Skip to main content

SEC24D Antibody (JE65-27)

Novus Biologicals, part of Bio-Techne | Catalog # NBP3-32937

Recombinant Monoclonal Antibody
Novus Biologicals, part of Bio-Techne
Catalog #
Availability
Size / Price
Qty
Loading...
NBP3-32937

Key Product Details

Species Reactivity

Human, Mouse, Rat

Applications

Flow Cytometry, Immunocytochemistry/ Immunofluorescence, Immunohistochemistry, Immunohistochemistry-Paraffin, Western Blot

Label

Unconjugated

Antibody Source

Recombinant Monoclonal Rabbit IgG Clone # JE65-27 expressed in HEK293

Concentration

1 mg/ml

Product Specifications

Immunogen

Synthetic peptide within Human SEC24D aa 1-50 / 1032. (Uniprot: O94855)

Localization

Cytoplasm.

Clonality

Monoclonal

Host

Rabbit

Isotype

IgG

Theoretical MW

113 kDa.
Disclaimer note: The observed molecular weight of the protein may vary from the listed predicted molecular weight due to post translational modifications, post translation cleavages, relative charges, and other experimental factors.

Description

Novus Biologicals Rabbit SEC24D Antibody (JE65-27) (NBP3-32937) is a recombinant monoclonal antibody validated for use in IHC, WB, Flow and ICC/IF. All Novus Biologicals antibodies are covered by our 100% guarantee.

Scientific Data Images for SEC24D Antibody (JE65-27)

SEC24D Antibody (JE65-27)

Western Blot: SEC24D Antibody (JE65-27) [NBP3-32937]

Western Blot: SEC24D Antibody (JE65-27) [NBP3-32937] - Western blot analysis of SEC24D on different lysates with Rabbit anti-SEC24D antibody (NBP3-32937) at 1/2,000 dilution.

Lane 1: HeLa cell lysate
Lane 2: SH-SY5Y cell lysate
Lane 3: SK-OV-3 cell lysate
Lane 4: RAW264.7 cell lysate
Lane 5: PC-12 cell lysate

Lysates/proteins at 20 ug/Lane.

Predicted band size: 113 kDa
Observed band size: 113 kDa

Exposure time: 1 minute;

4-20% SDS-PAGE gel.

Proteins were transferred to a PVDF membrane and blocked with 5% NFDM/TBST for 1 hour at room temperature. The primary antibody (NBP3-32937) at 1/2,000 dilution was used in 5% NFDM/TBST at 4C overnight. Goat Anti-Rabbit IgG - HRP Secondary Antibody at 1/50,000 dilution was used for 1 hour at room temperature.
SEC24D Antibody (JE65-27)

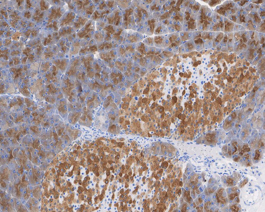
Immunohistochemistry: SEC24D Antibody (JE65-27) [NBP3-32937]

Immunohistochemistry: SEC24D Antibody (JE65-27) [NBP3-32937] - Immunohistochemical analysis of paraffin-embedded mouse pancreas tissue with Rabbit anti-SEC24D antibody (NBP3-32937) at 1/2,000 dilution.

The section was pre-treated using heat mediated antigen retrieval with Tris-EDTA buffer (pH 9.0) for 20 minutes. The tissues were blocked in 1% BSA for 20 minutes at room temperature, washed with ddH2O and PBS, and then probed with the primary antibody (NBP3-32937) at 1/2,000 dilution for 1 hour at room temperature. The detection was performed using an HRP conjugated compact polymer system. DAB was used as the chromogen. Tissues were counterstained with hematoxylin and mounted with DPX.
SEC24D Antibody (JE65-27)

Immunocytochemistry/ Immunofluorescence: SEC24D Antibody (JE65-27) [NBP3-32937]

Immunocytochemistry/ Immunofluorescence: SEC24D Antibody (JE65-27) [NBP3-32937] - Immunocytochemistry analysis of HeLa cells labeling SEC24D with Rabbit anti-SEC24D antibody (NBP3-32937) at 1/100 dilution.

Cells were fixed in 100% precooled methanol for 5 minutes at room temperature, then blocked with 1% BSA in 10% negative goat serum for 1 hour at room temperature. Cells were then incubated with Rabbit anti-SEC24D antibody (NBP3-32937) at 1/100 dilution in 1% BSA in PBST overnight at 4 ℃. Goat Anti-Rabbit IgG H&L (iFluor™ 488) was used as the secondary antibody at 1/1,000 dilution. PBS instead of the primary antibody was used as the secondary antibody only control. Nuclear DNA was labelled in blue with DAPI.

Beta tubulin (red) was stained at 1/100 dilution overnight at +4℃. Goat Anti-Mouse IgG H&L (iFluor™ 594) was used as the secondary antibody at 1/1,000 dilution.

Applications for SEC24D Antibody (JE65-27)

Application
Recommended Usage

Flow Cytometry

1:1000

Immunocytochemistry/ Immunofluorescence

1:100

Immunohistochemistry-Paraffin

1:1000-1:2000

Western Blot

1:2000

Formulation, Preparation, and Storage

Purification

Protein A purified

Formulation

1*TBS (pH7.4), 0.05% BSA and 40% Glycerol

Preservative

0.05% Sodium Azide

Concentration

1 mg/ml

Shipping

The product is shipped with polar packs. Upon receipt, store it immediately at the temperature recommended below.

Stability & Storage

Store at 4C short term. Aliquot and store at -20C long term. Avoid freeze-thaw cycles.

Background: SEC24D

SEC24D is encoded by this gene is a member of the SEC24 subfamily of the SEC23/SEC24 family, which is involved in vesicle trafficking. The encoded protein has similarity to yeast Sec24p component of COPII. COPII is the coat protein complex responsible for vesicle budding from the ER. This gene product is implicated in the shaping of the vesicle, and also in cargo selection and concentration.

Alternate Names

FLJ43974, KIAA0755member D, SEC24 family, member D (S. cerevisiae), SEC24 related gene family, member D

Gene Symbol

SEC24D

Additional SEC24D Products

Product Documents for SEC24D Antibody (JE65-27)

Certificate of Analysis

To download a Certificate of Analysis, please enter a lot number in the search box below.

Product Specific Notices for SEC24D Antibody (JE65-27)

This product is for research use only and is not approved for use in humans or in clinical diagnosis. Primary Antibodies are guaranteed for 1 year from date of receipt.

Loading...
Loading...
Loading...
Loading...
Loading...