Skip to main content

Secretagogin Antibody (9K8H9)

Novus Biologicals, part of Bio-Techne | Catalog # NBP3-15814

Recombinant Monoclonal Antibody
Novus Biologicals, part of Bio-Techne
Catalog #
Availability
Size / Price
Qty
Loading...
NBP3-15814-100ul
NBP3-15814-20ul

Key Product Details

Species Reactivity

Human, Mouse, Rat

Applications

Immunohistochemistry, Immunohistochemistry-Paraffin, Western Blot

Label

Unconjugated

Antibody Source

Recombinant Monoclonal Rabbit IgG Clone # 9K8H9 expressed in HEK293

Concentration

Please see the vial label for concentration. If unlisted please contact technical services.

Product Specifications

Immunogen

A synthetic peptide corresponding to a sequence within amino acids 177-276 of human Secretagogin (Secretagogin) (O76038). ILALQENFLLQFKMDACSTEERKRDFEKIFAYYDVSKTGALEGPEVDGFVKDMMELVQPSISGVDLDKFREILLRHCDVNKDGKIQKSELALCLGLKINP

Clonality

Monoclonal

Host

Rabbit

Isotype

IgG

Description

Novus Biologicals Rabbit Secretagogin Antibody (9K8H9) (NBP3-15814) is a recombinant monoclonal antibody validated for use in IHC and WB. All Novus Biologicals antibodies are covered by our 100% guarantee.

Scientific Data Images for Secretagogin Antibody (9K8H9)

Immunohistochemistry-Paraffin: Secretagogin Antibody (9K8H9) [NBP3-15814]

Immunohistochemistry-Paraffin: Secretagogin Antibody (9K8H9) [NBP3-15814]

Immunohistochemistry-Paraffin: Secretagogin Antibody (9K8H9) [NBP3-15814] - Immunohistochemistry of paraffin-embedded mouse stomach using Secretagogin (Secretagogin) Rabbit mAb (NBP3-15814) at dilution of 1:100 (40x lens).Perform microwave antigen retrieval with 10 mM Tris/EDTA buffer pH 9.0 before commencing with IHC staining protocol.
Immunohistochemistry-Paraffin: Secretagogin Antibody (9K8H9) [NBP3-15814]

Immunohistochemistry-Paraffin: Secretagogin Antibody (9K8H9) [NBP3-15814]

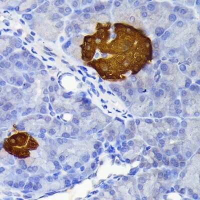
Immunohistochemistry-Paraffin: Secretagogin Antibody (9K8H9) [NBP3-15814] - Immunohistochemistry of paraffin-embedded rat pancreatic islet using Secretagogin (Secretagogin) Rabbit mAb (NBP3-15814) at dilution of 1:100 (40x lens).Perform microwave antigen retrieval with 10 mM Tris/EDTA buffer pH 9.0 before commencing with IHC staining protocol.
Immunohistochemistry-Paraffin: Secretagogin Antibody (9K8H9) [NBP3-15814]

Immunohistochemistry-Paraffin: Secretagogin Antibody (9K8H9) [NBP3-15814]

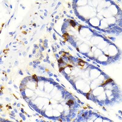
Immunohistochemistry-Paraffin: Secretagogin Antibody (9K8H9) [NBP3-15814] - Immunohistochemistry of paraffin-embedded human colon using Secretagogin (Secretagogin) Rabbit mAb (NBP3-15814) at dilution of 1:100 (40x lens).Perform microwave antigen retrieval with 10 mM Tris/EDTA buffer pH 9.0 before commencing with IHC staining protocol.

Applications for Secretagogin Antibody (9K8H9)

Application
Recommended Usage

Immunohistochemistry

1:50 - 1:200

Western Blot

1:500 - 1:1000

Formulation, Preparation, and Storage

Purification

Affinity purified

Formulation

PBS (pH 7.3), 50% glycerol, 0.05% BSA

Preservative

0.02% Sodium Azide

Concentration

Please see the vial label for concentration. If unlisted please contact technical services.

Shipping

The product is shipped with polar packs. Upon receipt, store it immediately at the temperature recommended below.

Stability & Storage

Store at -20C. Avoid freeze-thaw cycles.

Background: Secretagogin

The encoded protein is a secreted calcium-binding protein which is found in the cytoplasm. It is related to calbindin D-28K and calretinin. This protein is thought to be involved in KCL-stimulated calcium flux and cell proliferation.

Alternate Names

CALBL, SCGN, SECRET, SEGN, Setagin

Gene Symbol

SCGN

Additional Secretagogin Products

Product Documents for Secretagogin Antibody (9K8H9)

Certificate of Analysis

To download a Certificate of Analysis, please enter a lot number in the search box below.

Product Specific Notices for Secretagogin Antibody (9K8H9)

This product is for research use only and is not approved for use in humans or in clinical diagnosis. Primary Antibodies are guaranteed for 1 year from date of receipt.

Loading...
Loading...
Loading...
Loading...