Skip to main content

SEL1L3 Antibody - BSA Free

Novus Biologicals, part of Bio-Techne | Catalog # NBP1-81484

Novus Biologicals, part of Bio-Techne
Catalog #
Availability
Size / Price
Qty
Loading...
NBP1-81484-25ul
NBP1-81484

Key Product Details

Species Reactivity

Validated:

Human

Predicted:

Mouse (98%), Rat (98%). Backed by our 100% Guarantee.

Applications

Immunohistochemistry, Immunohistochemistry-Paraffin, Immunocytochemistry/ Immunofluorescence

Label

Unconjugated

Antibody Source

Polyclonal Rabbit IgG

Format

BSA Free

Concentration

Concentrations vary lot to lot. See vial label for concentration. If unlisted please contact technical services.

Product Specifications

Immunogen

This antibody was developed against Recombinant Protein corresponding to amino acids: SMNLGYKHYQGIDNYPLDWELSYAYYSNIATKTPLDQHTLQGDQAYVETIRLKDDEILKVQTKEDGDVFMWLKHEATRGNAAAQQRLAQMLFWGQQGVAKNPEAA

Clonality

Polyclonal

Host

Rabbit

Isotype

IgG

Description

Novus Biologicals Rabbit SEL1L3 Antibody - BSA Free (NBP1-81484) is a polyclonal antibody validated for use in IHC and ICC/IF. All Novus Biologicals antibodies are covered by our 100% guarantee.

Scientific Data Images for SEL1L3 Antibody - BSA Free

Immunocytochemistry/ Immunofluorescence: SEL1L3 Antibody [NBP1-81484]

Immunocytochemistry/ Immunofluorescence: SEL1L3 Antibody [NBP1-81484]

Immunocytochemistry/Immunofluorescence: SEL1L3 Antibody [NBP1-81484] - Immunofluorescent staining of human cell line U-2 OS shows localization to nucleus.
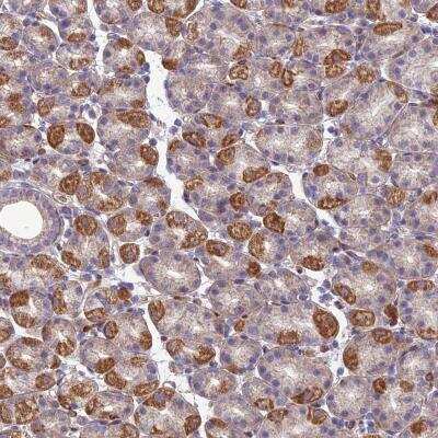
Immunohistochemistry-Paraffin: SEL1L3 Antibody [NBP1-81484]

Immunohistochemistry-Paraffin: SEL1L3 Antibody [NBP1-81484]

Immunohistochemistry-Paraffin: SEL1L3 Antibody [NBP1-81484] - Staining of human stomach shows cytoplasmic positivity in glandular cells.

Applications for SEL1L3 Antibody - BSA Free

Application
Recommended Usage

Immunocytochemistry/ Immunofluorescence

0.25-2 ug/ml

Immunohistochemistry

1:50 - 1:200

Immunohistochemistry-Paraffin

1:50 - 1:200
Application Notes
For IHC-Paraffin, HIER pH 6 retrieval is recommended. ICC/IF,Fixation Permeabilization: Use PFA/Triton X-100.

Formulation, Preparation, and Storage

Purification

Affinity purified

Formulation

PBS (pH 7.2) and 40% Glycerol

Format

BSA Free

Preservative

0.02% Sodium Azide

Concentration

Concentrations vary lot to lot. See vial label for concentration. If unlisted please contact technical services.

Shipping

The product is shipped with polar packs. Upon receipt, store it immediately at the temperature recommended below.

Stability & Storage

Store at 4C short term. Aliquot and store at -20C long term. Avoid freeze-thaw cycles.

Background: SEL1L3

Alternate Names

DKFZp781J1697, FLJ21629, KIAA0746FLJ41299, protein sel-1 homolog 3, sel-1 suppressor of lin-12-like 3 (C. elegans), Sel-1L3, Suppressor of lin-12-like protein 3

Gene Symbol

SEL1L3

Additional SEL1L3 Products

Product Documents for SEL1L3 Antibody - BSA Free

Certificate of Analysis

To download a Certificate of Analysis, please enter a lot number in the search box below.

Product Specific Notices for SEL1L3 Antibody - BSA Free

This product is for research use only and is not approved for use in humans or in clinical diagnosis. Primary Antibodies are guaranteed for 1 year from date of receipt.

Loading...
Loading...
Loading...
Loading...