors.

Description

Novus Biologicals Rabbit Seladin 1 Antibody - BSA Free (NBP1-32247) is a polyclonal antibody validated for use in IHC, WB, ICC/IF and Simple Western. Anti-Seladin 1 Antibody: Cited in 1 publication. All Novus Biologicals antibodies are covered by our 100% guarantee.

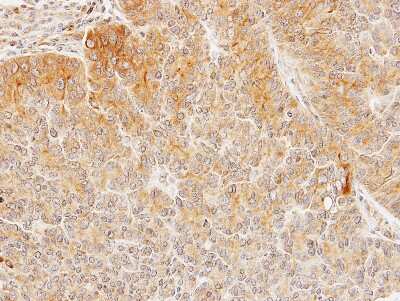
Scientific Data Images for Seladin 1 Antibody - BSA Free

Immunocytochemistry/ Immunofluorescence: Seladin 1 Antibody [NBP1-32247]

Immunocytochemistry/ Immunofluorescence: Seladin 1 Antibody [NBP1-32247]

Immunocytochemistry/Immunofluorescence: Seladin 1 Antibody [NBP1-32247] - Analysis of HeLa, using Seladin 1 antibody at 1:200 dilution.
Immunohistochemistry-Paraffin: Seladin 1 Antibody [NBP1-32247]

Immunohistochemistry-Paraffin: Seladin 1 Antibody [NBP1-32247]

Immunohistochemistry-Paraffin: Seladin 1 Antibody [NBP1-32247] - Paraffin-embedded rat adrenal gland. Seladin 1 antibody [N1C2] diluted at 1:500.
Immunohistochemistry-Paraffin: Seladin 1 Antibody [NBP1-32247]

Immunohistochemistry-Paraffin: Seladin 1 Antibody [NBP1-32247]

Immunohistochemistry-Paraffin: Seladin 1 Antibody [NBP1-32247] - Paraffin-embedded SW480 xenograft, using antibody at 1:100 dilution.

Applications for Seladin 1 Antibody - BSA Free

Application
Recommended Usage

Immunocytochemistry/ Immunofluorescence

1:100-1:1000

Immunohistochemistry

1:100-1:1000

Immunohistochemistry-Paraffin

1:100-1:1000

Simple Western

1:5

Western Blot

1:500-1:3000
Application Notes
See Simple Western Antibody Database for Simple Western validation: Tested in Arteries, separated by Size, antibody dilution of 1:5

Formulation, Preparation, and Storage

Purification

Antigen Affinity-purified

Formulation

PBS, 20% Glycerol

Format

BSA Free

Preservative

0.025% Proclin 300

Concentration

Concentrations vary lot to lot. See vial label for concentration. If unlisted please contact technical services.

Shipping

The product is shipped with polar packs. Upon receipt, store it immediately at the temperature recommended below.

Stability & Storage

Aliquot and store at -20C or -80C. Avoid freeze-thaw cycles.

Background: Seladin 1

This gene encodes a flavin adenine dinucleotide (FAD)-dependent oxidoreductase which catalyzes the reduction of the delta-24 double bond of sterol intermediates during cholesterol biosynthesis. The protein contains a leader sequence that directs it to the endoplasmic reticulum membrane. Missense mutations in this gene have been associated with desmosterolosis. Also, reduced expression of the gene occurs in the temporal cortex of Alzheimer disease patients and overexpression has been observed in adrenal gland cancer cells.

Alternate Names

24-dehydrocholesterol reductaseNbla03646, DCE, desmosterol-to-cholesterol enzyme, Diminuto/dwarf1 homolog, EC 1.3.1.72, KIAA0018SELADIN1, seladin 1,3-beta-hydroxysterol delta-24-reductase, seladin-1, selective AD indicator 1,3 beta-hydroxysterol delta 24-reductase

Gene Symbol

DHCR24

Additional Seladin 1 Products

Product Documents for Seladin 1 Antibody - BSA Free

Certificate of Analysis

To download a Certificate of Analysis, please enter a lot number in the search box below.

Product Specific Notices for Seladin 1 Antibody - BSA Free

This product is for research use only and is not approved for use in humans or in clinical diagnosis. Primary Antibodies are guaranteed for 1 year from date of receipt.

Loading...
Loading...
Loading...
Loading...

⚠ WARNING: This product can expose you to chemicals including mercury, which is known to the State of California to cause reproductive toxicity with developmental effects.  For more information go to www.P65Warnings.ca.gov.