Skip to main content

SDSL Antibody (OTI1A8) - Azide and BSA Free

Novus Biologicals, part of Bio-Techne | Catalog # NBP2-74045

Novus Biologicals, part of Bio-Techne
Catalog #
Availability
Size / Price
Qty
Loading...
NBP2-74045

Key Product Details

Species Reactivity

Human

Applications

Immunohistochemistry, Immunohistochemistry-Paraffin, Western Blot, Flow Cytometry, CyTOF-ready

Label

Unconjugated

Antibody Source

Monoclonal Mouse IgG1 Clone # OTI1A8

Format

Azide and BSA Free

Concentration

LYOPH mg/ml

Product Specifications

Immunogen

Full length human recombinant protein of human SDSL(NP_612441) produced in HEK293T cell.

Clonality

Monoclonal

Host

Mouse

Isotype

IgG1

Theoretical MW

34.5 kDa.
Disclaimer note: The observed molecular weight of the protein may vary from the listed predicted molecular weight due to post translational modifications, post translation cleavages, relative charges, and other experimental factors.

Description

Novus Biologicals Mouse SDSL Antibody (OTI1A8) - Azide and BSA Free (NBP2-45978) is a monoclonal antibody validated for use in IHC, WB and Flow. All Novus Biologicals antibodies are covered by our 100% guarantee.

Scientific Data Images for SDSL Antibody (OTI1A8) - Azide and BSA Free

Western Blot: SDSL Antibody (OTI1A8)Azide and BSA Free [NBP2-74045]

Western Blot: SDSL Antibody (OTI1A8)Azide and BSA Free [NBP2-74045]

Western Blot: SDSL Antibody (OTI1A8) - Azide and BSA Free [NBP2-74045] - Analysis of HEK293T cells were transfected with the pCMV6-ENTRY control (Left lane) or pCMV6-ENTRY SDSL.
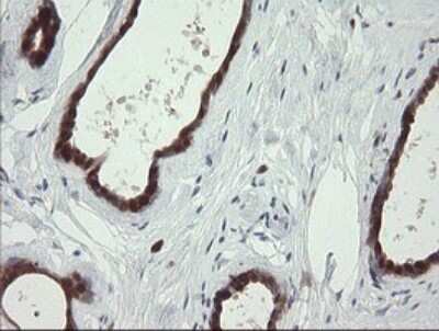
Immunohistochemistry: SDSL Antibody (OTI1A8) - Azide and BSA Free [NBP2-74045]

Immunohistochemistry: SDSL Antibody (OTI1A8) - Azide and BSA Free [NBP2-74045]

Immunohistochemistry: SDSL Antibody (OTI1A8) - Azide and BSA Free [NBP2-74045] - Analysis of Human liver tissue.
Flow Cytometry: SDSL Antibody (OTI1A8) - Azide and BSA Free [NBP2-74045]

Flow Cytometry: SDSL Antibody (OTI1A8) - Azide and BSA Free [NBP2-74045]

Flow Cytometry: SDSL Antibody (OTI1A8) - Azide and BSA Free [NBP2-74045] - Analysis of HEK293T cells transfected with either overexpress plasmid(Red) or empty vector control plasmid(Blue) were immunostaining by SDSL antibody.

Applications for SDSL Antibody (OTI1A8) - Azide and BSA Free

Application
Recommended Usage

Flow Cytometry

1:100

Immunohistochemistry

1:150

Western Blot

1:2000

Formulation, Preparation, and Storage

Purification

Immunogen affinity purified

Reconstitution

we recommend adding 100uL distilled water to a final antibody concentration of about 1 mg/mL. To use this carrier-free antibody for conjugation experiment, we strongly recommend performing another round of desalting process.

Formulation

Lyophilized from PBS (pH 7.3) with 8% Trehalose

Format

Azide and BSA Free

Preservative

No Preservative

Concentration

LYOPH mg/ml

Shipping

The product is shipped with polar packs. Upon receipt, store it immediately at the temperature recommended below.

Stability & Storage

Store at -20C. Avoid freeze-thaw cycles.

Background: SDSL

SDSL (Serine dehydratase-like) belongs to the serine/threonine dehydratase family. It is most abundant in the liver and is a putative L-threonine catabolising enzyme.

Alternate Names

EC 4.3.1.17, EC 4.3.1.19, L-serine deaminase, L-serine dehydratase/L-threonine deaminase, L-threonine dehydratase, SDH, SDH 2, SDS-RS1, Serine dehydratase 2, serine dehydratase related sequence 1, serine dehydratase-like, TDH

Gene Symbol

SDSL

Additional SDSL Products

Product Documents for SDSL Antibody (OTI1A8) - Azide and BSA Free

Certificate of Analysis

To download a Certificate of Analysis, please enter a lot number in the search box below.

Product Specific Notices for SDSL Antibody (OTI1A8) - Azide and BSA Free

This product is for research use only and is not approved for use in humans or in clinical diagnosis. Primary Antibodies are guaranteed for 1 year from date of receipt.

Loading...
Loading...
Loading...
Loading...
Loading...
Loading...